Néphropathie glomérulaire
Les néphropathies glomérulaires ou glomérulopathie sont littéralement les « maladies des glomérules ». Le glomérule constitue la première barrière de filtration rénale entre le sang et l'urine primitive, il est composé d'une cellule endothéliale, d'une membrane basale et de podocytes. Les néphropathies glomérulaires représentent environ 40 % des causes d'insuffisance rénale terminale. Il en existe plusieurs types, différentes sur plusieurs plans, à la fois sur leur présentation clinique, de leur évolution ainsi que sur le leur physiopathologie. Elles s'accompagnent volontiers d'un syndrome inflammatoire, ce sont alors des glomérulonéphrites ou glomérulites. Leurs causes sont variées mais on peut cependant distinguer les glomérulopathies secondaires (à une maladie identifiée) et les glomérulopathies primitives (lorsque l'atteinte rénale est isolée, sans cause connue). Ce sont des maladies sévères, menant fréquemment à l'insuffisance rénale chronique et nécessitant pour le malade d'être sous dialyse.

Diagnostic
    
    Signes rénaux
    
Les deux signes suivants sont presque toujours présents (au moins un des deux pour évoquer une pathologie glomérulaire) :
- La présence de protéines dans les urines ou protéinurie : il s'agit du signe essentiel de la glomérulopathie, protéinurie composée essentiellement d'albumine. Elle se compose principalement d'albumine, supérieure à 30 g/L (et parfois de gamma-globulines). Elle peut être associée à un syndrome néphrotique, qui correspond à la diminution du taux de protéines sanguines (elles sont dans les urines) ainsi qu'une augmentation du taux de lipides sanguins.
- La présence du sang dans les urines ou hématurie : Elle peut être microscopique (plus de 10^4 globules rouges par mL d'urines) ou macroscopique (visible à l'œil nu). On retrouve dans l'urine des cylindres hématiques, ils sont la preuve de l'origine glomérulaire de l'hématurie.
Les trois signes suivant sont fréquemment associés mais pas systématiques :
- Une hypertension artérielle ou HTA, secondaire à une prolifération endocapillaire, activant le système rénine-angiotensine-aldostérone.
- Une insuffisance rénale, aiguë ou chronique, d'origine parenchymateuse (atteinte glomérulaire), qui est dépistée par le taux de créatinine plasmatique puis estimée par le calcul de la clairance de la créatinine.
- Des œdèmes, secondaires à la perte protéique.
Signes non rénaux
    
Ils ne sont pas systématiques mais sont à rechercher en cas de suspicion d'atteinte glomérulaire car ils peuvent représenter des signes de gravité.
- Les signes généraux tels qu'une altération de l'état général, un amaigrissement ou une fièvre.
- Les signes digestifs telles que des douleurs abdominales ou des diarrhées
- Les signes cutané (purpura)
- Les signes neurologiques (troubles de la conscience, confusion)
- Les signes pulmonaires (dyspnée)
Les douleurs musculaires ou articulaires
Réponse aux tests immunologiques
    
Selon l'étiologie, certains anticorps vont voir leur taux sanguin augmenté.
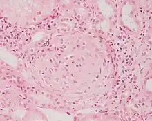
La biopsie rénale
    
La biopsie rénale permet d'obtenir le diagnostic histologique de néphropathie glomérulaire. Celle-ci comporte quelques risques (hématomes, hématurie macroscopique, fistules artério-veineuses), mais permet, en plus de poser le diagnostic histologique, d'orienter vers une étiologie et d'établir un pronostic.
Les pièces prélevées sont étudiées en microscopie optique et en microscopie avec immunofluorescence pour caractériser à la fois la localisation et la nature des lésions. On peut compléter l'analyse par une étude au microscope électronique.
Les principaux diagnostics histologiques des glomérulopathies sont :
- les lésions glomérulaires minimes (LGM) ;
- la hyalinose segmentaire et focale (HSF) ;
- la glomérulonéphrite extramembraneuse (GEM) ;
- la glomérulonéphrite membranoproliférative (GMP) ;
- les dépôts mésangiaux d'IgA dans la Maladie de Berger.
Principale maladies pouvant provoquer une glomérulopathie
    
- Le diabète
- Les vascularites
- L'amylose AA ou AL
- Le lupus érythémateux disséminé
- Les néoplasies
- Les atteintes virales (VIH, hépatite C ou B)
- Les atteintes bactériennes (endocardite infectieuse ou streptocoque)
- La Maladie de Berger (surtout chez âge précoce)
Traitement des néphropathies glomérulaires
    
    Traitement étiologique quand cela est possible
    
Corticothérapie, immunosuppresseurs, échanges plasmatiques...
Traitement symptomatique
    
Il a pour but de freiner la progression de l'insuffisance rénale associée : principalement le contrôle de la pression artérielle
- Portail de la médecine
