Glande sébacée
La glande sébacée est une glande exocrine cutanée s'abouchant dans un follicule pileux et sécrétant un substance grasse appelée sébum, lubrifiant les poil et la peau des mammifères[1],[2]. Chez les humains, les glandes sébacés sont présentes en grand nombre au niveau du visage, du cuir chevelu mais sont absentes au niveau du revêtement cutané palmoplantaire. Elles ont un rôle dans la barrière cutanée immunitaire et dans la thermorégulation. Les grains de Fordyce, glandes aréolaires et glandes de Meibomius sont des types de glandes sébacés particuliers.
Structure
Localisation
Les glandes sébacées sont retrouvées sur l'ensemble des téguments, à part au niveau des paumes et des plantes[3]. On peut différenciés les glandes sébacées en deux groupes: celles s'abouchant à un poil et les indépendantes[4].
Les glandes sébacées des zones pilleuses s'abouchent aux follicules pileux. Plusieurs glandes peuvent être connectés à un même poil, lui même relié aux muscles arrecteurs du poil, l'ensemble formant une annexe pilo-sébacée. Les glandes produisent du sébum et le sécrètent dans le canal pilaire.
Les glandes sébacés indépendantes sont retrouvés au niveau du bord conjonctival des paupières, du nez, du pénis, des petites lèvres, de la cavité orale et des aréoles mammaires[4]. Certaines possèdent un nom spécial, comme les glandes de Meiobius au niveau du bord conjonctival des paupières, les glandes de Montgomery au niveau du mamelon ou encore les grains de Fordyce au niveau des lèvres, gencives, joues et les organes génitaux externes,
Histologie
Les glandes sébacés ont une architecture acinaire (comme une grappe de raisin) et n'ont pas de lumières propre. Elles sont composés de sébocytes matures, dont la sécrétion est le résultat de leur mort par apoptose, ce qui revient à une sécrétion holocrine. Le remplacement des cellules est assuré par les cellules de la matrice reposant sur la membrane basale[5].L'annexe pilo-sébacée constituée du follicule pileux, des glandes sébacés et des muscles arrecteurs du poils, résulte d'une invagination épithéliale[4].
Annexe pilosébacée avec glandes sébacés s'abouchant à un follicule pileux.
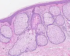
Multiples glandes sébacés volumineuses réalisant une hyperplasie sébacée.
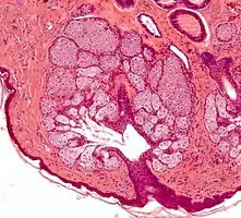
Multiples glandes sébacés s'abouchant à un follicule pileux.
Embryologie
Les glandes sébacés apparaissent entre la 13ème et la 16ème semaine de développement fœtal, lors de l'apparition des follicules pileux[6]. Elles se développent à partir du même feuillet donnat naissance à l'épiderme. Une surexpression des facteurs de signalisation Wnt, Myc et SHH augmente le nombre de glande sébacée[7].
Les glandes sébacés des fœtus humains secrètent une substance appelée le vernix se présentant comme une pellicule grasse blanchâtre enveloppant la peau des nouveau-nés[8].Après la naissance, l'activité des glandes diminue jusqu'à devenir presque nulle vers 6 ans, puis un pic intervient durant la puberté, causé par une augmentation du taux d'androgènes[6].
Fonction
Les glandes sébacés sont composés de grandes cellules aux nombreuses vésicules intracytoplasmiques nommés sébocytes. Elles sont porteuse des canaux ioniques Na+ et Cl− EnaC et CFTR[9]. Elles secrètent la substance grasse appelé sébum (Latin: gras, suif) composé de triglycérides, cérides, squalènes, et métabolites des sébocytes. Le sébum lubrifie le revêtement cutané et les poils des mammifères. La sécrétion des glandes sébacées associée à celles des glandes sudoripares participe à la thermorégulation. Dans des conditions chaudes le sébum émulsifie la sueur produite par les glandes sudoripares eccrines produisant une pellicule qui se transforme moins facilement en goutte, retardant la déshydratation. Dans des conditions froides, le sébum est plus compact, agissant comme isolant et substance hydrophobe[10],[11].
Sébum
Le sébum est secrété par les glandes sudoripares. Il est principalement composé de triglycérides (≈41%), cérides (≈26%), squalènes (≈12%), et acides gras libres (≈16%)[12],[13]. La composition du sébum varie en fonction des espèces[13]. Les cérides et squalènes sont uniques au sébum et ne sont pas secrétés en tant que produits finaux autre part chez l'humain[7]. L'acide sapiénique et un acide gras composant du sébum retrouvé uniquement chez l'humain, impliqué dans l'acné[14]. Le sébum est inodore, mais sa dégradation par la flore bactérienne peut produire une odeur forte[15].
