Ostéosarcome
Un ostéosarcome (sarcome ostéogène, du grec ὀστέον ostéon os[1] et et σάρκωµα sarkôma excroissance de chair[2]) est la plus courante des tumeurs malignes osseuses primaires, chez les adolescents et jeunes adultes (10-25 ans). Il a une prédilection pour la région des métaphyses des os longs tubulaires et 50 % des cas se produisent autour du genou.

Cette forme de cancer est toujours considérée comme rare. On la différencie de l'ostéome et de l'ostéoblastome par son caractère évolutif et son envahissement important des tissus mous adjacents, associé à une rupture de la corticale de l'os. De plus, bien que tous trois soient des sarcomes, l'ostéosarcome se différencie du fibrosarcome et du chondrosarcome.
Fréquence
L'ostéosarcome est la huitième forme la plus courante de cancer chez les enfants, comprenant 2,4 % de toutes les tumeurs malignes chez les patients pédiatriques, et environ 20 % de tous les cancers des os primaires[3].
L'incidence de l'ostéosarcome est estimée à 5 cas par million d'habitants par an pour la population américaine, avec une légère variation entre les individus d'ethnie noire, hispanique et blanche (respectivement 6,8, 6,5 et 4,6 cas par million de personnes et par an). Il est plus fréquent chez les hommes (5,4 par million par an) que chez les femmes (4,0 par million par an)[3].
La tumeur se développe le plus souvent dans la région métaphysaire des os longs tubulaires, avec 42 % se produisant dans le fémur, 19 % dans le tibia et 10 % dans l'humérus. Environ 8 % des cas surviennent dans le crâne et la mâchoire, et 8 % dans le bassin[3].
Prévalence
L'ostéosarcome est le sixième cancer le plus fréquent chez les enfants de moins de 15 ans. Il affecte 400 enfants de moins de 15 ans et 500 adultes (la plupart entre 15 et 30 ans) chaque année aux États-Unis. Environ 300 des 900 personnes meurent chaque année. Un second pic de fréquence se produit chez les personnes âgées, le plus souvent associé à une pathologie osseuse sous-jacente telle que la maladie osseuse de Paget. On compte 100 à 150 nouveaux cas par an en France[4].
Mortalité et survie
Les décès dus à des tumeurs malignes des os et des articulations représentent un nombre inconnu de décès par cancer chez les enfants. Les taux de mortalité dus à l'ostéosarcome ont diminué d'environ 1,3 % par an. Les probabilités de survie à long terme pour l'ostéosarcome se sont considérablement améliorées au cours de la fin du XXe siècle et se rapprochent de 68 % en 2009[3].
Pathologie

Découverte par le chirurgien Alexis Boyer en 1806[5], cette tumeur touche particulièrement les os longs comme le fémur (40 %), le tibia (20 %), le pelvis (10 %), l'humérus (8 %), les os de la face (< 10 %) [6].
La tumeur peut être localisée à l'extrémité de l'os long. Le plus souvent, elle affecte l'extrémité proximale du tibia ou de l'humérus, ou l'extrémité distale du fémur. L'ostéosarcome tend à affecter les régions autour du genou dans 60 % des cas, dans 15 % des cas c'est autour de la hanche, 10 % à l'épaule et 8 % dans la mâchoire.
La tumeur est solide, dure, irrégulière, (décrite en « sapin » ou en « rayon de soleil » sur les examens aux rayons X) en raison des spicules tumorales d'os calcifiés rayonnant en angle droit. Ces angles droits forment ce que l'on appelle un triangle de Codman. Les tissus environnants sont infiltrés.

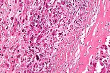
Au microscope la caractéristique de l'ostéosarcome est la présence d'ostéoïde (formation osseuse) dans la tumeur. Les cellules tumorales sont très pléomorphes (anaplasiques), certaines sont géantes, et de nombreuses mitoses sont atypiques. Ces cellules produisent des ostéoïdes décrivant des travées irrégulières (amorphes, éosinophiles / roses) avec ou sans calcification centrale (hematoxylinophilic / bleu, granulaire) - os de la tumeur. Les cellules tumorales sont incluses dans la matrice ostéoïde. Les ostéosarcomes peuvent présenter des cellules géantes ostéoclastiques comme multinucléées[7].
