Citerne du chyle
La citerne du chyle (ou réservoir du chyle ou citerne de Pecquet ou sac de van Horne) est une structure lymphatique situé dans l'abdomen.

Description
La citerne du chyle est un sac dilaté de 2 à 3 cm de diamètre situé dans la partie inférieure de la partie abdominale du conduit thoracique en regard de la deuxième ou de la troisième vertèbre lombaire en arrière de l'aorte abdominale.
Elle est le résultat de la fusion des deux troncs lymphatiques lombaires gauche et droit et forme le début du conduit thoracique. Elle reçoit également des troncs intestinaux.
Anatomie fonctionnelle
La citerne du chyle draine toute la lymphe issue de l'ensemble des ganglions lymphatiques sous-diaphragmatiques. Elle doit son nom au chyle riche en lipides absorbés par la muqueuse intestinale.
Anatomie comparée
Chez le chien, la citerne du chyle est située à gauche et souvent ventrale par rapport à l'aorte.
Chez le chat, elle est gauche et dorsal.
Chez le cobaye, elle s'étend vers la gauche et se jette dans la veine innommée gauche[1].
Galerie
Position schématique des nœuds lymphatiques primaires.
Nœuds et vaisseaux lymphatiques profond du tronc.
Système lymphatique abdominal et thoracique.
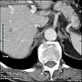
Scanner lombaire: Citerne du chyle (flèche pleine) à proximité de la veine azygos (flèche vide).
Articles connexes
Notes et références
- István Rusznyák, Mihály Földi et György Szabó, Lymphatics and Lymph Circulation: Physiology and Pathology, Elsevier Science, , 77–78 p. (ISBN 978-1-4831-8597-2, lire en ligne)
Liens externes
- Ressources relatives à la santé :
- « Citerne du chyle », sur le dictionnaire de l’Académie nationale de médecine
- Conduit thoracique dans le site du Laboratoire d'anatomie - Faculté de Médecine Toulouse-Purpan.
Bibliographie
- Citerne du chyle dans le Dictionnaire médical de l'Académie de Médecine – version 2015 en ligne.
- Derhy S., El Mouhadi S., Jolibert M., Chaillot P.-F., Menu Y., Arrivé L.« IRM des dilatations lymphatiques abdominales. Du normal au pathologique Du normal au pathologique », Diaporama en ligne.
- O. Azaiz, L. Arrivé, MD. Crema, L. Azizi, C. Hoeffel, M. Lewin, L. Monnier-Cholley, JM. Tubiana, « Analyse du système lymphatique rétropéritonéal en IRM à l'aide de séquence privilégiant le signal des liquides stationnaires », Diaporama en ligne.
- Jean-Claude Ferrandez,Serge Theys, « Jean Pecquet : de la citerne au drainage du canal thoracique », Kinésithérapie, la revue, Vol 6 - N° 54, p. 41-46, , Doi : KIN-06-2006-00-54-1111-101019-200604027
- Portail de la médecine
- Portail de l’anatomie