Granule (biologie)
En biologie cellulaire, un granule est un élément ou une inclusion de certaines cellules, d'allure sphérique ou évoquant la forme d'un grain. Il s'agit assez souvent de vésicules de sécrétion, mais leur origine et leur nature peuvent être tout autre.

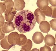
Un groupe de leucocytes (globules blancs du sang) appelés granulocytes sont caractérisés par leurs granules qui jouent un rôle important dans le système immunitaire. Les granules de certains d'entre eux, par exemple les lymphocytes NK, contiennent des substances susceptibles de conduire à la lyse des cellules environnantes. Les granules des leucocytes sont libérés en réponse à des stimuli immunologiques au cours d'un processus appelé dégranulation ; ils sont classés en granules azurophiles (en) et granules spécifiques (en).
Les granules des thrombocytes (plaquettes sanguines) sont classés en granules denses (en), ou granules δ, et en granules α (en).
En référence aux travaux d'André et Rouillé en 1956[1], on parle de « nuage » pour désigner la structure périnucléaire à forte densité électronique des cellules germinales de Drosophila melanogaster, constituée de granules diffus contenant divers types de protéine.
Au cours de la photosynthèse, les plantes utilisent l'énergie lumineuse pour réaliser la fixation du carbone en produisant des glucides, stockés principalement sous forme de granules d'amidon dans les plastes, notamment les chloroplastes et les amyloplastes.
Notes et références
- J. André et C. H. Rouiller, « L'ultrastructure de la membrane nucléaire des ovocytes de l'araignée (Tegenaria domestica Clark) », Proc. European Conf. Electron Microscopy, Stockholm, Acad. Press, New York, , p. 162-164
- Portail de la biologie cellulaire et moléculaire