Glande rétrogonoporale
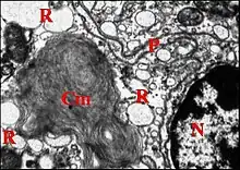
La glande rétrogonoporale de certaines Araignées est située dans l'abdomen ou opisthosoma, en arrière de l'orifice génital chez la femelle de Leptyphantes sanctibenedicti ou Pseudomaro aenigmaticus (Linyphiidae). Elle ne doit pas être confondue avec la glande rétrognathocoxale (Fig. ci-contre : Rg), l'une des glandes segmentaires, qui elle, est située dans le céphalothorax ou prosoma, en arrière de la gnathocoxe ou lame maxillaire (Fig.ci-contre : Gn), à proximité de la glande coxale proprement dite (Fig.ci-contre : Cx)

Introduction
On sait que les femelles d’Araignées attirent leurs mâles par des phéromones de contact, déposées ou non sur le substrat, et par des phéromones volatiles agissant à distance. Ces sémiochimiques facilitent le rapprochement des sexes dans les manœuvres préliminaires à la copulation[1].
Leur production a été d’abord attribuée au « tégument » des femelles, sans préjuger s’il comporte ou non des zones sécrétrices privilégiées.
Des études histologiques ultérieures[2] ont permis d’évoquer la région génitale où certaines des glandes montrent des indices structuraux d’une sécrétion phéromonale : adénocytes volumineux, à gros noyau clair, pourvus d’un « réservoir » acidophile intra-cytoplasmique et d’un canalicule excréteur qu’entoure sa cellule « satellite ». Ces glandes siègent dans l’épiderme de l’atrium génital, de l’épigyne et surtout, dans celui des deux lèvres du sillon (fente) épigastrique ou génital , en particulier chez les femelles d’Entélégynes : Oecobiidae, Thomisidae, Agelenidae, Lycosidae, Uloboridae, Araneidae (Kovoor,1981) et Linyphiidae[3]. Elles y sont généralement dispersées sans ordre apparent.

Toutefois A. Lopez (1979b) a découvert chez une espèce de la dernière famille Leptyphantes sanctivincentii baptisée depuis, et l'on ne sait trop pourquoi, Pseudomaro aenigmaticus , que les glandes présumées phéromonales peuvent se grouper en un véritable organe bien individualisé dans la lèvre postérieure du sillon épigastrique, donc de l’orifice génital, et qu'il a ainsi qualifié de "post-gonoporal". Son matériel d'étude, Leptyphantes sanctivincentii (Simon) (Linyphiidae), des deux sexes (Fig.1), provenait de la grotte de Cailhol ( Minervois : Ouest de l’ Hérault, Occitanie) et examiné par coupes histologiques (C.H.) ainsi qu'aux microscopes électroniques à balayage (M.E.B) et par transmission (M.E.T).
Description
Anatomie
La glande rétrogonoporale n’existe que chez la femelle adulte. Elle siège dans la lèvre postérieure du sillon épigastrique, très près de la face ventrale, et y est surplombée par l’épigyne (Fig.2,3)


Vu au M.E.B.[3], cet organe se présente extérieurement comme un bourrelet transversal arqué très saillant (Fig.3), orientant sa convexité vers la fente épigastrique, étendu sans interruption entre les deux stigmates pulmonaires, et séparé de la même fente par une étroite « rigole » réunissant


ces deux orifices respiratoires. Il est long d’environ 300 µm et large de 70. Sa surface est tourmentée, irrégulière, toute en dépressions et replis, d’aspect « gaufré » ou « cérébriforme » (Fig.4,5), parsemée de pores excréteurs arrondis (1 µm de diamètre moyen), réguliers, sans margelle, isolés ou plus souvent réunis en petits groupes (Fig.4). L’aspect d’ensemble suggère un dispositif d’évaporation ou de diffusion.
Structure histologique
Au niveau du bourrelet et de ses pores, l’épiderme sous-jacent est considérablement modifié. Il présente un massif épithélial dense, beaucoup plus épais que lui, convexe et un peu en forme d’éventail dans les coupes parasagittales (Fig.5), en bourrelet incurvé dans les transversales (Fig.6), épais d’une quarantaine de microns et recouvert par une mince cuticule sinueuse (Fig.7). Un petit sinus hémolymphatique et des fibres musculaires striées le séparent des diverticules chylentériques, du tissu interstitiel et des glandes séricigènes.


