Paul Segond
Paul Segond, né le à Paris, où il meurt le , est un chirurgien français. Il est l’un des fondateurs de la chirurgie gynécologique et de l’enseignement de la gynécologie à Paris.
Carrière
Paul Ferdinand Segond fait ses études de médecine à Paris. Premier au concours de l'externat de 1874, il est également reçu premier à l'internat des hôpitaux en 1875. En 1874, il a fait une communication dans les Annales de gynécologie sur le poids des nouveau-nés[1]. Il est nommé aide d'anatomie à la faculté de médecine en 1877, et prosecteur l’année suivante. En 1880, il est reçu docteur en médecine et couronné par la Société de chirurgie et l'Académie des sciences pour sa thèse sur les abcès chauds de la prostate et le phlegmon périprostatique. En 1883[2], ayant soutenu une thèse sur la cure radicale des hernies, il devient professeur agrégé de chirurgie. Reçu la même année, encore une fois premier, au concours de chirurgien des hôpitaux, il est nommé chef de clinique à l’hôpital de la Salpêtrière, avec le chirurgien Ulysse Trélat[3]. Promu en 1900 chirurgien en chef du même hôpital, il travaille parallèlement à la clinique Baudelocque. En 1905, il succède à Paul Tillaux à la chaire de médecine opératoire de la faculté et, en 1909, à Paul Reclus à celle de clinique chirurgicale, qu’il conserve jusqu’à sa mort en 1912.
Vie personnelle
Il est le fils de l'anatomiste Louis-Auguste Segond (1819-1908[4],[5]) et le gendre de Juliette Adam, activiste féministe et femme de lettres. L'un des fils de sa fille Claudie, mariée au chimiste Ernest Fourneau, est le peintre surréaliste Jean-Claude Fourneau.
Œuvre
Appareil génito-urinaire et gynécologie
Parmi les plus importantes des contributions de Segond, il faut compter celles qui relèvent de la chirurgie des organes génito-urinaires. Sa thèse de 1880 porte sur la prostate[6]. En 1884, il publie sur une pathologie de l’urètre[7] et, en 1887, sur l’ablation du rein[8]. En 1889, il décrit un « nouveau procédé de traitement chirurgical de l’exstrophie de la vessie[9],[10] ».
D’autre part, et sous l’influence de Jules Péan, il se tourne vers les opérations gynécologiques et son principal apport dans ce domaine concerne l’hystérectomie par la voie vaginale[11], voie naturelle par laquelle Segond opère également des carcinomes et des myomes.
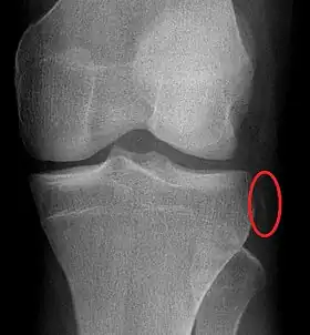
Fracture de Segond

Enfin, Segond est un des plus éminents spécialistes du genou au XIXe siècle en France. Reprenant les expériences d’Amédée Bonnet (1820-1858), il publie en 1879 une étude sur « les épanchements sanguins du genou par entorse »[12]. Observant un traumatisme qui porte aujourd’hui son nom, la « fracture de Segond », qui se produit par arrachement du bord antéro-latéral du plateau tibial et s’accompagne généralement d’une rupture du ligament croisé antérieur, il en décrit les autres signes cliniques et, à cette occasion, il signale l'existence d'une « bande nacrée », oubliée depuis lors, redécouverte en 2012 au CHU de Brest[13] et en 2013 à l'hôpital universitaire de Louvain (nl)[14], et renommée par ses nouveaux auteurs « ligament antéro-latéral »[15].
Éponymie

Segond ayant inventé ou perfectionné un très grand nombre de procédés opératoires, parmi lesquels l’« opération de Péan-Segond », il a tout naturellement créé aussi de nombreux instruments, auxquels son nom reste également attaché : aiguille, spatule, tracteur, érigne, pinces ou valve de Segond.
Titres et distinctions
- Chef de service du pavillon Osiris à l’hôpital de la Salpêtrière (1883) ;
- Chirurgien en chef de l’hôpital de la Salpêtrière (1900)[16] ;
- Secrétaire général de la Société de chirurgie de Paris (1900-1905) ;
- Professeur de médecine opératoire (1905) ;
- Président de la Société nationale de chirurgie (1906) ;
- Professeur de clinique chirurgicale (1909) ;
- Membre de l’Académie de médecine (1909) ;
- Officier de la Légion d’honneur.
Publications
Appareil génito-urinaire
- 1880 : Des abcès chauds de la prostate et de la région périprostatique, Paris, G. Masson, (lire en ligne).