Selon les caractéristiques des cellules tumorales présentes (qu'elles ressemblent à des cellules osseuses, à des cellules cartilagineuses ou des cellules de type fibroblaste), la tumeur peut être classée en trois sous-types d’ostéosarcomes dit conventionnels de haut grade (75 % à 80 % des plus fréquents dans le cancer pédiatrique)[8] :
- ostéosarcome ostéoblastique : 70 %, majoritaire ; les cellules ostéoblastiques produisent une matrice ostéoïde immature. En condition physiologique, cette matrice se minéralise et donne lieu à l’apparition d’un os. Au contraire, lors de cancer des os, cette matrice n’a pas le temps de se minéraliser et donc de durcir ;
- ostéosarcome chondroblastique : 12 % ;
- ostéosarcome fibroblastique : 10 %.
Causes
Les causes de l'ostéosarcome ne sont pas connues. Plusieurs groupes de recherche étudient les cellules souches cancéreuses et leur potentiel de causer des tumeurs[9]. La radiothérapie pour des conditions sans rapport peut être une cause rare[10].
Prédisposition génétique
Il existe plusieurs types de prédisposition génétique dans ce cancer osseux[11],[12]:
- des cas familiaux où la délétion du chromosome « 13q14 » qui inactive le gène du rétinoblastome est associée à un risque élevé de développement de l'ostéosarcome ;
- les dysplasies osseuses, y compris la maladie de Paget, la dysplasie fibreuse, l’enchondromatose et la maladie des exostoses multiples augmentent le risque d'ostéosarcome ;
- le syndrome de Li-Fraumeni (mutation de lignée germinale TP53) est un facteur prédisposant au développement de l'ostéosarcome ;
- le syndrome de Rothmund-Thomson (c'est-à-dire la transmission autosomique récessive associant malformations congénitales des os, dysplasie des cheveux et de la peau, hypogonadisme, cataracte) est associé à un risque accru de la maladie ;
- le syndrome de Werner qui affecte particulièrement les os de la cheville ;
- le syndrome de Bloom qui est une forme de nanisme.
Symptômes
Le symptôme majoritaire de cette pathologie est la douleur osseuse ou articulaire au niveau de la zone tumorale. Elle peut ne pas disparaître au repos ou sous antalgiques et peut s’intensifier par l’exercice physique[11].
Les autres symptômes de cette pathologie peuvent être :
- le gonflement ou la présence d’une masse palpable sur un os ;
- des difficultés à mobiliser et se servir d’un membre, pouvant conduire au boitement ;
- la fracture des os affaiblis ;
- une fatigue intense ;
- une transpiration excessive ;
- de la fièvre ;
- une perte de poids.
Dans les cas extrêmes, l'ostéosarcome est détecté lors d'une fracture spontanée de l'os. Dans cette situation, la tumeur a consumé la quasi-totalité de l'os.
Diagnostic
Le diagnostic de cette pathologie est suggéré à l’aide de techniques d’imageries comme la radiographie, l’IRM, la scintigraphie osseuse, la tomodensitométrie, puis confirmé par biopsie[11],[12].
À la suite du diagnostic, les ostéosarcomes sont classifiés en différents stades selon l’étendue et la taille de la tumeur (classification TNM) :
- Stade 1A : La tumeur mesure 8 cm ou moins et est de bas grade.
- Stade 1B : La tumeur mesure plus de 8 cm et on observe des tumeurs dans plusieurs parties différentes du même os (tumeurs fragmentées). Elle est de bas grade.
- Stade 2A : La tumeur mesure 8 cm ou moins et est de haut grade.
- Stade 2B : La tumeur mesure plus de 8 cm et est de haut grade.