Les hormones sexuelles sont connues pour influer sur la sécrétion de sébum. Les androgènes tels que la testostérone stimulent la sécrétion alors que les œstrogènes l'inhibent[16]. La dihydrotestostérone est le principal androgène actif sur les follicules pileux[17].
Fonction immunitaire et nutrition
Les glandes sébacés font partis du système tégumentaire et jouent un rôle dans la défense contre les micro-organismes. elles sécrètent des acides participant au film cutané. C'est une fine pellicule acide recouvrant l'intégralité de la peau agissant comme une barrière contre les microbes qui pourraient franchir la peau[18]. Le Ph cutané est acide et se situe entre 4,5 et 6,2[19]. Cette acidité aidant à neutraliser l'alcalinité des contaminants[10],[20],[21] et à fournir de la vitamine E à la peau[22].
Glandes sébacées particulières
Durant le dernier trimestre de gestation les glandes sébacés des fœtus humains secrètent une substance appelée le vernix se présentant comme une pellicule grasse blanchâtre enveloppant la peau pour se protéger du lliquide amniotique[23].
Les glandes aréolaires sont un type de glandes sébacés présent autour du mamelon, servant à le lubrifier. Elles sécrètent également des composés volatiles qui serviraient de stimulus olfactifs pour les nouveaux-nés. Durant la grossesse et la lactation ces glandes, également appelées glandes de Montgomery, sont hypertrophiées[24].
Au niveau des yeux, les glandes de Meiobius sont un type de glandes sébacés sécrétant une sorte de sébum, le meibum, corps gras principalement composé de triglycérides se mêlant aux larmes afin d'éviter l'évaporation de l'eau des larmes[25]. Elles servent aussi à créer un joint hermétique lors de la fermeture des yeux, et à éviter que les paupières ne collent entre elles. Elles sont au nombre de 30 à 40 par paupière, orientées perpendiculairement au bord libre protégé par les cils. Leurs orifices, visibles, sont alignés sur ce bord.
Les grains de Fordyces sont des glandes sébacés ectopiques indépendantes visibles à l'œil nu, présents sur les lèvres, gencives, joues et les organes génitaux externes.
Le cérumen est partiellement composé du sébum des glandes sébacés du conduit auditif externe. Cette sécrétion est visqueuse et riche en lipide, ce qui produit une bonne lubrification[26].
Implications médicales

les glandes sébacés ont un rôle dans certains problèmes cutanées comme l'acné, la dermatite séborrhéique ou encore la kératose pilaire. Dans les pores cutanés, le sébum et les débris de kératines peuvent s'impacter et créer un bouchon appelé comédon.
Acné
L'acné est une manifestation courante, particulièrement pendant la puberté chez les adolescents, et est considérée comme étant liée à une production accrue de sébum due à des facteurs hormonaux. La production accrue de sébum peut entraîner un blocage du conduit excréteur de la glande sébacée, provoquant un comédon (communément appelé point noir ou point blanc), qui peut entraîner une infection, notamment par la bactérie Cutibacterium acnes et provoquer les lésions d'acné caractéristiques. Les comédons surviennent généralement dans les zones où il y a plus de glandes sébacées, en particulier le visage, les épaules, le haut de la poitrine et le dos. Les comédons peuvent être noirs ou blancs selon que l'annexe pilosébacé complet, ou seulement le conduit sébacé, est bloqué[27].
Autres
D'autres affections impliquant les glandes sébacées comprennent :
- La séborrhée fait référence aux glandes sébacées suractives, une cause de peau ou de cheveux gras[7].
- L'hyperplasie sébacée (voir Sebaceous hyperplasia (en)), se référant à une prolifération excessive des cellules dans les glandes, et visible macroscopiquement sous forme de petites papules sur la peau, particulièrement sur le front, le nez et les joues[28].
- La dermatite séborrhéique, une forme chronique et généralement légère de dermatite causée en partie par une hyperactivité des glandes sébacées[29]. Chez les nouveau-nés, la dermatite séborrhéique peut se manifester sous forme de croûtes de lait.
- Le psoriasis séborrhéique (également connu sous le nom de sébopsoriasis) est une affection cutanée caractérisée par un chevauchement entre le psoriasis et la dermatite séborrhéique[3].