- 1881 : « Étude sur l'anatomie pathologique des rétrécissements de l'urèthre », Gazette hebdomadaire de médecine et de chirurgie, 2e série, vol. 18, no 39, , p. 625-627 (lire en ligne, consulté le ), avec Édouard Brissaud.
- 1885 : « Des avantages de l’incision périnéale dans le traitement des suppurations prostatiques et péri-prostatiques », Bulletins et mémoires de la Société de chirurgie, .
- 1886 : « Deux néphrectomies : L'une pour une hydronéphrose suppurée et l'autre pour un rein flottant douloureux : Guérison » (communication faite au congrès français de chirurgie, 2e session, ).
- 1889 : « Traitement chirurgical de l’exstrophie de la vessie : Note sur un nouveau procédé opératoire (communication faite au congrès français de chirurgie, 4e session, octobre 1889) », Annales des maladies des organes génito-urinaires, .
- 1903 : Préface à Albert Katz, Le Traitement chirurgical de l'exstrophie de la vessie, Paris, G. Steinheil, (lire en ligne), p. 5-8.
Gynécologie
- 1885 : « Note sur un cas d'imperforation congénitale de l’hymen », dans Bulletins et mémoires de la Société de chirurgie.
- 1888 : Traitement des fibromes utérins par la castration ovarienne.
- 1892 : « De l'hystérectomie vaginale dans le traitement des suppurations péri-utérines », dans Bulletins et mémoires de la Société de chirurgie.
- 1893 : « Résultats éloignés de l'ablation des annexes de l'utérus dans les infections non néoplasiques de ces organes », dans Séances annuelles du Congrès français de chirurgie.
- 1894 : « Nouveau procédé opératoire pour supprimer les fistules recto-vaginales chez les femmes dont le périnée est intact », dans Bulletins et mémoires de la Société de chirurgie.
- 1894 : « Sur l'hystérectomie vaginale dans l'ablation de certaines tumeurs annexes » (communication faite au Congrès français de chirurgie : 8e session, Lyon, 1894), Paris, Félix Alcan, 1895.
- 1898 : « Traitement des grossesses extra-utérines » [rapport au Congrès périodique de gynécologie, d'obstétrique et de pédiatrie, 2e session, Marseille, ], dans Gazette hebdomadaire de médecine et de chirurgie, 3e série, vol. 3, pp. 997-1000 ; L. Maretheux, Paris (OCLC 492862168) ; réédition Nabu Press, (ISBN 978-1-145-00897-7).
Divers
- 1879 : Recherches cliniques et expérimentales sur les épanchements sanguins du genou par entorse, Bureaux du Progrès médical, (lire en ligne).
- 1883 : Cure radicale des hernies (thèse présentée au concours de l'agrégation, section de chirurgie et d'accouchements), Paris, Typographie G. Chamerot, .
- 1885 : « Gastrotomie pour rétrécissement infranchissable de l’œsophage », La Semaine médicale, .
- 1887 : « Kyste hépatique de la face convexe du foie traité et guéri par l’ouverture large de ses parois », Bulletins et mémoires de la Société de chirurgie, .
- 1888 : Valeur de la cure radicale des hernies, .
- 1890 : Résection du nerf maxillaire supérieur et du ganglion sphéno-palatin par la voie temporale, .
- 1894 : « Note sur l'anesthésie par le bromure d'éthyle », Bulletins et mémoires de la Société de chirurgie, .
Participations
- 1885 : « Varicocèle », dans Sigismond Jaccoud (dir.), Nouveau dictionnaire de médecine et de chirurgie pratiques, vol. 38 [Vac-Vei], Baillière et fils, .
- 1888 : « Tumeurs de l'ovaire », dans John Hashhurst (dir.), Encyclopédie internationale de chirurgie, vol. 7 : Organes génito-urinaires de l'homme et de la femme, Paris, Baillière et fils, , 908 p..
- 1892 : « Chirurgie du foie », « Chirurgie des annexes de l'urètre », « Ovaires », « Trompes », « Ligaments larges », « Péritoine pelvien », dans Simon Duplay et Paul Reclus, Traité de chirurgie, Paris, G. Masson, .
Annexes
Bibliographie
- Marcel Baudouin, Le Voyage chirurgical de M. Paul Segond aux États-Unis en 1896, Institut international de bibliographie, Paris, 1897. (Notice consultée le .)
- Émile Baudron, De l'hystérectomie vaginale appliquée au traitement chirurgical des lésions bilatérales des annexes de l'utérus (opération de Jules Émile Péan) : Étude basée sur les deux cents premières observations du docteur Paul Segond, Société d'éditions scientifiques, 1894. (Présentation consultée le .)
- Edgar Bérillon[17], Paul Segond, avec un portrait de Segond en héliogravure par Waléry, 1903.
