Mélanine
Le mot mélanine est un mot générique qui désigne de nombreux pigments biologiques foncés qui sont notamment responsables de la coloration des téguments dans le règne animal. Chez l'être humain, la couleur de la peau, des cheveux et des yeux dépendent principalement de son type et de sa concentration. De nombreux animaux en produisent également, dont les oiseaux (coloration des plumes) et certains protozoaires.

On la retrouve aussi comme pigment chez les champignons (mycète) chez lesquels elle renforce la paroi cellulaire, y compris chez des champignons microscopiques pathogènes (ex. : Aspergillus fumigatus)[1].
Les mélanines biologiques sont des macromolécules produites pour la plupart par les mélanocytes, par addition ou condensation de monomères formés à partir de la tyrosine (eumélanine) ou de la tyrosine et de la cystéine (phéomélanine), avec le concours de l'enzyme tyrosinase. Une faible proportion de la mélanine, comme la neuromélanine de la substantia nigra du cerveau humain, n'est pas fabriquée dans les mélanocytes, mais provient probablement du métabolisme d’une amine simple comme la dopamine.
Des mélanines artificielles existent : polyacétylènes, polyanilines, et polypyrroles de couleur noire ou brune, et leurs copolymères ; elles ont une application industrielle ou biotechnologique.
Son rôle principal est la « protection pigmentaire » contre les radiations UV. Chez certains animaux, les mélanophores, chromatophores porteurs de mélanine, contribuent au camouflage ou signalent par leurs transformations l’émotion, le stress ou un changement de l’environnement (température, etc.). Chez certains invertébrés, les agents pathogènes sont encapsulés dans de la mélanine, qui contribuerait donc chez eux à la défense contre les infections. Il semble aussi que ses groupes carboxylate et hydroxyl-phénol puissent isoler du milieu certains éléments dommageables lorsqu’ils sont en excès, comme les métaux lourds[2].
Types
On connaît deux principaux types de mélanine comportant chacun deux sous-groupes, et un type mineur moins connu :
- l'eumélanine ou pigment sombre (noir, brun foncé);
- la phéomélanine ou pigment clair, fauve (rouge, brun clair) ;
- la neuromélanine, présente essentiellement dans la substantia nigra (substance noire) et le locus cœruleus (tache bleue) du cerveau.
Synthèse
Le mécanisme de formation de la mélanine est très complexe. Pour plusieurs types de mélanine, il n'est pas encore élucidés. La mélanine de la peau humaine est produite lors de l'exposition aux rayons UV à partir de tyrosine grâce à l’enzyme tyrosinase. La tyrosine est tout d’abord convertie en DOPA, puis en dopaquinone. En l’absence de cystéine, de l'indole-5,6-quinone est formé, donnant l'eumélanine. En présence de cystéine, de la cystéinyldopa est formée, donnant de la phéomélanine. Ces deux pigments polymérisent à un degré variable selon leur nature.
- Étape de base commune :
- tyrosine (tyrosine oxydase ou tyrosinase) → DOPA (3,4-dihydroxyphénylalanine) (dopa-oxydase)→ dopaquinone.
- Deux chemins possibles vers l’eumélanine :
- dopaquinone → leucodopachrome → dopachrome → 5,6-dihydroxyindole (DHI) → indole-5,6-quinone ;
- dopaquinone → leucodopachrome → dopachrome → acide 5,6-dihydroxyindole-2-carboxylique (DHICA).
En général les deux voies existent simultanément. Si le mélange est riche en DHI, la mélanine est noire, s’il est riche en DHICA, elle est brune.
- Deux chemins possibles vers la phéomélanine :
- dopaquinone + cystéine → 5-S-cystéinyldopa → benzothiazine → phéomélanine ;
- dopaquinone + cystéine → 2-S-cystéinyldopa → précurseur de benzothiazine → phéomélanine.
Chez l'homme, sous l’effet des UV, les kératinocytes sécrètent l’hormone alpha-MSH par scission de la Proopiomélanocortine (POMC), grâce à l'action d’une protéine appelée p53. L’alpha-MSH s’attache aux mélanocytes et stimule la production de mélanine. La protéine p53 étant également produite en cas de stress, cela pourrait expliquer l’hyperpigmentation qui apparaît parfois, particulièrement chez les personnes âgées, en cas d’irritation prolongée de la peau[3].
