Ehrlichiose monocytique humaine
L'Ehrlichiose monocytique (ou monocytaire) humaine (EMH) ou « Ehrlichiose à Ehrlichia chaffeensis » est l'une des différentes ehrlichioses. C'est une maladie infectieuse (bactérienne) vectorielle ; l'une des dizaines de maladies vectorielles transmises par la morsure de tiques (maladies à tiques).

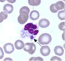
Les flèches rouges montrent des Ehrlichia individuelles.
Elle est due à une bactérie (Ehrlichia chaffeensis), du genre Ehrlichia, de la famille des Anaplasmataceae (embranchement de Proteobacteria). Ehrlichia chaffeensis infecte rarement l'Homme, mais les infections détectées sont souvent graves (hospitalisation dans 40 à 80 p. cent des cas).
Cette bactérie infecte préférentiellement (tropisme préférentiel) ; in vivo ; les monocytes et les macrophages de l'organisme dans lequel elle a pu être inoculée (généralement par une piqûre de tique). Cette ehrlichiose est dite « monocytique », car les monocytes des malades sont les cellules les plus visiblement infectées. Au pic de l'infection, elles sont nombreuses à présenter des morulae (sortes de minuscules kystes contenant jusqu'à plusieurs dizaines de bactéries agglomérées, croissant dans le globule même et ainsi protégées du système immunitaire).
Cette même maladie existe chez l'animal (pour certaines espèces qui y sont sensibles) et peut - via les tiques - passer d'une espèce à l'autre ; il s'agit donc d'une zoonose.
Symptômes
    
Leur intensité varie selon le malade (de cas asymptomatiques à des formes graves avec insuffisance rénale, ou rhabdomyolyses ou myocardites) sont également observées.
S'y ajoutent parfois d'autres symptômes :
- éruption maculopapuleuse (rare chez l'adulte, mais courante chez l'enfant),
- adénopathies ou/et une splénomégalie ou/et une hépatomégalie, par une élévation des transaminases hépatiques, par une thrombopénie et, parfois, par une leucopénie.
Selon les connaissances disponibles, la gravité de la maladie ne semble pas dépendre du génotype de la souche en cause.
Diagnostic
    
L’isolement via des cultures cellulaires est réservé à la recherche et non utilisé par le diagnostic de routine.
En phase aiguë :
- Détection au microscope de morulas dans les monocytes (après coconcentration et coloration au May-Grümwald-Giemsa). Des faux-négatifs sont possibles car les morulas ne sont que temporairement présentes, et toujours en faible nombre.
- recherche d'anticorps anti-Ehrlichia chaffeensis par immunofluorescence.
- des techniques immunoenzymatiques, où les antigènes sont des protéines de surface obtenues par recombinaison, sont en développement, pour mieux différencier les infections à Ehrlichia chaffeensis (anticorps dirigés contre une protéine de 30 kDa et absence d'anticorps contre une protéine de 44 kDa) des infections à ¤ Anaplasma phagocytophilum (anticorps dirigés contre une protéine de 44 kDa et absence d'anticorps contre une protéine de 30 kDa).
- le Western blot permet de différencier une infection à Ehrlichia chaffeensis d'une infection à Ehrlichia ewingii.
- La PCR (sur échantillons sanguins) serait le mode de diagnostic le plus fiable, mais nécessite un laboratoire spécialisé et donne parfois un faux positif chez l'Homme dépourvu d'anticorps (en cas de contamination récente ou à la suite d'un traitement précoce et efficace qui a « décapité » la réponse sérologique. Le modèle animal montre aussi qu'inversement, un organisme infectés de longue date peut être séropositif mais induire un résultat de PCR négatif. La PCR peut être faite en deux temps (PCR emboîtée ou nested PCR).. Elle permet de différencier une infection à Ehrlichia chaffeensis d'une infection à Ehrlichia canis ou à Ehrlichia ewingii ou Anaplasma phagocytophilum. La RT-PCR (reverse transcription PCR), qui amplifie l'ARN des échantillons, est plus sensible que la PCR emboîtée et présente un autre avantage : ne détectant que l'ARN, bien plus labile que l'ADN, elle ne réagit probablement qu'aux bactéries viables ce qui peut apporter des informations utiles au médecin après un traitement.
Classification
    
