Cholestéatome
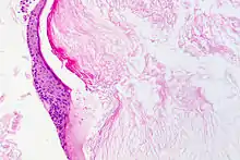
Le cholestéatome est une forme d'otite chronique avec présence d'épithélium pavimenteux stratifié dans l'oreille moyenne. Cet épithélium desquame et se kératinise (structure histologique de l'épiderme), et peut provoquer l'érosion voire la destruction des structures contenues dans et autour de l'oreille moyenne ( Histopathologie du cholestéatome)[1],[2].
La forme la plus fréquente est le cholestéatome acquis par évolution terminale d'une otite chronique (poches de rétractions essentiellement). Une perforation tympanique acquise post-traumatique ou post-otitique peut également entrainer un cholestéatome par migration de l'épiderme du conduit par la perforation surtout si elle est au contact du sulcus (perforation dite marginale).
Un cholestéatome acquis iatrogène (c'est-à-dire conséquence indésirable d'un traitement) est exceptionnel (après tympanoplastie, après pose d'aérateurs transtympaniques).
Un cholestéatome congénital (de naissance) est possible et apparait comme une masse blanchâtre derrière un tympan normal
Causes et mécanismes
La cause reste inconnue.
Il existe une probable activation des ostéoclastes entraînant la résorption des os environnants[3].
Épidémiologie
L'incidence annuelle serait d'environ 1 nouveau cas par 10 000 habitants (statistiques finlandaises[4]). Il est plus fréquent entre 5 et 15 ans mais peut se voir à n'importe quel âge[5]. Il est, en règle, unilatéral, mais la deuxième oreille peut être atteinte dans un peu moins d'un cas sur 10[5].
Clinique
Il peut être peu ou pas symptomatique, retardant ainsi le diagnostic. Il peut se manifester par un écoulement de l'oreille (otorrhée) ou une perte unilatérale de l'audition[6].
Diagnostic
Il se fait par visualisation du conduit auditif et du tympan (otoscopie). Il se manifeste par la présence d'une excroissance squameuse, le plus souvent à la partie postéro supérieure du tympan[7]. Le scanner crânien permet de visualiser l'extension et les éventuelles destructions osseuses.L'histopathologie post-opératoire est indispensable pour confirmer la nature de la lésion et celles qui lui sont associées.

Complications
Les complications peuvent être :
- infectieuses locales (otorrhées purulentes, mastoïdite, labyrinthite) ou rarement régionale (méningites, empyème et abcès du cerveau) ;
- une surdité de transmission par érosion du tympan, érosion des osselets (enclume et étrier essentiellement) ;
- une surdité de perception par atteinte du labyrinthe ;
- des vertiges par fistule périlymphatique ou atteinte du labyrinthe ;
- une paralysie faciale périphérique (les 2e et 3e portions du nerf facial (VII) étant particulièrement exposées).
Traitement
La prise en charge doit être assez rapide, plus particulièrement en cas de paralysie faciale où un retard de quelques semaines dans la chirurgie altère le pronostic fonctionnel[8].
Le traitement du cholestéatome est chirurgical et a pour but d'éradiquer tout le tissu cholestéatomateux et de reconstruire les lésions anatomiques et fonctionnelles. Les cavités de l'oreille moyenne et de la mastoïde sont complexes avec des angles morts qui rendent souvent la chirurgie difficile (chirurgie sous microscope). Il n'est pas rare d'opérer à plusieurs reprises un patient pour éliminer un cholestéatome résiduel.
Il existe deux grandes techniques chirurgicales : les techniques fermées où le mur osseux du conduit auditif externe est conservé et les techniques ouvertes où ce mur est sacrifié (réservées aux formes récidivantes et/ou très importantes). Le terme d'ossiculoplastie est le fait de rétablir une continuité fonctionnelle entre le tympan et l'oreille interne (effet columellaire) pour remplacer le ou les osselets atteints.



Notes et références
- (en) Lopez,A. Gratacap,B. & R.Vincent, « The associated lesions of cholesteatoma. », Proceed.Fourth Intern.Conf. Cholesteatoma and Mastoid Surgery, Sept. 8-12 , 1993, Niigata, Japan, p. 19-25., 1993,
- Lopez,A. avec Gratacap, B., Vandeventer, G & R.Vincent, « Les lésions associées au cholestéatome », Rev.Soc.Fr.O.R.L., n°23 (1994), p.19-24.,
- (en) JY Jung et RA Chole, « Bone resorption in chronic otitis media: the role of the osteoclast », ORL J Otorhinolaryngol Relat Spec., no 64, , p. 95-107 (PMID 12021500)
- (en) HO Kemppainen, HJ Puhakka, PJ Laippala, MM Sipila, MP Manninen et PH Karma, « Epidemiology and aetiology of middle ear cholesteatoma », Acta Otolaryngol., no 119, , p. 568-572 (PMID 10478597)
- (en) MF Bhutta, IG Williamson et HH Sudhoff, « Cholesteatoma », BMJ, no 342, , d1088 (lire en ligne)
- (en) P Sheahan, M Donnelly et R Kane, « Clinical features of newly presenting cases of chronic otitis media », J Laryngol Otol., no 115, , p. 962-966 (PMID 11779324)
- (en) RF Wetmore, DF Konkle, WP Potsic et SD Handler, « Cholesteatoma in the pediatric patient », Int J Pediatr Otorhinolaryngol., no 14, , p. 101-112 (PMID 3436715)
- (en) M Ikeda, H Nakazato, K Onoda, R Hirai et A Kida, « Facial nerve paralysis caused by middle ear cholesteatoma and effects of surgical intervention », Acta Otolaryngol., no 126, , p. 95-100 (PMID 16308261)
- Portail de la médecine