- L'adénome sébacé (voir Sebaceous adenoma (en)), une tumeur bénigne à croissance lente qui peut, cependant, dans de rares cas, être un précurseur d'un syndrome syndrome de Muir-Torre[7].
- Le carcinome sébacé (voir Sebaceous carcinoma (en)), une tumeur cutanée rare et agressive[30].
- Le kyste sébacé est un terme utilisé pour désigner à la fois un kyste épidermoïde et un kyste trichilémale, bien que ni l'un ni l'autre ne contienne de sébum, seulement de la kératine et ne provienne pas de la glande sébacée, et ne soit donc pas de véritables kystes sébacés. Un vrai kyste sébacé est relativement rare et est connu sous le nom de stéatocystome[31].
- Le nævus sébacé, causée par une hyperplasie des glandes sébacées congénitale[32].
- La rosacée phymateuse est une affection cutanée caractérisée par une surcroissance des glandes sébacées[33].
Histoire
Le mot anglais sebaceous, signifiant « composé de sébum », a été utilisé pour la première fois en 1728 et provient du latin signifiant graisse, suif[34]. Les glandes sébacées ont été documentées depuis au moins 1746 par Jean Astruc, qui les a définies comme "...les glandes qui séparent la graisse"[35]. Il les décrit dans la cavité buccale et sur la tête, les paupières et les oreilles, comme étant « universellement » reconnues[35]. Astruc décrit qu'elles sont bloquées par de petits animaux qui résident dans les canaux excréteurs et attribue leur présence dans la cavité buccale aux ulcères aphteux, notant que « ces glandes sécrètent naturellement un humour visqueux, qui prend différentes couleurs et consistances... dans son état naturel, il est très doux, baume et destiné à humidifier et lubrifier la bouche»[35]. Dans les Principes de physiologie de 1834, Andrew Combe a noté que les glandes n'étaient pas présentes dans la paume des mains ou la plante des pieds[36].
Autres animaux
Les glandes prépuciales des souris et des rats sont de grandes glandes sébacées modifiées qui produisent des phéromones utilisées pour le marquage territorial[7]. Celles-ci, ainsi que les glandes odoriférantes situées sur les flancs des hamsters, ont une composition similaire à celle des glandes sébacées humaines, sont sensibles aux androgènes et ont été utilisées comme base d'étude[7]. Certaines espèces de chauves-souris, notamment Tadarida brasiliensis, possèdent une glande sébacée spécialisée située dans la gorge appelée glande gulaire[37]. Cette glande est plus fréquente chez les mâles que chez les femelles, et il est probable que les sécrétions de la glande soient utilisées pour le marquage odorant.
L'adénite sébacée est une maladie auto-immune qui affecte les glandes sébacées. Elle est principalement connue pour survenir chez les chiens, en particulier les caniches et les akitas, où elle est généralement considérée comme héritée de manière autosomique récessive.
Notes et références
- (en) « Hair follicle sebaceous gland: MedlinePlus Medical Encyclopedia Image », sur medlineplus.gov (consulté le )
- (en) Marianna Lovászi, Andrea Szegedi, Christos C. Zouboulis et Dániel Törőcsik, « Sebaceous-immunobiology is orchestrated by sebum lipids », Dermato-Endocrinology, vol. 9, no 1, , e1375636 (ISSN 1938-1980, PMID 29484100, PMCID PMC5821166, DOI 10.1080/19381980.2017.1375636, lire en ligne, consulté le )
- William D. James, Timothy G. Berger, Dirk M. Elston et Richard B. Odom, Andrews' diseases of the skin: clinical dermatology, Saunders Elsevier, (ISBN 978-0-7216-2921-6 et 978-0-8089-2351-0, OCLC ocm62736861, lire en ligne)
- Wheater's functional histology: a text and colour atlas, Churchill Livingstone/Elsevier, (ISBN 978-0-443-06850-8)
- Wolfgang Kühnel et Dominique Duval, Atlas de poche d'histologie, Lavoisier Médecine-sciences, coll. « Atlas de poche », (ISBN 978-2-257-20623-7)
