Syndrome de Susac
Le syndrome de Susac est une microangiopathie associant une atteinte des vaisseaux de la rétine, de la cochlée et du cerveau.

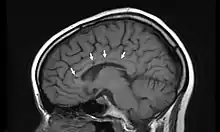
IRM d'une patiente atteinte du syndrome de Susac montrant les « trous » du corps calleux associés à la régression des symptômes (flèches).
Historique
    
Il a été décrit par John O. Susac en 1979[1].
Origine
    
Il s'agit d'une maladie auto-immune[2], avec présence d'anticorps anti-cellules endothéliales[3].
Description
    
Il associe une occlusion d'une branche de l'artère centrale de la rétine, des troubles de l'audition et des signes neurologiques variés[2].
L'IRM cérébrale montre des anomalies de la substance blanche ainsi qu'au niveau du corps calleux[4].
Diagnostic différentiel
    
Les formes atypiques de la maladie peuvent le faire confondre avec une sclérose en plaques[5].
traitement
    
Il repose sur les corticoïdes et l'injection d'immunoglobulines. Dans les formes sévère, un traitement par immunosuppresseurs peut être proposé[6].
Notes et références
    
- Susac JO, Hardman JM, Selhorst JB, Microangiopathy of the brain and retina, Neurology, 1979;29:313-316
- Dörr J, Krautwald S, Wildemann B et al. Characteristics of Susac syndrome: a review of all reported cases, Nat Rev Neurol, 2013;9:307-316
- Magro CM, Poe JC, Lubow M, Susac JO, Susac syndrome: an organ-specific autoimmune endotheliopathy syndrome associated with anti-endothelial cell antibodies, Am J Clin Pathol, 2011;136:903-912
- Susac JO, Murtagh FR, Egan RA, et al. MRI findings in Susac’s syndrome, Neurology, 2003;61:1783-1787
- Buzzard KA, Reddel SW, Yiannikas C, Sean Riminton D, Barnett MH, Hardy TA, Distinguishing Susac’s syndrome from multiple sclerosis, J Neurol, 2015;262:1613-1621
- Egan RA, Diagnostic criteria and treatment algorithm for Susac syndrome, J Neuroophthalmol, 2018
- Portail de la médecine
    Cet article est issu de Wikipedia. Le texte est sous licence Creative Commons – Attribution – Partage à l’identique. Des conditions supplémentaires peuvent s’appliquer aux fichiers multimédias.
