Corps albicans
Le corps albicans (ou corpus albicans) est aussi appelé corps blanc ou corps fibreux (la dégénérescence est fibreuse, les cellules glandulaires se transforment en tissu conjonctif dense[réf. nécessaire]). Il apparaît lors de la lutéolyse (en)) du corps jaune, à la fin de la phase lutéale ou, après que le placenta a pris le relais pour la production d'hormones.[réf. nécessaire]

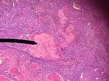
Ovaire avec un corps jaune dans la partie supérieure gauche de l'image; et un corps blanc dans sa partie inférieure droite (confer description).
- Portail de la physiologie
- Portail de la médecine

Corps blanc (ou corpus albicans en latin), dans un ovaire de femelle de l'homme, coloration hématoxyline-éosine ou apparenté. On remarque le stroma (Tissu conjonctif cellulaire) à l'aspect "en tourbillon".
Cet article est issu de Wikipedia. Le texte est sous licence Creative Commons – Attribution – Partage à l’identique. Des conditions supplémentaires peuvent s’appliquer aux fichiers multimédias.