Hyperplasie de l'endomètre
L'hyperplasie endométriale est une prolifération bénigne de l'endomètre dans l'utérus. L'hyperplasie endométriale est classée en fonction de sa cytologie et du tissu glandulaire. Elle peut être simple, complexe et atypique, avec un risque croissant d'évolution vers un cancer de l'endomètre.

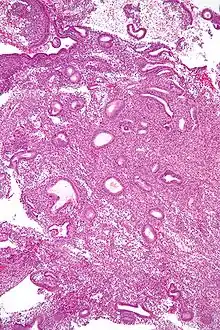
Biopsie endométriale révélant une hyperplasie simple.
Types
- Hyperplasie endométriale simple (hyperplasie simple de l'endomètre)
- Hyperplasie endométriale complexe
- Hyperplasie endométriale atypique
Causes
La cause de l'hyperplasie endométriale est la production excessive d'oestrogènes. On trouve une relation entre cette hyperoestrogènie et l'insuffisance lutéale, notamment durant la préménopause.
Voir aussi
Articles connexes
Références
- Portail de la médecine
Cet article est issu de Wikipedia. Le texte est sous licence Creative Commons – Attribution – Partage à l’identique. Des conditions supplémentaires peuvent s’appliquer aux fichiers multimédias.