C'est au niveau de la régulation de l'activité de la tyrosinase qu'interviennent les produits dépigmentants comme l’hydroquinone et l'acide kojique. D’autres, comme les antioxydants (acide ascorbique par exemple), interviennent au niveau des quinones formées. Toute mutation génétique rendant la tyrosinase moins active ou absente est à l'origine de l'albinisme, trouble qui se traduit sous sa forme extrême par l'absence totale de mélanine.
Il a été proposé que la capacité de la mélanine à se comporter comme un anti-oxydant serait d’autant plus forte que son poids moléculaire est élevé[4].
Des conditions défavorables à la polymérisation (certains ph, présence de toxiques…) libéreraient des radicaux libres et rendraient la mélanine cancérigène ou destructrice, favorisant la formation des mélanomes ou de la dégénérescence maculaire[5].
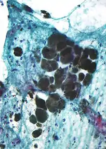
Aspect au microscope
Au microscope, la mélanine doit être distinguée des pigments produits par la destruction des hématies (hémosidérine).
Elle apparaît sous forme de granules bruns non-réfractiles de moins de 800 nm, alors que les granules de pigments sanguins sont plus gros, réfractiles et verts, jaunes ou brun-rouge.
Une solution diluée de permanganate de potassium fait disparaître la mélanine.
Chez l'humain

On trouve la mélanine dans la peau, les cheveux et poils, l’épithélium pigmentaire de l’iris, la surrénale, la strie vasculaire de l’oreille interne, le cerveau (corps strié et substance noire). À l’exception du cerveau, elle est contenue dans des organites intracellulaires de forme ronde ou allongée appelés mélanosomes, produits par les mélanocytes.
C'est la mélanine qui nous fait bronzer, protégeant ainsi l'ADN des cellules de la peau des rayons ultraviolets (surtout UVB) du soleil. La mélanine agit en les absorbant et en restituant sous forme de chaleur l'énergie reçue. L'eumélanine est beaucoup plus efficace dans ce rôle que la phéomélanine qui protège très peu, et se décompose facilement sous l'effet des UV, libérant des radicaux libres cancérigènes ; c'est pour cette raison que les personnes rousses sont plus fragiles que les brunes. Les blonds, et a fortiori les albinos sont également vulnérables face au soleil. Mais même pour les peaux mates ou foncées, la protection offerte par la mélanine est loin d'être totale, et des dégradations trop importantes de l'ADN peuvent entraîner la cancérisation des cellules de la peau.
Les crèmes autobronzantes colorent la couche cornée de la peau mais n'ont rien à voir avec la mélanine ; elles ne protègent d'ailleurs pas contre les UV solaires[6].
La mélanine est présente en quantité proportionnelle à l'intensité de la couleur. Ainsi une personne à la peau mate en fabrique beaucoup plus qu'une personne à la peau claire, un iris brun en contient plus qu'un iris bleu, une chevelure brune plus qu’une chevelure blonde. Les albinos peuvent ne pas en produire du tout. La quantité de mélanine produite par une personne détermine son phototype.
Ce sont les gènes qui gouvernent sa production, dont les proportions respectives d'eumélanine et de phéomélanine. Sous l’effet des UV, les kératinocytes sécrètent l’hormone alpha-MSH par scission de la pro-opiomélanocortine (POMC), grâce à l'action d’une protéine appelée P53. L’alpha MSH s’attache aux mélanocytes et stimule la production de mélanine. P53 étant également une protéine produite en cas de stress, cela pourrait expliquer l’hyperpigmentation qui apparait parfois, particulièrement chez les personnes âgées, en cas d’irritation prolongée de la peau. La mélatonine joue aussi un rôle dans le bronzage en augmentant la concentration en mélanine des mélanosomes.
Par ailleurs, la formation d’alpha-MSH à partir de POMC produisant de l’endorphine b supposée contribuer à un sentiment de bien-être, serait un argument pour une exposition solaire, du moins de manière modérée. L’ensemble des processus favoriserait la protection contre les cancers cutanés. En effet, si une exposition au soleil trop longue ou trop brutale est dangereuse, une exposition modérée et régulière peut au contraire constituer une protection, sauf chez les personnes dépourvues de la capacité de bronzer.
