Leucoencéphalite
Le terme Leucoencéphalite désigne toute affection cérébrale caractérisée anatomiquement par des lésions inflammatoires prédominant au niveau de la substance blanche des hémisphères cérébraux, et dont l'origine est exogène (par opposition à la leucodystrophie, dans laquelle le processus est d'origine endogène).

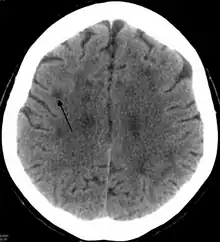
Scanner montrant une leucoencéphalopathie probablement due à une ischémie des petits vaisseaux. La flèche n'indique qu'une zone parmi d'autres.
    Cet article est issu de Wikipedia. Le texte est sous licence Creative Commons – Attribution – Partage à l’identique. Des conditions supplémentaires peuvent s’appliquer aux fichiers multimédias.