L’épithélium tégumentaire modifié comporte 4 catégories de cellules.

Les plus grandes ont un aspect d’adénocytes allongés et pyramidaux (hauteur : 25 à 30 µm environ) dont le noyau arrondi (diamètre : 8 µm environ), clair et vésiculeux montre un gros nucléole central et une chromatine périphérique très fine. Dans sa partie apicale, le cytoplasme de chaque adénocyte renferme une zone éosinophile ovoïde, en « réservoir », avec de fines stries radiaires convergeant vers une densification axiale. Il s’en détache un bref canalicule excréteur ralliant le revêtement cuticulaire (Fig.8).
Une deuxième catégorie de cellules se loge entre les adénocytes et la cuticule sus-jacente ; accompagnant les canalicules, ces cellules canalaires ont un cytoplasme étroit, peu visible, et un petit noyau irrégulier très chromatique.
La troisième catégorie se compose de cellules s’insinuant entre les adénocytes qu’elles paraissent soutenir, pouvant être ainsi qualifiées de satellites, plus ou moins perpendiculaires à la cuticule et reconnaissables à leur noyau aplati, allongé (jusqu’à 10 µm) et d’aspect « tigré ».
La dernière catégorie semble correspondre à des cellules épidermiques, visibles dans la périphérie de l’organe et entre les cellules canalaires.
Le revêtement cuticulaire sinueux est traversé par les canalicules excréteurs, issus des adénocytes sous- jacents, très grêles, réunis en petits faisceaux et aboutissant chacun en surface à l’un des pores ténus décelés au M.E.B (Fig.4).
A quelque distance de l’épiderme ainsi transformé en organe sécréteur, le revêtement épithélial renferme encore quelques cellules glandulaires isolées. D’autres adénocytes sont également logés dans l’épiderme ventral, un peu en arrière de l’organe post-gonoporal.
La différenciation de ce dernier s’ébauche chez la femelle subadulte, pendant la dernière intermue, dans un épaississement post-épigastrique de l’épiderme, et se complète ensuite chez l’individu mature. Les adénocytes sont identifiables avant les cellules canalaires et satellites.
Il est à noter que les mâles en sont totalement dépourvus, la glande post-gonoporale étant remplacée par une hernie de tissu interstitiel et par quelques fibres musculaires que recouvre du tégument pigmenté banal. En revanche, la lèvre antérieure de leur sillon génital contient des organes acineux prégonoporaux, faisant partie d’un appareil épigastrique absent chez les femelles.
Ultrastructure
Les recherches[4] au M.E.T. montrent que l’épiderme rétro-gonoporal modifié est formé par un ensemble d’unités fonctionnelles bien individualisées, autonomes, présentant toutes la même organisation ultrastructurale, et par des cellules satellites, « compagnes » ou de soutien.
Une lame basale continue, très mince (quelques nm) et finement grenue les sépare bien du muscle sous-jacent et du sinus. Elle suit les sinuosités des pôles basaux adénocytaires et surtout, celles, beaucoup plus marquées, des cellules de soutien.
Chaque unité fonctionnelle ou glandulaire se compose d’un adénocyte et d’un appareil cuticulaire s’étendant de cette cellule sécrétrice à l’un des pores de surface (Schéma).

Adénocyte
L’adénocyte est volumineux (30 µm), grossièrement pyramidal, repose sur la lame basale et est flanqué par des cellules satellites ou de soutien (Fig.9).