Avant 1987, on pensait que la bactérie Ehrlichia sennetsu (du genre Ehrlichia, et de la famille des Anaplasmataceae) était l'unique agent causal d'ehrlichiose chez l'Homme.
On a ensuite découvert d'autres agents microbiens de la même famille (dont Ehrlichia canis)[1].
Différentes souches de cette bactérie ont été identifiées dans les années 1990 dont aux USA la souche Arkansas, génétiquement proche, mais différente (réponses sérologiques différentes) de Ehrlichia canis [2].
En 1991, Anderson et ses collègues ont proposé de nommer Ehrlichia chaffeensis les bactéries de la souche Arkansas (ou génétiquement très proches[3] de cette souche), maintenant considérées comme appartenant une « nouvelle » espèce, responsable de l'ehrlichiose monocytique humaine. Cette dénomination sera officiellement validée en 1992 (inscription sur la liste de validation n° 41). Pour des raisons phylogénétiques, Ehrlichia chaffeensis a alors été classée dans le groupe génomique I de la tribu des Ehrlichieae.
Enfin, en 2001, une réorganisation de l'ordre des Rickettsiales[4] a conduit Dumler et son équipe à supprimer la tribu des Ehrlichieae, à reclasser le genre Ehrlichia dans la famille des Anaplasmataceae et à modifier la description du genre Ehrlichia (maintenant réduit aux seules espèces du groupe génomique I).
Traitements
    
Pour les souches étudiées in vitro :
- doxycycline (traitement le plus fréquent chez l'homme et le chien) et rifampicine sont rapidement actifs.
- le chloramphénicol, la ciprofloxacine, l'érythromycine, la pénicilline, la gentamicine et l'association triméthoprime-sulfaméthoxazole (cotrimoxazole) étaient inactifs.
Chez le chien (comme dans les cas d'ehrlichiose à Ehrlichia canis) ; après et malgré un traitement à la doxycycline, les animaux apparemment guéris peuvent rester porteurs de Ehrlichia chaffeensis et donc contaminer des tiques qui pourront véhiculer la maladie.
Mesures prophylactiques et de précaution
    
- Il n’existe pas de vaccin contre Ehrlichia chaffeensis.
- Les conseils prophylactiques sont de limiter l'exposition aux tiques et de ne pas favoriser leur développement.
Épidémiologie, écoépidémiologie
    
C'est aux États-Unis que Ehrlichia chaffeensis a été la plus étudiée mais elle n'est une maladie à déclaration obligatoire que depuis 1998.
Elle semble toujours ou presque toujours transmise par la tique Amblyomma americanum), et a pour principal réservoir le cerf de virginie (Odocoileus virginianus) qui peut être parasité par les trois stades de la tique (larve, nymphe, et femelle adulte).
Avec le recul des grands prédateurs carnivores, et certains plans ou comportement de chasse (tir sélectif des trophées mâles et conservation d'une proportion artificiellement élevées de femelles) ou l'Agrainage, cet animal peut être favorisé, sans que les prédateurs éliminent les animaux affaiblis par des parasitoses ou une surcharge en tiques. La fragmentation des forêts et les pratiques sylvicoles semblent par ailleurs favoriser les tiques, et la pénétration du public (et des chiens) dans les parties profondes de la forêts. Chez la tique vectrice, la « transmission transovarienne » de la bactérie Ehrlichia chaffeensis semble rare ou inexistante (c'est-à-dire pas de passage directe de la mère aux œufs), mais une « transmission transstadiale » (c'est-à-dire que la bactérie est conservée lors du passage du stade larvaire à celui de nymphe, et du stade nympe à celui d'imago ou adulte).
Les rongeurs nord-américains semblent résister à la bactérie Ehrlichia chaffeensis qui n'a jamais été trouvée chez des micromammifères ou petits rongeurs tels que Mus musculus, Oryzomys palustris, Peromyscus leucopus, Rattus norvegicus, Reithrodontomys humulis, Sigmodon hispidus, ni d'ailleurs chez des lagomorphes (Sylvilagus floridanus), pas plus que chez des écureuils (Sciurus carolinensis, Sciurus niger), bien que toutes ces espèces soient couramment parasités par des tiques.
La bactérie est par contre aux USA confirmée chez des animaux plus grands et parfois proches de l'Homme ou domestiqués ; chiens, coyotes, chèvres, ratons laveurs et opossums, et elle a été isolée chez d'autres tiques (Dermacentor variabilis, Ixodes scapularis). Cependant, les écoépidémiologues considèrent que le daim semble être le réservoir largement prédominant et que les tiques autres qu'Amblyomma americanum jouent un rôle de vecteur bien moins important. Cependant, le rôle de la chèvre (et, peut-être, d'autres herbivores domestiques), en tant qu'espèce-réservoir potentielle, fait l'objet de recherches complémentaires en raison de leur proximité avec l'Homme.
Ailleurs qu'en Amérique du Nord
    
