Pierre Masson (médecin)
Pierre Claude Laurent Masson, né le à Dijon et mort le à Montréal, est un médecin et anatomo-pathologiste franco-canadien éminent, nommé membre du Temple de la renommée médicale canadienne en 1997.
Aperçu biographique
Il naît à Dijon dans une famille de magistrats. Il est reçu docteur en médecine de la Faculté de médecine de Paris en 1909, après une licence ès sciences. Il y est le collaborateur d'Amédée Borrel (dernier élève direct de Louis Pasteur) à l'Institut Pasteur. Après la Grande Guerre, sans aucun autre grade universitaire, il est appelé par Georges Weiss pour occuper le poste de directeur de l'institut d'anatomie pathologique et la chaire de pathologie de la Faculté de médecine de Strasbourg. Il reste là pendant huit années avant de rejoindre la nouvelle Faculté de médecine de l'Université de Montréal au Canada.
Il est membre[1] non-résidant (du au ) puis membre titulaire (à partir du ) de l'Académie nationale de médecine.

.jpg.webp)
Éponymie
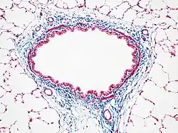
- Trichrome de Masson[2],[3]: coloration histologique associant à l'hématoxyline (coloration nucléaire), la fuchsine-Ponceau (coloration cytoplasmique) et le vert lumière ou le bleu d'aniline (coloration élective du collagène).
- Technique d’argentation de Masson (ou de Fontana-Masson)[4]
- Glomus neuro-myo-artériel de Masson[5]
- Syndrome de Barré-Masson[6]
- Cellule claire de Masson (ou cellule de Kulchitsky-Masson)[7]
- Pseudoangiosarcome de Masson[8]
- Adénome sudoripare de Masson
- Hémangio-endothéliome végétant intravasculaire de Masson
- Corps de Masson[9]
- Organe de Masson[10]
- Théorie de Masson: « Théorie d'après laquelle les tumeurs dites mixtes des glandes salivaires auraient une origine uniquement épithéliale »[11]
Œuvres et publications
.jpg.webp)
- Les Glomus neuro-vasculaires, Paris : Hermann, 1937, 1 vol. (72 p.-41 p. de pl.) ; 25 cm.
- Atlas du cancer, [Avertissement par Pierre Delbet], 1923-1926.
- La Lactoferrine , protéine des sécrétions externes et des leucocytes neutrophiles, 1970.
- Les Névromes ganglionnaires du grand sympathique, 1909.
- Quelques aspects histologiques de la propagation intra-pulmonaire de la tuberculose par voie lymphatique, 1932.
- Tumeurs, diagnostics histologiques, 1923.
- Tumeurs humaines, histologie, diagnostics et techniques. 2e édition, 1956.
- En collaboration
- avec Joseph-F. Martin, Sur la présence des cellules de Kultschizky dans un épithélioma cylindrique de l'estomac et ses métastase, 1928.
Bibliographie
- (en) Khalid Al Aboud, Ahmad Al Aboud: « Eponyms in the dermatology literature linked to Stains used in Skin biopsies. » Our Dermatol Online. 2013; 4(4): 569-572, Texte intégral.
- Cabanne F., « Pierre Masson (1880-1959) », Annales de pathologie, 1983;3(1):95-7.
- (en) Michalany J., « Pierre Masson (1880-1957) », Ann Pathol., 2011 Apr;31(2):71-2. doi: 10.1016/j.annpat.2011.03.002. Epub 2011 May 5.
- (en) Moore S, Seemayer TA, Tremblay G., « The Career and Influence of Pierre Masson (1880-1959) », Int J Surg Pathol, juillet 2001 9: 231-236.
- Rheault MJ., « Pierre Masson: his influence on the teaching of pathology in Canada », Can J Surg., 1985 Sep;28(5):456-7.
- Riopelle JL., « Éloge du Professeur Pierre Masson », Union Med Can., 1959 Dec;88:1590-4.
- Jean-Christophe Sabourin, « Hommage à Pierre Masson », Annales de pathologie, Vol 31, no 2, p. 69-70, , Doi:10.1016/j.annpat.2011.03.003
- (en) Seemayer TA., « The life and legacy of Professor Pierre Masson », Am J Surg Pathol., 1983 Mar;7(2):179-83.
- (en) Simard LC., « Obituaries. Dr. Pierre Masson », Can Med Assoc J., 1959 Jul 1;81(1):56-7, Texte intégral.
- (en) Steffen C. « The man behind the eponym: C. L. Pierre Masson », Am J Dermatopathol., 2003 Feb;25(1):71-6.
- Jean-Marie Vetter, « Le renouveau de l'anatomie pathologique », in: Histoire de la médecine à Strasbourg, Jacques Héran (coord.), La Nuée Bleue (Strasbourg), 1997 (2e éd. rév.), p. 503-504.
- Anonyme
- « Le professeur Masson de la Faculté de médecine de Strasbourg, Chanteclair, 1925, p. 23, Texte intégral.
Notes et références
- Pierre Masson dans le site de la Bibliothèque de l’Académie de médecine.
- « Colorations spéciales » dans le Polycopié de pathologie générale des études médicales
- (en) Masson's stain.
- « Masson (technique d’argentation) », Dictionnaire médical de l'Académie de Médecine, version 2015, Texte intégral.
- « Glomus neuro-myo-artériel de Masson », Dictionnaire médical de l'Académie de Médecine, version 2015, Texte intégral.
- (en) Barré-Masson syndrome.
- « Cellule claire de Masson », Dictionnaire médical de l'Académie de Médecine, version 2015, Texte intégral.
- (en) G M Kavanagh, N Rooney, et C T Kennedy, « Masson's pseudoangiosarcoma », J R Soc Med., 1991 Dec; 84(12): 745–746, Texte intégral.
- (en) Masson's body.
- (en) Masson's organ.
- (en) Masson's theory.
Annexes
Articles connexes
Liens externes
- Dr Pierre Masson dans le site Temple de la renommée médicale canadienne.
- Pierre Masson et Les bâtisseurs: Pierre Masson dans le site de l'Université de Montréal.
- (en) « Notice biographique », sur Who Named It?
- (en) Masson Trichrome Stain for connective tissue.
- Ressource relative à la santé :
- Ressource relative à la recherche :
- Ressource relative à la vie publique :
- Portail de l’anatomie
- Portail de la biologie
- Portail de Strasbourg
- Portail de Montréal