Néoplasie prostatique intraéphithéliale
La néoplasie prostatique intraéphithéliale (ou PIN) est une anomalie de tubes glandulaires prostatiques. Elle peut être de bas (LGPIN) ou de haut grade (HGPIN). Cette anomalie est considérée comme une lésion précurseur du cancer de la prostate (adénocarcinome prostatique).
Anatomie pathologique
Images microscopiques
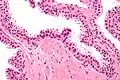
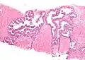
Néoplasie prostatique intraéphithéliale
Néoplasie prostatique intraéphithéliale de haut grade (HGPIN)
Néoplasie prostatique intraéphithéliale de haut grade (HGPIN)
Voir aussi
- Portail de la médecine
Cet article est issu de Wikipedia. Le texte est sous licence Creative Commons – Attribution – Partage à l’identique. Des conditions supplémentaires peuvent s’appliquer aux fichiers multimédias.