- Diane Thiboutot, « Regulation of Human Sebaceous Glands », Journal of Investigative Dermatology, vol. 123, no 1, , p. 1–12 (ISSN 0022-202X, DOI 10.1111/j.1523-1747.2004.t01-2-.x, lire en ligne, consulté le )
- K.R. Smith et D.M. Thiboutot, « Thematic review series: Skin Lipids. Sebaceous gland lipids: friend or foe? », Journal of Lipid Research, vol. 49, no 2, , p. 271–281 (ISSN 0022-2275, DOI 10.1194/jlr.r700015-jlr200, lire en ligne, consulté le )
- (en) A. J. Thody et S. Shuster, « Control and function of sebaceous glands », Physiological Reviews, vol. 69, no 2, , p. 383–416 (ISSN 0031-9333 et 1522-1210, DOI 10.1152/physrev.1989.69.2.383, lire en ligne, consulté le )
- (en) Israel Hanukoglu, Vijay R. Boggula, Hananya Vaknine et Sachin Sharma, « Expression of epithelial sodium channel (ENaC) and CFTR in the human epidermis and epidermal appendages », Histochemistry and Cell Biology, vol. 147, no 6, , p. 733–748 (ISSN 1432-119X, DOI 10.1007/s00418-016-1535-3, lire en ligne, consulté le )
- Christos C. Zouboulis, « Acne and sebaceous gland function », Clinics in Dermatology, vol. 22, no 5, , p. 360–366 (ISSN 0738-081X, DOI 10.1016/j.clindermatol.2004.03.004, lire en ligne, consulté le )
- (en) Alan M W Porter, « Why do we have Apocrine and Sebaceous Glands? », Journal of the Royal Society of Medicine, vol. 94, no 5, , p. 236–237 (ISSN 0141-0768 et 1758-1095, PMID 11385091, PMCID PMC1281456, DOI 10.1177/014107680109400509, lire en ligne, consulté le )
- (en) A. J. Thody et S. Shuster, « Control and function of sebaceous glands », Physiological Reviews, vol. 69, no 2, , p. 383–416 (ISSN 0031-9333 et 1522-1210, DOI 10.1152/physrev.1989.69.2.383, lire en ligne, consulté le )
- Jeffrey B. Cheng et David W. Russell, « Mammalian Wax Biosynthesis », Journal of Biological Chemistry, vol. 279, no 36, , p. 37798–37807 (ISSN 0021-9258, PMID 15220349, PMCID PMC2743083, DOI 10.1074/jbc.m406226200, lire en ligne, consulté le )
- Acne and its therapy, vol. 40, Informa Healthcare, coll. « Basic and clinical dermatology », (ISBN 978-0-8247-2971-4, OCLC ocm82673663), p. 311
- Zoe Diana Draelos, Hair care: an illustrated dermatologic handbook, Taylor & Francis, (ISBN 978-1-84184-194-6)
- Thomas M. Sweeney, Robert J. Szarnicki, John S. Strauss et Peter E. Pochi, « The Effect of Estrogen and Androgen on the Sebaceous Gland Turnover Time », Journal of Investigative Dermatology, vol. 53, no 1, , p. 8–10 (ISSN 0022-202X, DOI 10.1038/jid.1969.100, lire en ligne, consulté le )
- (en) John K. Amory, Bradley D. Anawalt, Alvin M. Matsumoto et Stephanie T. Page, « The Effect of 5α-Reductase Inhibition With Dutasteride and Finasteride on Bone Mineral Density, Serum Lipoproteins, Hemoglobin, Prostate Specific Antigen and Sexual Function in Healthy Young Men », Journal of Urology, vol. 179, no 6, , p. 2333–2338 (ISSN 0022-5347 et 1527-3792, PMID 18423697, PMCID PMC2684818, DOI 10.1016/j.juro.2008.01.145, lire en ligne, consulté le )
- Monika-Hildegard Schmid-Wendtner et Hans Christian Korting, pH and skin care, ABW, Wissenschaftsverlag, (ISBN 978-3-936072-64-8)
- (en) A. Zlotogorski, « Distribution of skin surface pH on the forehead and cheek of adults », Archives of Dermatological Research, vol. 279, no 6, , p. 398–401 (ISSN 1432-069X, DOI 10.1007/BF00412626, lire en ligne, consulté le )
- Sang Woong Youn, « The role of facial sebum secretion in acne pathogenesis: facts and controversies », Clinics in Dermatology, vol. 28, no 1, , p. 8–11 (ISSN 0738-081X, DOI 10.1016/j.clindermatol.2009.03.011, lire en ligne, consulté le )
- David R. Drake, Kim A. Brogden, Deborah V. Dawson et Philip W. Wertz, « Thematic Review Series: Skin Lipids. Antimicrobial lipids at the skin surface », Journal of Lipid Research, vol. 49, no 1, , p. 4–11 (ISSN 0022-2275, DOI 10.1194/jlr.r700016-jlr200, lire en ligne, consulté le )