- Stade 3 : On observe des tumeurs dans plusieurs parties différentes du même os. Elle est de haut grade.
- Stade 4 : Présence de métastases, préférentiellement localisées au niveau pulmonaire ou dans d’autres os.
Traitement
Le traitement comprend le plus souvent [13] :
- un retrait de la zone tumorale par chirurgie, voire une amputation du membre concerné, avec possible pose de prothèse remplaçant l'os ;
- une chimiothérapie combinant différents médicaments, généralement pré-opératoire et postopératoire, alors nommée néo-adjuvante ou adjuvante.
Pronostic
Depuis les années 70, le taux de survie globale à 5 ans est resté stable et est compris entre 65 à 70 % grâce aux traitements décrits plus haut [14]. Toutefois, certains patients développent des résistances aux traitements, des récidives mais aussi des métastases, ce qui les conduit à présenter cette fois-ci un taux de survie globale à 5 ans compris entre 5 et 20 %. Il est donc nécessaire de trouver de nouvelles stratégies thérapeutiques afin de pouvoir améliorer et guérir ces patients [15].
Ostéosarcome canin
L'ostéosarcome est la tumeur osseuse primaire la plus fréquente chez le chien et se caractérise par un comportement biologique particulièrement agressif, à la fois localement (dans l'os atteint) et à distance (dissémination métastatique). Les chiens de races grandes et géantes sont plus typiquement atteints et parmi les races prédisposées on compte : rottweiler, lévrier anglais, Irish wolfhound, races de montagne (grand pyrénéen, terre-neuve, Leonberg), grand danois (dogue allemand). Les sites les plus fréquents d'ostéosarcome dans le squelette appendiculaire sont, dans l'ordre, le radius distal et l'humérus proximal (membre thoracique), et le tibia (distal ou proximal) et le fémur distal (membre pelvien). C'est pourquoi on mentionne parfois que les localisations les plus classiques sont « loin du coude, près du genou ». Chez les petites races, les localisations sont plus souvent retrouvées sur le squelette axial et sur le crâne.
Les ostéosarcomes sont classés en centraux ou médullaires, périostaux, parostéaux et extrasquelettiques. Les localisations extrasquelettiques les plus fréquentes chez le chien sont les glandes mammaires et la rate. Comme chez l'Homme, la classification de l'OMS du chien et du chat reconnaît plusieurs types histologiques : ostéoblastique (non productif, modérément productif, productif), chondroblastique, fibroblastique, télangiectatique, à cellules géantes et mal différencié.
La vitesse de progression des tumeurs malignes est relativement importante. Au moment du diagnostic, le pronostic est déjà réservé et l'espérance de vie réduite. La dissémination métastatique des ostéosarcomes est en effet souvent précoce avec un envahissement fréquent des poumons. Lorsqu'on ne détecte pas de métastases au diagnostic, le traitement standard de l'ostéosarcome canin est l'amputation du membre atteint, suivie d'une chimiothérapie post-opératoire. Le pronostic de survie moyenne d'un chien amputé mais qui n'est pas traité en chimiothérapie est d'environ 4-5 mois, alors qu'il est de 9-11 mois lorsque l'amputation est suivie d'une chimiothérapie. La qualité de vie des chiens amputés est généralement excellente. Lorsque l'amputation n'est pas possible, une thérapie palliative, visant à améliorer la qualité de vie du chien, est possible et peut inclure : radiothérapie palliative, anti-inflammatoires, autres agents antalgiques (morphiniques et autres), aminobisphosphonates (médicaments inhibant le remodelage osseux), etc. Des études sont en cours évaluant l'innocuité et l'efficacité de l'immunothérapie afin d'améliorer le pronostic de survie de chiens avec ostéosarcome appendiculaire.
L'ostéosarcome appendiculaire (des membres) du chat est plus fréquemment rencontré sur les membres pelviens, contrairement au chien. De même, le pronostic des chats avec ostéosarcome appendiculaire est meilleur que celui d'un chien, avec une médiane de survie dépassant 18 mois avec la chirurgie seule (amputation)[16].
