Douleur testiculaire
La douleur testiculaire ou orchialgie apparaît quand tout ou partie de l'un ou des deux testicules souffre. La douleur testiculaire peut être aiguë, sub-aiguë ou chronique en fonction de sa durée. Les causes vont de troubles musculosquelettiques à des situations d'urgence telle que la gangrène de Fournier ou la torsion testiculaire. La douleur est gérée en fonction de la cause sous-jacente. L'approche diagnostique consiste à éliminer les situations graves et peut impliquer l'utilisation d'échographie ou de bilan biologique.
Définition
La douleur testiculaire apparaît quand au moins une partie d'un testicule souffre. Les douleurs scrotales sont incluses dans la définition. La douleur peut être aiguë, subaiguë ou chronique en fonction de sa durée.
Douleur scrotale chronique
La douleur est dite chronique lorsqu'elle dure plus de 3 mois. Elle peut survenir à la suite de nombreuses situations[1]. Elle apparaît chez 15 à 19 % des hommes après vasectomie, à cause d'infections comme l'épididymite, la prostatite ou l'orchite, mais aussi à cause d'un varicocèle, d'un hydrocèle, d'un spermatocèle, d'une périartérite noueuse, d'une torsion testiculaire, d'une chirurgie antérieure ou d'un traumatisme[1]. Dans 25 % des cas, la cause n'est jamais retrouvée[1]. La douleur peut persister longtemps après une vasectomie, dans ce cas on peut parler de syndrome douloureux post-vasectomie (SDPV).
Diagnostics différentiels
Les diagnostics différentiels de la douleur testiculaire sont nombreux et vont de l'affection bénigne à l'urgence vitale. Les causes les plus fréquentes de douleur testiculaire chez l'enfant aux urgences sont la torsion testiculaire (16 %), la torsion d'un appendice du testicule (46 %) et l'épididymite (35 %)[2]. Chez les adultes, la plus fréquente est l'épididymite.
Autres causes

Beaucoup d'autres causes moins fréquentes peuvent aboutir à une douleur testiculaire. On peut évoquer la hernie inguinale, les coups, l'hydrocèle et le varicocèle, entre autres. Le cancer du testicule est généralement indolore[3]. Une autre cause possible est le syndrome des boules bleues[4].
Approche diagnostique
Examen clinique
Le réflexe crémastérien (élévation du testicle en réponse à la stimulation du tiers supérieur et antéro-médial de la cuisse) est présent en cas d'épididymite mais absent en cas de torsion testiculaire puisque le testicule est déjà élevé[5]. Le signe de Prehn (diminution de la douleur à l'élévation du testicule) n'est pas assez spécifique pour distinguer une torsion des autres causes de douleur testiculaire[6].
Bilan biologique
Les examens utiles à la détermination de la cause de la douleur comprennent un ECBU (habituellement normal en cas de torsion). Une pyurie ou une bactériurie en cas de douleur aiguë est en faveur d'une cause infectieuse comme l'épididymite ou l'orchite et la recherche de gonocoque et de chlamydia doit être faite[5]. Ces deux germes doivent être recherchés chez tout patient ayant une douleur testiculaire chronique[1].
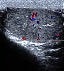
Imagerie
L'échographie est utile si la cause n'est pas retrouvée grâce aux examen ci-dessus[7]. Si le diagnostic de torsion est certain, l'échographie ne doit pas retarder la prise en charge chirurgicale[5].
Articles connexes
Références
- Wampler SM, Llanes M; Llanes (September 2010).
- Lewis AG, Bukowski TP, Jarvis PD, Wacksman J, Sheldon CA; Bukowski; Jarvis; Wacksman; Sheldon (February 1995).
- "Testicle pain: MedlinePlus Medical Encyclopedia".
- Chalett JM, Nerenberg LT; Nerenberg (October 2000).
- Trojian TH, Lishnak TS, Heiman D; Lishnak; Heiman (April 2009).
- Lavallee ME, Cash J; Cash (April 2005)
- Galejs LE (February 1999).
- Portail de la médecine