Son plasmalemme s’accole à celui des cellules voisines au niveau des faces latérales qui ne sont pas engrenées. Au niveau du pôle basal, il ne présente que quelques replis irréguliers ne compartimentant pas le cytoplasme. En revanche, il pénètre dans le pôle apical qui présente ainsi une invagination de l’espace extracellulaire, en “ cul de sac ” ou “ doigt de gant ”, peu profonde, n’atteignant pas la moitié basale et obturée par la cellule canaliculaire dans sa partie apicale (Schéma). Cette cavité correspond au « réservoir » de la microscopie optique. Grossièrement ovoïde et longue d’environ 7 µm, elle est garnie sur tout son pourtour par des microvillosités et renferme, en position axiale, un canalicule récepteur (partie initiale de l’appareil cuticulaire)(Fig.9 à 11).

Un feutrage fibrillaire très dense, et vaguement stratifié dans les coupes longitudinales (Fig.12), estompe les contours du conduit et le sépare comme un « manchon » des microvillosités . Ces dernières sont nombreuses, coniques, assez régulières, longues d’environ 1,5 µm, adoptent une disposition radiaire centrée sur le canalicule et ne ménagent entre elles que des interstices étroits, presque virtuels. Elles contiennent des microfilaments ténus, convergeant vers des densifications apicales osmiophiles discrètes (Fig.9 à 12).

Le noyau est situé au-dessous de l’invagination, dans la moitié basale de l’adénocyte. Il est volumineux, arrondi, régulier, renferme un nucléole réticulé excentrique ainsi qu’ une chromatine granuleuse, dispersée dans le nucléoplasme ou réunie en petites mottes. Son enveloppe est pourvue de nombreux pores très apparents.
Le cytoplasme contient divers organites subcellulaires dont aucun ne semble particulièrement développé.
Le réticulum endoplasmique est constitué par des sacs aplatis ou cisternae et par des vésicules. Les cisternae sont pour la plupart granulaires, assez courtes, parallèles à la surface de la cellule ou s’enroulent sur elles mêmes, adoptant alors parfois une disposition en « bulbe d’oignon » dans le voisinage du noyau. D’autres ne portent que de rares ribosomes et peuvent s’accoler à la face externe des complexes golgiens. Les vésicules du réticulum sont également à peu prés lisses et se fusionnent parfois en chapelet à la base des microvilli.
L’appareil de Golgi est constitué par un ensemble d’empilements membranaires (“dictyosomes”) (Fig.11), sans localisation précise. Leurs saccules sont nombreux, très serrés et bourgeonnent par les bords de petites vésicules à contenu osmiophile granuleux qui les remplit entièrement ou ne revêt que la face interne de leur membrane (« vésicules tapissées »). Elles se fusionnent souvent en grains denses et gagnent ensuite le réservoir (Fig.9,10).
Les mitochondries sont petites, nombreuses, irrégulières, pourvues de crêtes d’orientation variable et réparties sans ordre apparent dans tout le cytoplasme (Fig.9,10).

On note aussi de petites vésicules d’endocytose naissant entre les pieds microvillositaires, des ribosomes libres (polysomes) et des lysosomes secondaires autophagiques siégeant surtout entre le noyau et la cavité extracellulaire. Pouvant atteindre une taille importante (300 nm), ces derniers organites contiennent