Faute d'études écoépidémiologique et épidémiologiques, la situation est mal connue.
La présence de la bactérie et sa capacité à infecter l'Homme sont connues par quelques examens sérologiques, et la détection de quelques cas d'ehrlichioses humaines à Ehrlichia chaffeensis en zone chaude ou tempérée, comme au Portugal, en Espagne, en Belgique, en Afrique (Mali, Tunisie) et en Asie (Thaïlande, Chine).
Amblyomma americanum principal vecteur connu n'existe qu'en Amérique du Nord, mais on a au début des années 2000 également trouvé (par PCR), la bactérie pathogène dans l’organisme d'autres espèces de tique en Chine Amblyomma testudinarium et Haemaphysalis yeni, deux tiques parasitant régulièrement le bétail ainsi pour la seconde que des lagomorphes sauvages (Lepus sinensis, Caprologus sinensis) et des caprins sauvages (Muntiacus reevesi).
Pour évaluer l'importance réelle de l'ehrlichiose à Ehrlichia chaffeensis, d'autres études seraient nécessaires pour tester plus largement les populations de tiques ou d'espèces potentiellement réservoir.
Fréquence, prévalence
    
Cette maladie et mal connue, faute d'études suffisantes, quelques études sérologiques montre que de nombreux cas ne sont pas diagnostiqués ; De 1987 à 1999, ce sont environ 750 sérologies positives qui ont été mises en évidence par les Centers for Disease Control and Prevention et plus de 1500 par le seul MRL Reference Laboratory de Californie.
Cultures
    
La mise en culture est possible :
- sur lignées de macrophages de chiens (cellules DH82). Le milieu de culture (minimal essential medium contenant 1 p. cent de L-glutamine) est enrichi en sérum de veau fœtal (5 à 12,5 p. cent) et les cellules peuvent être incubées à 37 °C dans une atmosphère contenant ou non du dioxyde de carbone.
- sur d'autres lignées cellulaires telles que cellules CDC/EU.HMEC-1 (cellules endothéliales humaines), cellules HEL 299 (cellules fibroblastiques de poumon d'embryon humain), cellules Vero, cellules BGM, cellules L929, cellules HeLa, cellules HL-60 (lignée de promyélocytes leucémiques d'origine humaine) à condition d'induire une différenciation des cellules vers la lignée monocytaire (présence de 25-OH vitamine D3 dans le milieu de culture).
Critères bactériologiques
    

Ehrlichia chaffeensis présente les mêmes caractères bactériologiques que les autres bactéries du genre Ehrlichia.
- tropisme préférentiel (in vivo) pour les monocytes et les macrophages.
- Les morulas (= morulae), contiennent jusqu'à une quarantaine de bactéries de forme coccoïde, de 0,2 à 0,8 µm.
Certains éléments sont polymorphes (forme de losange ou boomerang). Quelques formes isolées sont également présentes dans le cytoplasme.
Après culture sur cellules DH82, quatre types de morulas peuvent être observées :
- ) des morulas de petite taille (1,0 à 1,5 µm de diamètre), présentes en grand nombre (plus de 400) dans les cellules et dont chacune renferme de une à cinq bactéries ;
- ) des morulas de 2,0 à 4,0 µm de diamètre contenant des corps réticulés ;
- ) des morulas de 2,0 à 5,0 µm de diamètre renfermant des corps réticulés et des corps élémentaires denses ; et
- ) des morulas de 4,0 à 6,0 µm de diamètre contenant uniquement des corps élémentaires denses.
À l'isolement, les morulas apparaissent après 35 jours de culture et le pourcentage maximal de macrophages infectés (cellules DH82) est observé après 48 jours de culture. La taille du génome, déterminée par électrophorèse en champ pulsé, est estimée à 1225,8 kb.
Critères génétiques
    
Ehrlichia chaffeensis a de fortes similitudes antigéniques avec
- Ehrlichia canis mais des réactions sérologiques croisées sont observées avec d'autres représentants de la famille des Anaplasmataceae :
- Ehrlichia ruminantium,
- Ehrlichia ewingii,
- Neorickettsia risticii,
- Neorickettsia sennetsu,
- Anaplasma phagocytophilum.
Voir aussi
    
    Articles connexes
    
Liens externes
    
    
Notes et références
    
- Maeda et al., New England Journal of Medicine, N° avril 1987
- Article de Dawson et al. décrivant l'isolement d'une souche de Ehrlichia sp. (la souche Arkansas = ATCC CRL 10679) chez un réserviste de l'armée américaine hospitalisé dans une clinique de Fort Chaffee (Arkansas, U.S.A.). Journal of Clinical Microbiology ; décembre 1991
- sur la base d'homologies de séquences des ARNr 16S
- article de Dumler et al. paru le 15 novembre 2001 à propos de la réorganisation de l'ordre des Rickettsiales par analyse de leurs ARNr 16S, et opérons groESL et l'analyse des gènes codant des protéines de surface
- Portail de la médecine
- Portail des maladies infectieuses

