Fracture costale
La fracture costale, rupture d'une ou plusieurs côtes, rend la respiration douloureuse, difficile. Elle peut entraîner une atteinte des poumons, et notamment un hémothorax (le poumon se remplit de sang) ou un pneumothorax (le poumon a une « fuite d'air » et ne peut plus jouer son rôle), qui peut mettre en jeu le pronostic vital.
Outre la douleur et la difficulté respiratoire, on peut avoir :
- des crachats de sang, avec un sang bien rouge et contenant des bulles ;
- un « volet costal » : une partie de la poitrine bouge à contresens de la respiration : elle s'abaisse à l'inspiration et s'élève à l'expiration.
Radiographie du gril costal ou thorax osseux
    
Techniquement, il s'agit de mettre en évidence la partie osseuse du thorax, en modifiant l’exposition de la radiographie. L'indication est la mise en évidence de fracture de côte.
Si cette technique est très spécifique (100 %[1]), elle est peu sensible (15 %[1]). En pratique elle est moins utilisée que la radiographie standard en cas de suspicion de fracture costale et ce pour deux raisons :
- on ne visualise pas le parenchyme pulmonaire et donc les complications de la fracture costale que sont l'hémothorax et le pneumothorax[2], seul indication à un traitement ;
- avec les radiographies numérisées, la modification de l'exposition et du contraste permette de « fabriquer » une « fenêtre osseuse »
La société américaine de radiologie (American College of Radiology[3]) dans un document nommée Critères de pertinence, de l'ACR (ACR Appropriateness Criteria), rédigé en 1999 et révisé en 2011, indique que la radiographie de gril costal est non appropriée avec un classement d'utilité de 2/10. Ces recommandations se basent notamment sur une étude qui a démontré que la prise en charge d'un patient avec ou sans fracture costal ne différait pas[4].
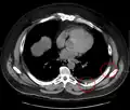
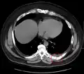
 Fracture de côte sur un scanner thoracique Fracture de côte sur un scanner thoracique
 Fracture de côte sur un scanner thoracique Fracture de côte sur un scanner thoracique
 Fracture de côte sur un scanner thoracique Fracture de côte sur un scanner thoracique
 Fracture de côte sur un scanner thoracique Fracture de côte sur un scanner thoracique
 Fracture de côte sur une radiographie standard Fracture de côte sur une radiographie standard
Notes et références
    
- (en) Griffith JF, Rainer TH, Ching AS, Law KL, Cocks RA, Metreweli C. « Sonography compared with radiography in revealing acute rib fracture » AJR Am J Roentgenol. 1999 Dec;173(6):1603-9.
- (en) Bansidhar BJ, Lagares-Garcia JA, Miller SL, « Clinical rib fractures: are follow-up chest X-rays a waste of resources? », Am Surg, vol. 68, no 5, , p. 449-53. (PMID 12013289)
- « ACR.org Home », sur acr.org (consulté le ).
- (en) Davis S, Affatato A. « Blunt chest trauma: utility of radiological evaluation and effect on treatment patterns » Am J Emerg Med. 2006 Jul;24(4):482-6.