L'apparition de cheveux blancs (canitie) provient d'un arrêt de production de mélanine au niveau de leur bulbe. Si l'on n'en connaît pas encore très bien le mécanisme, on sait du moins qu’il est héréditaire (si les parents ont eu les cheveux blancs tôt, alors les enfants auront plus de chance d'avoir aussi des cheveux blancs tôt) et lié à l'âge (plus on est vieux, plus on a de cheveux blancs).
Les éphélides et les taches de vieillesse contiennent des mélanocytes élargis qui produisent localement plus de mélanosomes que la peau avoisinante, d'où leur teinte plus foncée. Les grains de beauté sont des concentrations locales de mélanocytes.
C'est la mélanine présente dans les poils qui permet de réaliser des épilations laser.
Les effets de la mélanine sur l'apparence physique peuvent exercer une grande influence sur la société humaine (choix d’un partenaire, discrimination).
Chez les animaux et les êtres humains

La couleur blanche ou noire des animaux ou des humains s'explique par la concentration de mélanine dans le plumage ou le pelage.
Le mélanisme est beaucoup plus rare que l'albinisme chez les êtres troglodytes.
L'absence de mélanine donnera un animal ou être humain blanc ou jaunâtre (présence d'autres pigments) aux yeux rouges (albinos). Au contraire, une concentration suffisante en mélanine donnera un être humain ou animal au plumage ou au pelage noir (mélanistique), comme dans le cas de la mutation nigripennis du paon bleu (paon nigripenne) ou de la panthère noire[7].
La non-migration de ce pigment dans les plumes ou les poils donnera un animal blanc à la peau, aux yeux et aux pattes normalement colorés comme dans le cas de la mutation alba du paon bleu (paon blanc) et celui du cheval gris. La non-migration des mélanocytes dans la peau ou leur apoptose prématurée donne des animaux leucistiques, tout blancs, partiellement colorés, comme le tigre blanc, ou pie. Une tyrosinase déficiente, incapable de fonctionner à la température corporelle normale, donne le phénotype colourpoint.
Mélanine synthétique et production de pigments biocompatibles
Les chercheurs ont réussi à produire de la mélanine synthétique et à l'associer à de la silice puis à l’agréger en grains microscopiques[8].
En contrôlant l'épaisseur de la silice et la taille et l'agencement des grains, on obtient des colorants en poudre inaltérables face aux UV et produisant des « couleurs structurelles » (iridescentes, induites par la manière est renvoyée par certaines microstructures)[8].
Notes et références
- Butler M.J & Day A.W (1998) Fungal melanins: a review. Canadian Journal of Microbiology, 44(12), 1115-1136.
- J.D. Simon et al.Pigment Cell Research, 2004, 17: 262-269
- David E. Fisher et al. Cell 9 mars 2007 ; lire en ligne dans Science daily du 11 mars 2007
- Ophthalmic research, 2005, 37: 136-141 Melanin aggregation and polymerization: possible implications in âge related macular degeneration
- Clinical Cancer Res. 2004; 10: 2581-2583 Etiologic pathogenesis of melanoma: a unifying hypothesis for the missing attributable risk ; Pigment cell Res. 2001; volume 14: pages 148-154. Redox regulation in human melanocytes and melanoma
- LECERF, J. M. (2012). Un autobronzant n'exonère pas de l'absolue nécessité d'une protection solaire. Concours médical, 134(10).
- Isidore Geoffroy Saint-Hilaire, Histoire générale et particulière des anomalies de l'organisation chez l'homme et les animaux : ouvrage comprenant des recherches sur les caractères, la classification, l'influence physiologique et pathologique, les rapports généraux, les lois et les causes des monstruosités, Établissement encyclographique, , 109-111 p. (lire en ligne)
- Wagner Andrew (2017) New dyes that don’t fade are made of the same molecule that colors your skin 15 septembre 2017 |Doi:10.1126/science.aap9753
Voir aussi
Articles connexes
Liens externes
- Ressources relatives à la santé :
- Notices dans des dictionnaires ou encyclopédies généralistes :
- Portail de la biologie cellulaire et moléculaire
- Portail de la chimie
- Portail des couleurs