Ultrasons focalisés de haute intensité
Les ultrasons focalisés de haute intensité (HIFU pour l'anglais High Intensity Focused Ultrasound) constituent une technique médicale permettant de faire l'ablation thermique (destruction par la chaleur) ou par cavitation (destruction par la formation de bulles) d'un tissu biologique pathologique (tumeur) ou non chez les êtres vivants.
Principes
L’utilisation des ultrasons focalisés de haute intensité dans le domaine médical repose sur les principes suivants :
- les ultrasons sont des ondes sonores inaudibles qui se propagent parfaitement en milieu liquide, mais également dans les tissus biologiques naturellement riches en eau, s’ils ne sont pas calcifiés (os) ou remplis d’air (système respiratoire) ;
- les ultrasons communément utilisés dans une discipline particulière de l’imagerie médicale appelée échographie, traversent les tissus sans que ceux-ci subissent aucun effet biologique, étant donné que les puissances utilisées sont très faibles ;
- lorsque les ultrasons sont utilisés à forte puissance (10 000 fois plus élevée dans le cas des HIFU que dans le cas de l’imagerie à ultrasons), ils ont un effet biologique sur les tissus traversés. Cet effet peut avoir certaines conséquences sur les tissus en fonction de différents paramètres d’exposition aux ultrasons, qui peuvent aller du simple échauffement à la destruction pure et simple du tissu concerné ;
- lorsque le faisceau d’ultrasons est convergent (comme le ferait une loupe avec les rayons du soleil), et que les ondes ultrasonores de haute intensité sont focalisées en un point, l’effet immédiat obtenu au sein des tissus biologiques est leur échauffement brutal et extrêmement intense (jusqu’à 85 °C[1],[2],[3]).
L'objectif de la technique sur un organe, est l’obtention d’une destruction tissulaire de très petites dimensions, focalisée précisément. Le volume concerné a une forme géométrique connue assimilée à un cigare (ou à un grain de riz) lorsque la surface du transducteur émetteur du faisceau d'ultrasons a une géométrie de segment de sphère. Le volume focal peut également avoir une géométrie différente, non ponctuelle comme dans le cas de transducteurs en segment de cylindre. La dimension du volume focal est réduite et dépend de sa géométrie et de la fréquence du faisceau d'ultrasons produit, pouvant aller de 20 mm de longueur sur 2 mm de diamètre pour des applications d'ablation tumorale avec une fréquence de 4 MHz, à 2 mm de longueur sur 0,1 mm de large pour une application comme le traitement du glaucome avec une fréquence de 21 MHz. Pour traiter l’ensemble du tissu d’un organe, il est donc nécessaire de répéter les tirs un certain nombre de fois (de plusieurs centaines dans le cas du traitement d'une tumeur à moins d'une dizaine dans le cas du traitement du glaucome) en déplaçant la cible entre chaque tir, de manière à obtenir un volume résultant équivalant à la somme de chaque volume de lésion élémentaire. Ainsi, la juxtaposition dans l’espace de plusieurs centaines de lésions élémentaires, permet de traiter en totalité une glande comme la prostate ou de manière partielle l'organe qui produit l'humeur aqueuse, le corps ciliaire, dans le traitement du glaucome[4].
L’utilisation de l’informatique et parfois de la robotique, ainsi que lorsque cela est nécessaire d’un système d’imagerie intégré, permet de disposer d’un appareil de traitement précis. Dans le cas du traitement du cancer de la prostate ou des nodules thyroïdiens, certaines fonctionnalités sont complètement automatisées et une fois la planification réalisée par le chirurgien sur l'écran et à l'aide des images échographiques, le traitement est réalisé par un système robotisé qui suit les instructions de manière précise. Dans le cas du traitement du glaucome, l'appareil exécute automatiquement la séquence de tir programmée en effectuant un traitement circulaire sur la périphérie oculaire[5].