Notes et références
- « ostéo- », dans Wiktionnaire, le dictionnaire libre, (lire en ligne)
- « Rhabdomyosarcome — acadpharm », sur dictionnaire.acadpharm.org (consulté le )
- (en) Ottaviani G., Jaffe N., The epidemiology of osteosarcoma. In: Jaffe N. et al. "Pediatric and Adolescent Osteosarcoma", New York, Springer, (ISBN 978-1-4419-0283-2, PMID 20213383, DOI 10.1007/978-1-4419-0284-9_1)
- « Ostéosarcome », sur Gustave Roussy (consulté le )
- John H. Baron, Boyer, Jean, Oxford University Press, coll. « Oxford Music Online », (lire en ligne)
- (en) Drew D. Moore et Hue H. Luu, « Osteosarcoma », dans Orthopaedic Oncology: Primary and Metastatic Tumors of the Skeletal System, Springer International Publishing, coll. « Cancer Treatment and Research », , 65–92 p. (ISBN 978-3-319-07323-1, DOI 10.1007/978-3-319-07323-1_4, lire en ligne)
- Papalas JA, Balmer NN, Wallace C, Sangüeza OP, « Ossifying dermatofibroma with osteoclast-like giant cells: report of a case and literature review », Am J Dermatopathol, vol. 31, no 4, , p. 379–83 (PMID 19461244, DOI 10.1097/DAD.0b013e3181966747)
- Leo Kager, Gevorg Tamamyan et Stefan Bielack, « Novel insights and therapeutic interventions for pediatric osteosarcoma », Future Oncology, vol. 13, no 4, , p. 357–368 (ISSN 1479-6694, DOI 10.2217/fon-2016-0261, lire en ligne, consulté le )
- Osuna D, de Alava E, « Molecular pathology of sarcomas », Rev Recent Clin Trials, vol. 4, no 1, , p. 12–26 (PMID 19149759, DOI 10.2174/157488709787047585)
- Dhaliwal J, Sumathi VP and Grimer RJ. Radiation-induced periosteal osteosarcoma. Grand Rounds 10: 13-18
- Canadian Cancer Society / Société canadienne du cancer, « Symptômes du cancer des os », sur Société canadienne du cancer (consulté le )
- (en) Shachi Jain Taran, Rakesh Taran et Nagraj B. Malipatil, « Pediatric Osteosarcoma: An Updated Review », Indian Journal of Medical and Paediatric Oncology, vol. 38, no 01, , p. 33–43 (ISSN 0971-5851 et 0975-2129, PMID 28469335, PMCID PMC5398104, DOI 10.4103/0971-5851.203513, lire en ligne, consulté le )
- (en) Giulia Ottaviani et Norman Jaffe, « The Epidemiology of Osteosarcoma », dans Pediatric and Adolescent Osteosarcoma, Springer US, coll. « Cancer Treatment and Research », , 3–13 p. (ISBN 978-1-4419-0284-9, DOI 10.1007/978-1-4419-0284-9_1, lire en ligne)
- Nathalie Gaspar, Bob-Valéry Occean, Hélène Pacquement et Emmanuelle Bompas, « Results of methotrexate-etoposide-ifosfamide based regimen (M-EI) in osteosarcoma patients included in the French OS2006/sarcome-09 study », European Journal of Cancer, vol. 88, , p. 57–66 (ISSN 0959-8049, DOI 10.1016/j.ejca.2017.09.036, lire en ligne, consulté le )
- Yu-Xin Liao, Hai-Yang Yu, Ji-Yang Lv et Yan-Rong Cai, « Targeting autophagy is a promising therapeutic strategy to overcome chemoresistance and reduce metastasis in osteosarcoma », International Journal of Oncology, vol. 55, no 6, , p. 1213–1222 (ISSN 1019-6439, PMID 31638211, PMCID PMC6831203, DOI 10.3892/ijo.2019.4902, lire en ligne, consulté le )
- « Ostéosarcome chez le chien », sur www.fregis.com (consulté le )