des corps myéloïdes à très nombreuses lamelles concentriques, parfois très volumineux et confluents (Fig. ), ainsi que des vésicules réticulaires et golgiennes d’aspect parfois « vermiculé », qu’ils ont absorbées.Une activité sécrétoire est représentée par les vésicules du réticulum et par celles de l’appareil de Golgi. Elles vont s’ouvrir dans l’espace extracellulaire entre les pieds des microvilli (Schéma, Fig..10), et y déversent leur contenu (chapelets, grains denses) après s’être parfois fusionnées.
Appareil cuticulaire
Comme dans le cas de diverses autres glandes, il comporte deux portions bien distinctes dont les noms sont inspirés par la terminologie des entomologistes (Quennedey & Brossut, 1975 ; Sreng, 1979 ; Bitsch, 1981) : un canalicule récepteur, logé dans la cavité extracellulaire de l’adénocyte, et un canalicule conducteur s’étendant de l’adénocyte au pore cuticulaire (Schéma). un canalicule récepteur, logé dans la cavité extracellulaire de l’adénocyte, et un canalicule conducteur s’étendant de l’adénocyte au pore cuticulaire (Schéma).
La portion initiale réceptrice plonge dans la cavité extracelCmulaire qu’elle paraît axer (Fig.9, Fig.14). Brève, elle ne décrit pas de sinuosités (Fig.14). La paroi de ce canalicule récepteur, de nature épicuticulaire probable, est formée par une couche unique, très mince, homogène, dense, lisse et régulière, entourant une lumière à contenu granuleux ; non fenestrée, elle s’interrompt peut être à l’extrémité libre du canalicule, s’y ouvrant directement dans la partie basale de la cavité extracellulaire.
L’ensemble du canalicule récepteur, du feutrage fibrillaire qui l’entoure comme un manchon et des microvillosités ancrées sur ce dernier par leurs densifications apicales constitue un “ appareil terminal ”(“ end apparatus ”) typique tel qu’il est décrit chez les Insectes dans sa diversité (Fig.14)[5].
Le canalicule récepteur s’abouche à la portion conductrice qui est dans son prolongement direct (Fig.14). Elle est formée par un canalicule conducteur ou excréteur, simple, isolé des autres conduits, subrectiligne et trés court, sa longueur n’excédant pas 9 µm). Ce canalicule présente une lumière arrondie, d’un calibre plus gros que celui de la portion réceptrice, allant en croissant jusqu’à la terminaison (1/2 µm de diamètre interne), et une paroi formée par une seule couche d’épicuticule. Cette dernière est dense, opaque, homogène, compacte, ininterrompue, osmiophile, d’épaisseur également croissante (jusqu’à 0,2 µm)de sa traversée de la cuticule, lisse intérieurement, bosselée sur sa face externe et se raccorde à l’épicuticule tégumentaire au niveau du pore excréteur.
Le canalicule conducteur ou excréteur est presque entièrement logé dans une cellule canaliculaire (Schéma, Fig.15 à 17). Située dans la moitié supérieure de l’épiderme modifié, elle y est entourée par d’autres éléments du même type, par des cellules de soutien et coiffe le pôle apical de l’adénocyte correspondant ainsi séparé de la cuticule. Elle a des contours irréguliers, émet des prolongements descendants et s’enroule autour du canalicule conducteur, l’accolement de ses faces affrontées donnant naissance à un long méso flexueux clos par un desmosome (Fig.16,17). Elle pénètre, par un prolongement en digitation trapue, dans la partie supérieure de la cavité extracellulaire de l’adénocyte auquel l’unit une jonction septée annulaire, l’obture comme un bouchon et y englobe ainsi le canalicule conducteur dès son origine. Les autres prolongements sont des lames cytoplasmiques aplaties, s’insinuant entre les faces latérales de l’adénocyte et les cellules voisines (Schéma). Le noyau de la cellule canaliculaire est assez irrégulier, anguleux, large denviron 3,8 µm et renferme une chromatine bien contrastée, se condensant en mottes marginales. Le cytoplasme contient des polysomes, quelques vésicules de réticulum, des mitochondries ovoïdes, des groupes de microtubules à disposition longitudinale et ne montre pas d’activité sécrétoire.
Déjà unie à l’adénocyte, la cellule canaliculaire s’engrène avec ses voisines, et, en périphérie de l’organe, avec les cellules épidermiques banales. Cette cohésion est renforcée par des desmosomes sub-apicaux.
Cellules compagnes ou de soutien
Étendues de la lame basale à la cuticule, elles sont allongées, très aplaties, s’insinuent entre les adénocytes et entre les cellules canalaires qu’elles entourent de manière très variée.