Utilisation
Traitement des tumeurs
Ce principe est déjà utilisé largement dans ces cas et notamment pour obtenir l’ablation thermique de tumeurs bénignes (fibromes utérins, adénofibrome, nodules thyroïdiens bénins) ou malignes (cancer de la prostate, du foie, de la thyroïde).
Dans le cadre de l'adénofibrome du sein, les ultrasons focalisés de haute intensité offrent une alternative au suivi et à la chirurgie en permettant aux patientes de bénéficier d'une solution non-invasive et sans cicatrice pour la prise en charge de leur tumeur bénigne[6].
En cas de cancer, l’ablation thermique obtenue avec les ultrasons focalisés résulte d’une nécrose de coagulation immédiate et irréversible au niveau cellulaire, ce qui exclut tout risque théorique de dissémination de cellules cancéreuses par la circulation générale.
Prostate
L’indication la plus avancée est sans nul doute le traitement du cancer localisé de la prostate, pour laquelle des données cliniques sur le suivi à long terme sont disponibles[7],[8]. La cible est contenu dans une glande de petites dimensions mais elle peut être multiple. La procédure dure en règle environ deux heures. La dernière génération d'appareil médical à ultrasons de haute intensité permet, en combinant tous les outils de diagnostic (fusion élastique avec l'IRM et les cartographies de biopsie), de cibler uniquement la zone de la prostate atteinte par le cancer (traitement focal du cancer localisé de la prostate).
La position anatomique de la prostate, en regard immédiat de la paroi rectale, la place dans une situation où elle est facilement accessible au traitement par ultrasons, quand ceux-ci sont délivrés par une sonde placée en position endorectale. Elle est, de plus, peu sujette aux mouvements viscéraux, qui pourraient résulter de l’activité cardiaque ou respiratoire, ce qui renforce la précision du geste.
Varices
Dans le domaine des varices, la dernière avancée médicale est l’échothérapie par ultrasons focalisés de haute intensité. L‘échothérapie est une innovation technologique majeure, et une technique d’intervention non–invasive pour les patients souffrant de varices. Ce traitement utilise des ultrasons : des ondes à haute intensité énergétique appliquées sur une zone précise du corps permettent une augmentation localisée de la température, capables de traverser la peau sans dommages, pour traiter les veines sur une zone ciblée[9]. Cette chaleur dénature les molécules cellulaires ciblées afin de les éliminer.
Cette méthode est intégralement non-invasive et n’est pas nécessairement pratiquée en salle d’opération, à la différence des techniques existantes. En effet, la procédure consiste à traiter depuis l’extérieur du corps, ce qui ne laisse aucune cicatrice et permet au patient de reprendre sa vie quotidienne dans la foulée. Son principal atout est de proposer une méthode alternative pour traiter les varices qui ont évolué en ulcères veineux[10].
Adénofibrome du sein
Les ultrasons focalisés de haute intensité sont utilisés pour le traitement des adénofibromes du sein. Ces adénofibromes sont présents chez 10 femmes sur 100 surtout entre 15 et 35 ans. Ce sont des nodules du sein bénins, fermes, lisses, qui mesurent entre 1 et 15 cm de diamètre. Il est recommandé de le traiter lorsqu'il augmente de taille ou qu'il est douloureux.
Le traitement habituel est l'opération chirurgicale. Les ultrasons focalisés de haute intensité (aussi appelé échothérapie pour le sein) offrent une alternative douce à la chirurgie, elle permet un traitement sans incision, ni cicatrice et sans anesthésie générale.
La procédure dure entre 20 min et 1 h 30 et peut ne nécessiter qu'une seule séance. Elle est réalisée sous anesthésie locale, par conséquent la patiente peut repartir dès la procédure terminée. Le fibroadénome va réduire de taille dans les 3 mois suivants la procédure entraînant une diminution des symptômes[11].
Nodule thyroïdien
Les nodules thyroïdiens sont présents chez 30 % des adultes. Il en existe deux types, les nodules chauds qui entraînent une production incontrôlée d'hormones, ceux-ci peuvent mener à une hyperthyroïdie, et les nodules froids qui sont inactifs.
