Mégacaryocyte
Un mégacaryocyte est une cellule géante (d'environ 50 à 100 µm de diamètre) de la moelle hématopoïétique responsable de la production des plaquettes sanguines (ou thrombocytes) lorsque son cytoplasme se fragmente en milliers de plaquettes sanguines (thrombopoïèse, en 4 à 5 jours).

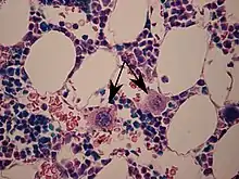
Deux mégacaryoctes (flèches) sont visibles sur cette lame de moelle osseuse
Les plaquettes ont en général un diamètre de 2 à 5 µm.
Le noyau du mégacaryocyte est plurilobé et polyploïde, résultant de nombreuses endomitoses.
Le mégacaryocyte est issu du mégacaryoblaste. On distingue trois phases dans son évolution : mégacaryocyte basophile, puis granuleux, et enfin thrombocytogène.
- Portail de la médecine
- Portail de l’hématologie
Cet article est issu de Wikipedia. Le texte est sous licence Creative Commons – Attribution – Partage à l’identique. Des conditions supplémentaires peuvent s’appliquer aux fichiers multimédias.