Jonction dermo-épidermique
La jonction dermo-épidermique, appelée aussi lame basale épidermique ou membrane basale épidermique, est la région tissulaire qui sépare le derme de l'épiderme.

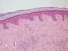
Jonction dermo-épidermique sous le stratum basale violet foncé.
Structure
La microscopie électronique révèle trois zones distinctes dans la jonction dermo-épidermique[1] :
- la membrane plasmique du pôle basal des cellules du stratum basale
- la membrane basale composée de deux feuillets, la lamina lucida (zone transparente aux électrons) et la lamina densa (zone dense aux électrons)
- la zone fibrillaire ou sub-lamina densa
Fonctions
La jonction dermo-épidermique a une fonction d'adhésion entre l'épiderme et le derme, de barrière physico-chimique, de circulation orientée de nutriments et de composants du système immunitaire[2].
Maladies
Les dermatoses bulleuses de nature auto-immune (nécrolyse épidermique toxique, syndrome de Stevens-Johnson) sont liées à la présence d'anticorps dirigés contre les structures antigéniques des systèmes d'adhésion interkératinocytaire ou de la jonction dermo-épidermique[3].
Notes et références
- Alexandre Mélissopoulos, Christine Levacher, La peau, Lavoisier, , p. 53
- (en) Dirk Breitkreutz, Nicolae Mirancea, Roswitha Nischt, « Basement membranes in skin: unique matrix structures with diverse functions? », Histochemistry and Cell Biology, vol. 132, no 1, , p. 1-10. (PMID 19333614, DOI 10.1007/s00418-009-0586-0)
- Pascal Sève, Laurent Kodjikian, Œil et Maladies systémiques, Lavoisier, , p. 471
Voir aussi
Articles connexes
Liens externes
- Portail de l’anatomie
- Portail de la biologie cellulaire et moléculaire
- Portail de la médecine
Cet article est issu de Wikipedia. Le texte est sous licence Creative Commons – Attribution – Partage à l’identique. Des conditions supplémentaires peuvent s’appliquer aux fichiers multimédias.