Certains nodules, même bénins, nécessitent un traitement car ils peuvent entrainer des problèmes de déglutition, des enrouements, pression dans le cou ou détresse respiratoire.
Les ultrasons focalisés de haute intensité (i.e.:échothérapie) sont proposés en alternative à la chirurgie pour le traitement des nodules thyroïdiens bénins. Le traitement est réalisé en ambulatoire sans cicatrice ni incision. Le traitement qui dure entre 20 min et 1 h 30, nécessite uniquement une anesthésie locale et le patient peut reprendre ses activités dèq la fin de l'intervention. La taille du nodule diminue progressivement pendant les 6 mois suivants l'intervention, s'accompagnant également d'une atténuation des symptômes[12].
Autres
La prise en charge de l'hyperparathyroïdie s'oriente vers une approche de moins en moins invasive[13]. Les ultrasons focalisés de haute intensité (HIFU) peuvent être utilisés pour la destruction des tumeurs sécrétantes[14].
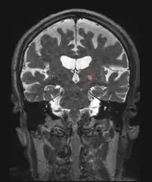
Le traitement des lésions intracérébrales par ultrasons focalisés est difficile en raison de la barrière osseuse (crâne), qui déforme les faisceaux ultrasonores. Les premiers tests, qui remontent aux années 1950 ont ainsi été réalisés à travers une ouverture pratiquée dans le crâne[15]. L'utilisation de réseaux de transducteurs avec correction numérique de la distorsion osseuse basée sur des données tomodensitométriques du crâne a permis de focaliser les ultrasons à travers un crâne intact[16] et d'expérimenter la technique sur des tumeurs cérébrales[17].
Son utilisation est envisagée pour le traitement de l’endométriose digestive.
Ils sont en cours d'étude dans le rétrécissement aortique serré calcifié, où ils sont dirigés contre les calcifications valvulaires[18].
Glaucome
Le glaucome est une maladie oculaire dans laquelle on observe une dégénérescence progressive des fibres rétiniennes, affectant la fonction visuelle et pouvant aboutir à la cécité. Le facteur de risque le plus important est une pression intra oculaire (PIO) anormalement élevée (PIO > 20 mmHg). Les HIFU permettent de détruire partiellement l'organe qui produit l'humeur aqueuse : le corps ciliaire. Cette méthode aboutit à la réduction de la production de liquide intra-oculaire et à l'abaissement de la PIO. Parmi les solutions permettant d'obtenir une nécrose des corps ciliaires, la plupart ont recours au laser diode. En 2010 une équipe lyonnaise a expérimenté pour la première fois chez l'homme l'utilisation d'un dispositif HIFU miniaturisé pour réaliser une cyclo coagulation circulaire par ultrasons. Cette méthode a démontré une efficacité au moins comparable à celle du laser diode et une tolérance significativement améliorée[19],[20]. L'ablation thermique réalisée au moyen des HIFU sur les corps ciliaires, semble être précise et très sélective, ce qui se traduit par une très bonne tolérance, peu d'inflammation et aucun impact sur les tissus environnants, caractéristiques qui sont une constante des HIFU dans toutes les indications dans lesquels ils sont utilisés.
Maladies neurologiques

La destruction ou la section de certaines petites structures cérébrales par chirurgie stéréotaxique permet d'améliorer certaines maladies neurologiques. Les HIFU, guidées par imagerie par résonance magnétique[21] semblent être une alternative moins lourdes et ont été testées dans plusieurs maladies : douleurs neuropathiques (section du thalamus centrolatéral[22]), tremblements essentiels (thalamus[23],[24]) et maladie de Parkinson (faisceau pallidothalamique (en) [25].) La technique non invasive concurrente reste la radiochirurgie où la lésion est obtenue par un rayonnement radio-actif.
