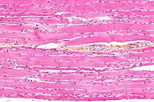
Rhabdomyocyte
Les rhabdomyocytes sont les cellules musculaires des muscles striés squelettiques[1]. Ils se forment par fusion de myoblastes, donnant des myotubes à noyaux centraux qui, sous l'effet de l'innervation [Comment ?] vont se différencier en myofibres (à noyaux périphériques). À la suite du processus de croissance, on assiste à l'augmentation de la taille des fibres (en longueur et en épaisseur par adjonction ce cellules satellites embryonnaires) donnant ainsi les cellules musculaires striées [réf. souhaitée].

Elles ont la caractéristique de comporter un grand nombre de noyaux (en moyenne 100) situés en périphérie du cytoplasme (sous la membrane plasmique) et de former ainsi les syncytiums [réf. souhaitée]. Ce sont les unités contractiles du muscle grâce à l'organisation de leurs myofilaments d'actine et de myosine à même de « glisser » les uns par rapport aux autres, sous l'impulsion d'un influx nerveux.
Les rhabdomyocytes sont de grandes cellules, ayant un diamètre variant de 10 à 100 micromètres pour une longueur de 1 à 5 cm[2].
Notes et références
- « FMPMC-PS - Histologie : les tissus - Niveau PAES », sur www.chups.jussieu.fr (consulté le )
- « Les différents types de muscles - muscle strié squelettique », sur Institut de myologie
Pages connexes
- Portail de la biologie cellulaire et moléculaire
- Portail de l’anatomie