Ehrlichia
Les Ehrlichia sont de petites bactéries gram-négatives qui peuvent infecter l'Homme et / ou l'animal.
Ce sont les agents de deux groupes de maladies presque toujours transmises par des tiques. Ces deux groupes de maladies ont des symptômes proches et peu spécifiques (elles sont facilement confondues avec une grippe) ; les Ehrlichioses ou l'Anaplasmose. Ces deux maladies, si elles ont beaucoup de points communs, sont en fait bien différentes, chacune pouvant dans certains cas être fatales en l'absence de soins adéquats.
Ces bactéries (pour celles qui sont connues) semblent toujours infecter des animaux à sang chaud, sauf l'une qui infecte des poissons et au moins l'un de ses vers parasites (helminthe). Cette dernière causait chez l'homme une maladie (Ehrlichiose du Japon) qui semble avoir disparu avec les progrès dans la surveillance des poissons mangés crus.
Les bactéries Ehrlichia véchiculées par les tiques peuvent varier selon les zones biogéographiques ou continents considérés ;
- Par exemple chez l'Homme aux États-Unis, les deux bactéries en cause dans les ehrlichiose monocytique humaine sont :
- Ehrlichia chaffeensis
- Ehrlichia ewingii.
Elles varient selon l'espèce-réservoir considérée et/ou selon le vecteur auquel elles doivent être adaptées (il faut qu'elles résistent à son système immunitaire, grâce à une coévolution avec cet hôte particulier).
Un syndrome grippal survenant chez toute personne à risque (c'est-à-dire fréquentant des forêts ou zones boisées ou des animaux susceptibles d'être porteurs de tiques), surtout si les symptômes sont estivaux ou apparaissent de mai à octobre, soit faire évoquer la maladie. Si le patient est immunodéficient le diagnostic et le traitement doivent être les plus rapides possibles. Une fiche médicale de renseignements devrait toujours accompagner le prélèvement de seconde intention.
Espèces connues
    
- E. canis,
- E. chaffeensis,
- E. equi,
- E. phagocytophila,
- E. risticii,
- E. ewingii,
- E. sennetsu
D'autres espèces sont classées parmi les ehrlichiae :
- E. platys,
- E. bovis,
- E. ovina,
- E. ondiri,
Classification
    
Les ehrlichiae ont d'abord été regroupées selon le type de cellules sanguines les plus fréquemment infectés (granulocytes, lymphocytes, monocytes, plaquettes). Les maladies qu'elles causaient ont ainsi été désignées comme étant « granulocytaire » ou « monocytiques », mais ce classement peut être trompeur, car certaines des espèces d'Ehrlichia ont été trouvées dans d'autres cellules que celles qu'elles visent principalement. De plus, des espèces génétiquement très différentes peuvent infecter la même cellule (la maladie prenant alors le même nom ; ehrlichiose "monocytique" ou "granulocytaire" alors que l'étiolgie est en réalité différente, ainsi éventuellement que le vecteur ou l'espèce-réservoir...
Le nom ou le classement de tout ou partie de ces bactéries pourraient donc à l'avenir changer. Anderson et ses collègues ont pour des raisons pratiques proposé d'utiliser la séquence des ARNr 16S comme standard pour décrire d'éventuelles nouvelles espèces au sein de cette famille[1].
Description
    

Les Ehrlichia sont des bacilles gram négatif de la famille des Anaplasmataceae (comme d'autres bactéries pathogènes que sont Aegyptianella - Anaplasma - Ehrlichia - Eperythrozoon - Haemobartonella - Neoehrlichia - Neorickettsia - Paranaplasma - Xenohaliotis).
Ce sont des bactéries zoonotiques intracellulaires obligatoires (elles ne peuvent se développer qu'à l'intérieur de certains globules blancs de leur hôte). En microscopie, si colorées, elles apparaissent comme des « cocci» (nom désignant des bactéries en forme de billes) de 1 à 3 μm de diamètre.
En phase aiguë de la maladie elles forment des « morulae » pathognomoniques (qui n'apparaissent cependant que dans 1 à 42 % des polynucléaires neutrophiles circulant pour l'anaplasmose (et dans les monocytes et macrophages pour l’EMH)[2].
Dans les leucocytes, les ehrlichiae se divisent pour former des colonies dans des vacuoles dites morulae (pluriel de morula qui en latin désigne le mûrier en se référant à la mûre). La formation de morulae est une caractéristique de tout groupe de bactéries pathogènes et est un élément majeur de diagnostic des maladies qu'ils induisent. 
La bactérie peut aussi constituer des morulae  dans les phagosomes des macrophages de la rate, du foie, des poumons, des reins, de la moelle osseuse et du liquide céphalo-rachidien (détectées à l'autopsie)[3].
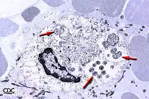
Détection
    