- Philippe Colombet, Michel Allard, Vincent Bousquet, Christophe de Lavigne et Pierre-Henri Flurin, « L'Histoire de la chirurgie du LCA (ligament croisé antérieur) », sur Maîtrise orthopédique : Le Journal orthopédique sur le web (Lire en ligne. Consulté le .)
- (en) Ole Daniel Enersen, « Paul Ferdinand Segond », sur A Dictionnary of Medical Eponyms (Lire en ligne. Consulté le .)
- Clément Saudeux, « Biographie du professeur Paul Segond », illustrée d'une caricature pleine page (« Le Champion des poids lourds ») par E. Marin, Le Rictus : Journal humoristique médical, no 9, .
- Philippe Segal, Émile Dehoux et Christophe Mensa, « La Fracture de Segond », dans Jacques Rodineau (dir.) et Gérard Saillant (dir.), Les Lésions isolées récentes du ligament croisé antérieur : Données actuelles, Paris, Masson, , 381 p. (ISBN 2-225-83668-X et 978-2-225-83668-8), p. 52-55.
- (de) Cet article est partiellement ou en totalité issu de l’article de Wikipédia en allemand intitulé « Paul Ferdinand Segond » (voir la liste des auteurs).
Liens externes
- Ressource relative à la santé :
- Ressource relative à la recherche :
- Ressource relative à la vie publique :
- Base Léonore
Notes et références
- Paul Segond, « Du poids des nouveau-nés : Son accroissement physiologique. Circonstances qui peuvent le modifier », Annales de gynécologie et d'obstétrique, no 2, , p. 298-308 (lire en ligne).
- Cette même année 1883, Tourgueniev, quelques semaines avant sa mort, fut opéré en vain par Segond. (Voir Florence Montreynaud, « Les Dernières Années de Turgenev en France : Dix-neuf lettres inédites de Turgenev à des amis français », Cahiers du monde russe et soviétique, vol. 13, no 1, , p. 55-56 (lire en ligne).)
- Né en 1828, mort en 1890, fils du médecin et homme politique français homonyme Ulysse Trélat (1795-1879).
- Professeur agrégé à la faculté de médecine de Paris, membre de la Société de biologie.
- Voir Louis-Auguste Segond, Traité d'anatomie générale : Théorie de la structure, embrassant les substances organiques et les éléments, les tissus, les membranes et les parenchymes, Paris, libr. de Victor Masson, , 400 p. (lire en ligne).)
- Des abcès chauds de la prostate et de la région périprostatique, op. cit.
- Étude sur l'anatomie pathologique des rétrécissements de l'urèthre, op. cit.
- « Deux néphrectomies », op. cit.
- « L’exstrophie de la vessie est une malformation complexe qui intéresse non seulement la vessie, mais aussi l’urètre, la paroi abdominale, la ceinture pelvienne, le périnée et les organes génitaux externes. » (« Exstrophie vésicale », sur Chirurgie pédiatrique.)
- « Traitement chirurgical de l’exstrophie de la vessie », congrès français de chirurgie, octobre 1889.
- Traitement des grossesses extra-utérines, op. cit.
- Progrès médical, 1879.
- (en) J. P. Vincent, R. A. Magnussen, F. Gezmez, A. Uguen, M. Jacobi, F. Weppe, M. F. Al-Saati, S. Lustig, G. Demey, E. Servien et P. Neyret, « The Anterolateral Ligament of the Human Knee: An Anatomic and Histologic Study », Knee Surg. Sports Traumatol. Arthrosc., vol. 20, no 1, , p. 147-152 (DOI 10.1007/s00167-011-1580-3).
- (en) Steven Claes, Evie Vereecke, Michael Maes, Jan Victor, Peter Verdonk et Johan Bellemans, « Anatomy of the Anterolateral Ligament of the Knee », Journal of Anatomy, vol. 223, no 4, , p. 321-328 (DOI 10.1111/joa.12087, lire en ligne, consulté le ).
- Norédine Benazdia, « Des chirurgiens découvrent une nouvelle partie du corps humain », Sciences-mag.fr, (lire en ligne, consulté le ).
- « Grâce enfin à la générosité de M. le Dr Segond, chirurgien de la Salpêtrière, qui s’est chargé d’acheter lui-même des lits et un mobilier, la Salpêtrière possède aujourd’hui un pavillon de médecine opératoire, ou plutôt de gynécologie, digne de la science moderne et de l’opérateur auquel est confiée la direction du service chirurgical de cet hôpital. » (Marcel Baudouin, « Le nouveau pavillon Osiris à la Salpêtrière », dans Gazette médicale de Paris, 19 janvier 1901.)
- Edgar Bérillon (1859-1948), aliéniste, hypnotiste, disciple de Jules Liégeois, dissident de l'école de Charcot.
- Portail de la médecine
- Portail de la France