Données économiques
La technique reste onéreuse : l'appareillage coûte environ 500 000 dollars et chaque acte requiert entre 800 et 2 400 dollars de matériels (données 2016)[26]. Elle est cependant inférieure à une prostatectomie radicale par robot (pour le cas d'un cancer de la prostate) ou à une radiothérapie d'intensité modulée[26]
Thermoablation
Le terme thermoablation regroupe les solutions thérapeutiques permettant de traiter différentes pathologies en utilisant la chaleur.
Parmi elles, on retrouve des techniques utilisant les Ultrasons Focalisés de Haute Intensité (HIFU) comme l'ablathermie, avec l'outil de marque Ablatherm, pour le traitement du cancer de la prostate, ou l'échothérapie[27],[28], pour le traitement des nodules thyroïdiens bénins et des adénofibromes du sein.
Notes et références
- (en) Esnault O, Franc B, Monteil JP, Chapelon JY. « High-Intensity Focused Ultrasound for Localized Thyroid Tissue Ablation: Preliminary Experimental Animal Study » Thyroid 2004;14(12).
- (en) Esnault 0, Franc B, Chapelon JY, Lacoste F. « Localized Ablation of Thyroid Tissue by High-Intensity Focused Ultrasound: an Alternative to Surgery? » Proceedings ISTU 2005
- (en) Esnault O, Franc B, Chapelon JY. « Localized ablation of thyroid tissue by High-Intensity Focused Ultrasound (HIFU): Improvement of noninvasive tissue necrosis methods » Thyroid 2009;19(10):1085-91.
- (en) Aptel F, Charrel T, Palazzi X, Chapelon JY, Denis P, Lafon C. « Histologic effects of a new device for high-intensity focused ultrasound cyclocoagulation » Invest Ophthalmol Vis Sci. 2010;51(10):5092-8.
- (en) Charrel T, Aptel F, Birer A, Chavrier F, Romano F, Chapelon JY, Denis P, Lafon C. « Development of a miniaturized HIFU device for glaucoma treatment with conformal coagulation of the ciliary bodies » Ultrasound Med Biol. 2011;37(5):742-54.
- [vidéo] Reportage Magazine de la Santé - Ultrasons focalisés et tumeurs bénignes du sein sur YouTube
- (en) S. Crouzet, F. J. Murat, G. Pasticier, P. Cassier, J. Y. Chapelon, et A. Gelet « High intensity focused ultrasound (HIFU) for prostate cancer: current clinical status, outcomes and future perspectives » Int J Hyperthermia 2010;26(8):796-803.
- (en) T. Uchida, H. Ohkusa, H. Yamashita, S. Shoji, Y. Nagata, T. Hyodo et al. « Five years experience of transrectal high-intensity focused ultrasound using the Sonablate device in the treatment of localized prostate cancer » Int J Urol. 2006;13(3):228-33.
- Daniel CHOLLET, « ULTRasOns. au diable les varices », hebdomadaire, , p. 28
- Par Thibault Chaffotte Le 18 octobre 2022 à 18h39, « L’hôpital d’Argenteuil s’équipe d’un robot unique en France pour soigner les varices », sur leparisien.fr, (consulté le )
- (en) Cavallo Marincola B, « High -intensity focused ultrasound in breast pathology: non-invasive treatment of benign and malignant lesions. », Expert Rev Med Devices, , p. 24:1-9
- (en) R.D.Kovatcheva, « US-guided High-Intensity Focused Ultrasound Ablation of Benign Solide Thyroid Nodules: Initial Clinical Outcomes », Radiology,
- David Malinvaud, Gaël Potard, Cyrille Fortun et al. « Traitement de l’hyperparathyroïdie primitive : vers une chirurgie moins invasive » Revue du Rhumatisme 2004;71:196-202. DOI 10.1016/j.rhum.2003.04.001
- (en) Kovatcheva et al. « High-Intensity Focused Ultrasound to Treat Primary Hyperparathyroidism: A Feasibility Study in Four Patients » AJR Am J Roentgenol. 2010;195:830-5.