d'un patient atteint d'ehrlichiose.
Les flèches rouges montrent des
ehrlichia individuelles
La bactérie est détectée dans le frottis sanguin (coloré) en phase aiguë de la maladie où des morulae sont visibles. Sinon, un diagnostic sérologique (test ELISA) ou une recherche directe (PCR) doit confirmer sa présence.La sérologie peut ne pas se positiver si un  traitement antibiotique adéquat a été précocement prescrit (la PCR permet alors un diagnostic de certitude). La sérologie est positive chez 100 % des autres convalescents et peut le rester jusqu’à 4 ou 5 ans après l'infection. 
Une sérologie positive n'indique cependant pas nécessairement une infection aiguë (2/3 au moins des séroconversions sont asymptomatiques[4]
Dans les cas de complications neurologiques, l’étude du liquide céphalo-rachidien (LCR) montre une pléocytose avec morulae dans les phagosomes des leucocytes. L’immunocytologie et la PCR prouvent aussi la présence d’Ehrlichia ou d'Anaplasma dans le LCR[2].
Histoire
    
La description des ehrlichia est récente. Chez l'homme, la bactérie responsable de l’ehrlichiose du Japon est la première à avoir été découverte, après la description en 1953 de cette maladie. D'autres ehrlichia ont ensuite été décrites, en 1987 pour l’ehrlichiose monocytaire humaine et en 1994 pour l'ehrlichiose granulocytaire humaine. On ne connaît peut-être pas toutes les ehrlichia et on sait maintenant que la même bactérie peut infecter l'homme et l'animal ; deux autres espèces responsables d’ehrlichioses canines ont été récemment décrites chez l’homme : Ehrlichia canis et Ehrlichia ewingii.
Épidémiologie
    

Les ehrlichioses étaient des maladies considérées comme rares jusque vers 1995, mais des études de séro-prévalence ont depuis montré qu'elles sont en augmentation et/ou qu'elles avaient été avaient été sous-diagnostiquées.
Une augmentation est d'autant plus plausible (ce qui en fait une maladie émergente[4], que ces augmentations (réelles et/ou apparentes) correspondent aux zones où les tiques pullulent depuis quelques décennies, et où d'autres maladie émergentes sont avérées (dont maladie de Lyme). Des coïnfections via les tiques sont d'ailleurs possibles et semblent fréquentes dans ces zones. Elles induisent des formes cliniques plus sévères et chroniques[5],[6].
- en Amérique du Nord, on a montré qu'elle était fréquente avec la borréliose de Lyme, et moindrement la babésiose murine).
- En Europe, les études manquent pour l’anaplasmose humaine mais en zone de coendémie les données suggèrent des coïnfections avec Borrelia, et moindrement Babesia ou le virus TBEV-CEE[7].
Chez certaines espèces (cheval), l'infection confère une immunité durable, chez d'autres c'est parfois le cas (chien ou humain), mais pas toujours. Des animaux apparemment guéris peuvent continuer à héberger la bactérie et quelques réinfections documentées existent ; dans les deux ans suivant une infection par A. phagocytophilum[2]. Seule l’évolution de la sérologie permet de conclure à la guérison totale.
Des formes  chroniques ont été récemment repérées chez le chien et chez l'Humain. 
Elles semblent toujours fatales chez le chien.
Prévalence et fréquence des maladies
    
Aux États-Unis, les deux bactéries en cause sont de plus en plus souvent détectées (sans doute parce qu'on les recherche mieux, mais aussi parce que les populations de tiques et de l'espèce-réservoir ont fortement augmenté, en se concentrant dans les forêts de plus en plus fragmentées et dépourvues de prédateurs capables de jouer leur rôle sanitaire d'élimination des animaux fragilisés par des infections et fortement parasités par des tiques) . la maladie est surtout détectée du printemps à l'automne et sur des zones géographiques correspondant assez bien à la densité en tiques vectrices. Le Centre-Est des USA est particulièrement avec le sud est et le nord-est (zone également la plus touché par la maladie de Lyme). Les 30-70 ans semblent largement plus touchés (ou meilleure détection ?) que les enfants et jeunes adultes[8].
Cycle de vie
    
