Diguetia canities
Diguetia canities est une espèce d'araignées aranéomorphes de la famille des Diguetidae[1].
Distribution
Cette espèce se rencontre aux États-Unis en Californie, au Nevada, en Utah, en Arizona, au Nouveau-Mexique, au Texas et en Oklahoma et au Mexique en Basse-Californie, au Sonora, au Chihuahua, au Coahuila, au Nuevo León, au Durango, au Jalisco, au Michoacán et à Mexico[1],[2].
Comportement
Diguetia canities vit dans des lieux semi-arides où, du moins dans l'Utah, elle établit volontiers sa toile sur des Opuntia ("chollas" et "prickly pears cactus"). Cet édifice, décrit par Gertsch en 1935[3] et 1958[4] puis par Cazier et Mortenson en 1962[5], est composite car il associe une retraite, un réseau irrégulier et une nappe.
Description
Les mâles mesurent de 5 à 9 mm et les femelles de 5,5 à 10 mm. Le mâle de Diguetia canities canities décrit par Gertsch en 1958 mesure 6,8 mm et la femelle 8 mm et le mâle de Diguetia canities mulaiki 5,3 mm et la femelle 5,25 mm[4].
Anatomie interne
D'après une étude histologique générale réalisée par Lopez en 1984[6] sur des exemplaires de Diguetia canities de l'Utah, qu'il a récoltés près de Zion National Park, l'anatomie interne montre un ensemble de particularités dont une glande rostrale dédoublée, une glande venimeuse arborescente et la présence d'un organe supra-anal qui pourrait être nouveau[6].
Glande rostrale

La glande rostrale se présente, comme chez les autres araignées, sous la forme d'une invagination épidermique de la face antérieure du rostre (fig.1). Cependant, il ne s'agit pas d'un simple récessus, mais d'une poche double formée par deux tubes parallèles bien visibles en coupe transversale (fig.2) et se terminant en cul de sac. Chacun d'eux est formé par une chambre aboutissant à une partie canalaire s'ouvrant extérieurement sous une languette en auvent (fig.1).
Glande à venin.





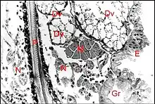
Elle est remarquable par sa grande taille, un caractère particulièrement frappant de cette espèce et qui ne se retrouve rarement chez les autres araignées. Elle occupe au moins la moitié du prosoma, (fig.3), y entourant une grande partie du système nerveux (fig.5). Se ramifiant dans de nombreuses directions, la glande constitue en effet des diverticules ou lobes en forme de poches s'étendant dans le rostre (fig.4),descendant le long du pharynx et son prétendu "organe du goût", en fait l'une des glandes segmentaires, et, vers l'arrière, donc le pédicule, s'étendant jusqu'à la cauda equina, entre les ganglions sous-œsophagiens et l'épiderme sternal (fig.5).
Exception faite pour sa partie intra-chélicérienne, la paroi glandulaire, épaisse d'environ 30 µm, est constituée uniformément dans toutes ses parties par une gaine conjonctive, une membrane basale et un épithélium sécréteur très plissé entourant une lumière assez étroite. Les hautes cellules glandulaires (adénocytes) prismatiques constituant cet épithélium montrent des noyaux basaux à coloration sombre et un cytoplasme clair contenant une petite quantité de sécrétion en grains acidophiles grossiers. Il ne semble pas exister de fibres musculaires sous la basale. En revanche, la portion intra-chélicérienne de la glande venimeuse est caractérisée par une lumière plus large et un épithélium cuboïdal visible juste au-dessus d'un court canal excréteur. Ses cellules sont remplies par une sécrétion acidophile uniformément granuleuse.
Le grand développement de la glande venimeuse se retrouve, en coupes histologiques, chez Plectreurys tristis (Plectreuridae) également américain où il a été mis en évidence par Millot et retrouvé par Lopez (fig.6) ainsi d'ailleurs que chez Filistata insidiatrix (Filistatidae).
Sur le plan fonctionnel, un tel organe produirait un venin dont la grande abondance pourrait permettre à l' araignée de maîtriser d'emblée ses proies par morsure sans avoir recours à un enveloppement préalable avec des fils de soie.
Liste des sous-espèces
Selon World Spider Catalog (version 23.5, 18/11/2022)[1] :
Systématique et taxinomie
Cette espèce a été décrite sous le protonyme Segestria canities par McCook en 1890. Elle est placée dans le genre Diguetia par Simon en 1895[7].
Diguetia dialectica[8], considérée comme une sous-espèce de Diguetia canities par Gertsch en 1958[4], a été élevée au rang d'espèce par Jiménez, Cardiel et Chamé-Vázquez en 2022[2].
Publications originales
- McCook, 1890 : American spiders and their spinningwork. Philadelphia, vol. 2, p. 1-373 (texte intégral).
- Gertsch, 1958 : « The spider family Diguetidae. » American Museum Novitates, no 1904, p. 1-24 (texte intégral).
Liens externes
- (en) Référence Animal Diversity Web : Diguetia canities (consulté le )
- (en) Référence BioLib : Diguetia canities (McCook, 1890) (consulté le )
- (en) Référence Catalogue of Life : Diguetia canities (McCook, 1890) (consulté le )
- (fr + en) Référence EOL : Diguetia canities (McCook 1890) (consulté le )
- (fr + en) Référence GBIF : Diguetia canities (McCook, 1890) (consulté le )
- (fr + en) Référence ITIS : Diguetia canities (McCook, 1889) (consulté le )
- (en) Référence NCBI : Diguetia canities (McCook, 1889) (taxons inclus) (consulté le )
- (en) Référence World Spider Catalog : Diguetia canities (McCook, 1890) dans la famille Diguetidae +base de données (consulté le )
Notes et références
- World Spider Catalog (WSC). Musée d'histoire naturelle de Berne, en ligne sur http://wsc.nmbe.ch. doi: 10.24436/2, consulté le version 23.5, 18/11/2022
- Jiménez, Cardiel & Chamé-Vázquez, 2022 : « The spider genus Diguetia Simon, 1895 (Araneae: Diguetidae) in North America: a new species, redescriptions, and comments on the distribution of the genus. » Zootaxa, no 5205(2), p. 125-146.
- Gertsch, 1935 : « Spiders from the southwestern United States. » American Museum novitates, no 792, p. 1-31 (texte original).
- Gertsch, 1958 : « The spider family Diguetidae. » American Museum Novitates, no 1904, p. 1-24 (texte intégral).
- Cazier & Mortenson, 1962 : « Analysis of the habitat, web design, cocoon and egg sacs of the tube weaving spider Diguetia canities McCook (Araneae, Diguetidae). » Bulletin of the Southern California Academy of Sciences, vol. 61, p. 65−88.
- Lopez, 1984 : « Some observations on the internal anatomy of Diguetia canities (McCook,1890) (Araneae,Diguetidae). » The Journal of Arachnology, vol. 11, no 3, p. 377-384 (texte intégral).
- Simon, 1895 : « Sur les arachnides recueillis en Basse-Californie par M. Diguet. » Bulletin du Muséum d'Histoire Naturelle, vol. 1895, p. 105-107 (texte intégral).
- Chamberlin, 1924 : « The spider fauna of the shores and islands of the Gulf of California. » Proceedings of the California Academy of Sciences, vol. 12, p. 561-694 (texte intégral).
- Portail de l’arachnologie
- Portail des États-Unis
- Portail du Mexique