- (en) Fry WJ, Mosberg WH Jr, Barnard JW, Fry FJ « Production of focal destructive lesions in the central nervous system with ultrasound » J Neurosurg. 1954;11(5):471-8.
- (en) J. F. Aubry, M. Tanter, M. Pernot, J. L. Thomas, et M. Fink « Experimental demonstration of noninvasive transskull adaptive focusing based on prior computed tomography scans » J Acoust Soc Am. 2003;113(1):84-93.
- (en) McDannold N, Clement GT, Black P, Jolesz F, Hynynen K, « Transcranial magnetic resonance imaging-guided focused ultrasound surgery of brain tumors: initial findings in 3 patients » Neurosurgery 2010;66(2):323-32.
- Messas E, Ijsselmuiden A, Trifunović-Zamaklar D et al. Treatment of severe symptomatic aortic valve stenosis using non-invasive ultrasound therapy: a cohort study, Lancet, 2023;402:2317-2325
- (en) Aptel F, Charrel T, Lafon C, Romano F, Chapelon JY, Blumen-Ohana E, Nordmann JP, Denis P. « Miniaturized high-intensity focused ultrasound device in patients with glaucoma: a clinical pilot study » Invest Ophthalmol Vis Sci. 2011;52(12):8747-53.
- Aptel F, Denis P. « Glaucomes : un nouveau traitement chirurgical par cyclo coagulation aux ultrasons » e-Mem Acad Chir. 2012;11(4):77-83.
- (en) Cline HE, Schenck JF, Watkins RD, Hynynen K, Jolesz FA, « Magnetic resonance-guided thermal surgery » Magn Reson Med. 1993;30:98-106.
- (en) Jeanmonod D, Werner B, Morel A. et al. « Transcranial magnetic resonance imaging-guided focused ultrasound: noninvasive central lateral thalamotomy for chronic neuropathic pain » Neurosurg Focus 2012;32:E1-E1
- Elias WJ, Lipsman N, Ondo WG et al. A randomized trial of focused ultrasound thalamotomy for essential tremor, N Engl J Med, 2016;375:730-739
- (en) Marc N. Gallay, David Moser, Franziska Rossi et Payam Pourtehrani, « Incisionless transcranial MR-guided focused ultrasound in essential tremor: cerebellothalamic tractotomy », Journal of Therapeutic Ultrasound, vol. 4, (DOI 10.1186/s40349-016-0049-8, lire en ligne, consulté le )
- (en) Anouk Magara, Robert Bühler, David Moser et Milek Kowalski, « First experience with MR-guided focused ultrasound in the treatment of Parkinson's disease », Journal of Therapeutic Ultrasound, vol. 2, , p. 11 (ISSN 2050-5736, PMID 25512869, PMCID 4266014, DOI 10.1186/2050-5736-2-11, lire en ligne, consulté le )
- Hu JC, Laviana A, Sedrakyan A, High-Intensity Focused Ultrasound for prostate cancer, novelty or innovation?, JAMA, 2016;315:2659-2660
- Roussanka Kovatcheva, Jean-Noël Guglielmina, Marc Abehsera et Loïc Boulanger, « Ultrasound-guided high-intensity focused ultrasound treatment of breast fibroadenoma—a multicenter experience », Journal of Therapeutic Ultrasound, vol. 3, (ISSN 2050-5736, PMID 25635224, PMCID PMC4310188, DOI 10.1186/s40349-014-0022-3, lire en ligne, consulté le )
- Huedayi Korkusuz, Niklas Fehre, Michael Sennert et Christian Happel, « Early assessment of high-intensity focused ultrasound treatment of benign thyroid nodules by scintigraphic means », Journal of Therapeutic Ultrasound, vol. 2, , p. 18 (ISSN 2050-5736, PMID 25276352, PMCID PMC4179864, DOI 10.1186/2050-5736-2-18, lire en ligne, consulté le )
- Portail de la médecine
- Portail des technologies