- Lester Packer, Stefan U. Weber et Jens J. Thiele, « Sebaceous Gland Secretion is a Major Physiologic Route of Vitamin E Delivery to Skin », Journal of Investigative Dermatology, vol. 113, no 6, , p. 1006–1010 (ISSN 0022-202X, DOI 10.1046/j.1523-1747.1999.00794.x, lire en ligne, consulté le )
- (en) Christos C. Zouboulis, Jens Malte Baron, Markus Böhm et Stefan Kippenberger, « Frontiers in sebaceous gland biology and pathology », Experimental Dermatology, vol. 17, no 6, , p. 542–551 (ISSN 0906-6705 et 1600-0625, DOI 10.1111/j.1600-0625.2008.00725.x, lire en ligne, consulté le )
- (en) Sébastien Doucet, Robert Soussignan, Paul Sagot et Benoist Schaal, « The Secretion of Areolar (Montgomery's) Glands from Lactating Women Elicits Selective, Unconditional Responses in Neonates », PLOS ONE, vol. 4, no 10, , e7579 (ISSN 1932-6203, PMID 19851461, PMCID PMC2761488, DOI 10.1371/journal.pone.0007579, lire en ligne, consulté le )
- James P. McCulley et Ward E. Shine, « The lipid layer of tears: dependent on meibomian gland function », Experimental Eye Research, vol. 78, no 3, , p. 361–365 (ISSN 0014-4835, DOI 10.1016/s0014-4835(03)00203-3, lire en ligne, consulté le )
- R. J. Roeser et B. B. Ballachanda, « Physiology, pathophysiology, and anthropology/epidemiology of human earcanal secretions », Journal of the American Academy of Audiology, vol. 8, no 6, , p. 391–400 (ISSN 1050-0545, PMID 9433685, lire en ligne, consulté le )
- Davidson's principles and practice of medicine, Churchill Livingstone/Elsevier, (ISBN 978-0-7020-3085-7)
- William D. James, Timothy G. Berger, Dirk M. Elston et Richard B. Odom, Andrews' diseases of the skin: clinical dermatology, Saunders Elsevier, (ISBN 978-0-7216-2921-6 et 978-0-8089-2351-0, OCLC ocm62736861)
- Clio Dessinioti et Andreas Katsambas, « Seborrheic dermatitis: Etiology, risk factors, and treatments: », Clinics in Dermatology, vol. 31, no 4, , p. 343–351 (ISSN 0738-081X, DOI 10.1016/j.clindermatol.2013.01.001, lire en ligne, consulté le )
- Bruce R Nelson, K.Renee Hamlet, Montgomery Gillard et Divya Railan, « Sebaceous carcinoma », Journal of the American Academy of Dermatology, vol. 33, no 1, , p. 1–15 (ISSN 0190-9622, DOI 10.1016/0190-9622(95)90001-2, lire en ligne, consulté le )
- Oral & maxillofacial pathology, Saunders, (ISBN 978-0-7216-9003-2)
- (en) Olympia Kovich et Elizabeth K. Hale, « Nevus sebaceus », Dermatology Online Journal, vol. 11, no 4, (DOI 10.5070/D33bq5524c, lire en ligne, consulté le )
- Dermatology. 1, Mosby Elsevier, (ISBN 978-1-4160-2999-1)
- (en) « sebaceous | Etymology of sebaceous by etymonline », sur www.etymonline.com (consulté le )
- Jean Oxford University et Pre-1801 Imprint Collection (Library of Congress) DLC, A general and compleat treatise on all the diseases incident to children, from their birth to the age of fifteen .., London, Printed for J. Nourse, (lire en ligne)
- E.T. Renbourn, « The History of Sweat and Prickly Heat, 19th–20th Century11From the Directorate of Physiological and Biological Research, Ministry of Supply, Farnborough, Hants, England. », Journal of Investigative Dermatology, vol. 30, no 5, , p. 249–259 (ISSN 0022-202X, DOI 10.1038/jid.1958.50, lire en ligne, consulté le )
- (en) Mercedes Gutierrez et Agustin Aoki, « Fine structure of the gular gland of the free‐tailed bat Tadarida brasiliensis », Journal of Morphology, vol. 141, no 3, , p. 293–305 (ISSN 0362-2525 et 1097-4687, DOI 10.1002/jmor.1051410305, lire en ligne, consulté le )
Articles connexes
Liens externes
- Notices dans des dictionnaires ou encyclopédies généralistes :
- Ressources relatives à la santé :
- Portail de l’anatomie
- Portail de la médecine
- Portail de la physiologie