Le pôle apical ne présente pas d’invagination de l’espace extracellulaire mais est garni de microvillosités trapues lorsqu’il atteint la cuticule. Fait particulier, le pôle basal est découpé (lacinié) en compartiments d’une grande irrégularité par des invaginations très profondes du plasmalemme ; il s’ensuit que la lame basale pénètre dans ces replis et remonte ainsi vers la surface, jusqu’à mi-hauteur de l’organe ; sur la cuticule et émet aussi quelques prolongements s’engageant dans les canaux poraires.
Cellules épidermiques banales
Périphériques ou logées entre les cellules des canalicules et de soutien, elles rappellent ces dernières par l’aspect ultrastructural, leur sont probablement apparentées, ont un contour assez irrégulier, s’engrènent par les interdigitations de leurs faces latérales et sont unies aussi par des desmosomes subapicaux.
Leur pôle basal repose sur les cellules canaliculaires et émet des prolongements entre les adénocytes. Le pôle apical est hérissé de microvillosités peu nombreuses, montrant une densification terminale au contact de la cuticule sus-jacente et envoie parfois des expansions dans cette dernière (Fig.20). Le noyau est haut situé, anguleux, pourvu d’une chromatine marginale très dense et d’un nucléole sub-central. Le cytoplasme est abondant, assez clair, renferme des mitochondries ovoïdes, quelques complexes golgiens, du glycogène, des ribosomes, ainsi que quelques flaques de matériel grenu (produit de sécrétion ?).

Cuticule
Autour de l’organe rétrogonoporal, le revêtement cuticulaire est épais, plissé, formé par de l’épicuticule dense et par de l’endocuticule stratifiée, moins opaque aux électrons. Il repose sur les microvilli des cellules épidermiques banales et est creusé de pores-canaux. Ces derniers se terminent en cul-de-sac sous l’épicuticule et sont occupés par les expansions apicales des cellules épidermiques (Fig.20).
Au niveau de l’organe, la cuticule diminue brusquement d’épaisseur, réduite environ à son cinquième, l’endocuticule ayant pratiquement disparu. L’épicuticule constitutive est en continuité dans les pores avec celle des canalicules excréteurs (Fig.20).
Muscle

Il est formé par des fibres striées très minces (épaisseur : 6 µm) s’accolant à la lame basale par leur sarcolemme (Fig. ).
Ces fibres sont pourvues de noyaux marginaux oblongs (longueur : 7,5 µm) à chromatine condensée en grosses mottes. Leurs sarcomères (longueur moyenne : 6 µm) sont compris entre des bandes osmiophiles («stries» Z) très apparentes ; ils montrent des myofilaments fins et épais qui alternent avec régularité.Le sarcoplasme contient du réticulum lisse tubuleux et des mitochondries surtout visibles près du noyau.
Bibliographie
- Lopez,A. avec J.Kovoor & M.EMERIT,1981 - Des glandes tégumentaires particulières aux femelles chez Leptyphantes sanctivincentii et Linyphia triangularis (Araneae,Linyphiidae). Atti. Soc.Tosc.Sci.Nat.,Mem.,ser.B,88,suppl.,p.53-60.
- Bitsch, J., 1981 .- Int.Journ. Insect Morphol. Embryol., 10, 3, p.247-263.
- Noirot, Ch. & A.Quennedey, 1974.- Ann.Rev.Entomol.,19, p.61-80.
- Quennedey A. & R.Brossut, 1975.- Tissue and Cell, 7,3,p. 503-517.
Notes et références
- Krafft, 1980 ; Tietjen & Rovner, 1982
- Kovoor,1981 ; Lopez,1981b
- Lopez,1981b
- Lopez (1989)
- Noirot & Quennedey, 1974 ; Bitsch & Palevody, 1976
Voir aussi
Articles connexes
Liens externes
- LES GLANDES SEGMENTAIRES RETRO-GNATHOCOXALES DE LEPTYPHANTES SANCTIVINCENTII , C.R. xème Coll. europ. Arachnol., Bull. Soc. sei. Bretagne, 1988 [PDF]
- Portail de l’arachnologie
- Portail de la biologie cellulaire et moléculaire