Les ehrlichia peuvent se développer dans un seul organisme, mais assurent leur diffusion en un cycle associant plusieurs espèces.
- La bactérie se développe principalement dans une espèce-réservoir qui peut varier selon la zone biogéographique (Il s'agit par exemple du daim à queue blanche pour les USA).
- La bactérie se fait ensuite véhiculer par une autre espèce (hématophage comme la tique ou, dans le cas de l'Ehrlichiose du Japon qui touche des patients mangeant du poisson cru, par un helminthe parasite du poisson.
C'est pourquoi ces maladies sont dites  maladies vectorielles  (maladies à tiques en l'occurrence, hormis pour l'Ehrlichiose du Japon).
| Genre | Ehrlichia | Ehrlichia | Ehrlichia | Ehrlichia | Anaplasma | Neorickettsia | 
|---|---|---|---|---|---|---|
| Espèce | E. chaffeensis | E. canis | E. ewingii | E. equi (renommée Anaplasma phagocytophilum | A. phagocytophilum | N. senettsu | 
| Maladie induite | Ehrlichiose monocytaire humaine | Ehrlichiose canine monocytaire | Eehrlichiose canine granulocytaire | Eehrlichiose équine granulocytaire | Ehrlichiose granulocytaire humaine | Ehrlichiose du Japon | 
Antigènes et sérogroupage
    
    
Génome
    
 
    
Prédateurs
    
Cette bactérie est dans une certaine mesure capable de déjouer le système immunitaire en habitant l'intérieur de cellules de ce système.
Prévention
    
Elle consiste à éviter de se faire piquer par des tiques.
En cas de morsure, noter la date et le lieu de la morsure, et le délai de découverte et extraction de la tique après le contact supposé.. afin de pouvoir donner ces informations au médecin si l'on est conduit à le consulter.
Il peut être utile de photographier d'éventuelles manifestations cutanées (rash, pétéchies, taches rouges..) qui pourraient éventuellement guider pour le diagnostic), en apposant une échelle centimétrique sur la peau, ou un objet donnant l'échelle.
Voir aussi
    
    Articles connexes
    
Notes et références
    
- ANDERSON (B.E.), DAWSON (J.E.), JONES (D.C.) et WILSON (K.H.) : Ehrlichia chaffeensis, a new species associated with human ehrlichiosis. J. Clin. Microbiol., 1991, 29, 2838-2842
- Goodman JL, Nelson C, Vitale B, Madigan JE, Dumler JS, Kurtti TJ, et al. Direct cultivation of the causative agent of human granulocytic ehrlichiosis. N Engl J Med. 1996 Aug. 1; 335 (5). N Engl J Med. 1996 Jan 25; 334 (4)
- Dunn BE, Monson TP, Dumler JS, Morris CC, Westbrook AB, Duncan JL, Dawson JE, et al. Identification of Ehrlichia chaffeensis morulae in cerebrospinal fluid mononuclear cells. J Clin Microbiol. 1992 Aug; 30(8):2207-10. Résumé.
- Fishbein DB, Dennis DT. Tick-borne Diseases, a growing risk. The New England Journal of Medicine. August 17, 1995 ; 333, Number 7.
- Lebech AM, Hansen K, Pancholi P, Sloan LM, Magera JM, Persing DH. Immunoserologic evidence of Human Granulocytic Ehrlichiosis in Danish patients with Lyme neuroborreliosis. Scand J Infect Dis. 1998 ; 30 (2): 173-6.
- Sumption KJ, Wright DJM, Cutler SJ, Dale BAS. Human ehrlichiosis in the UK. Lancet. 1995 ; 346 : 1487-1488.
- Lotric-Furlan S, Petrovec M, Avsic-Zupanc T, Strle F. Concomitant tickborne encephalitis and human granulocytic ehrlichiosis. Emerg Infect Dis. 2008 ; 11 (3) : 485- 488. [Lotric-Furlan S, Petrovec M, Avsic-Zupanc T, Strle F. Concomitant tickborne encephalitis and human granulocytic ehrlichiosis. Emerg Infect Dis. 2008 ; 11 (3) : 485- 488. Texte en ligne.
- statistiques, cartes (2001-2002), graphes (1999-2006), et nombre de cas selon l'âge (2001-2002), par les CDC, pour l'ehrlichiose aux USA
- Portail de la médecine
- Portail de la microbiologie

