Chéloïde

Une chéloïde, ou cicatrice chéloïdienne, est une forme de cicatrice résultant d’une excroissance du derme au niveau d’une blessure guérie. Elle se présente sous forme de lésions fermes, caoutchouteuses ou des nodules brillants, fibreux et sa couleur varie du rose au chair (pour les peaux claires) ou du rouge au brun foncé (pour les peaux foncées). Une cicatrice chéloïde est bénigne, non contagieuse et généralement accompagnée de fortes démangeaisons, voire de douleurs vives ; sa texture évolue dans le temps. Dans les cas les plus graves, elle peut affecter le mouvement de la peau.

Remarque : en médecine vétérinaire, on nomme chéloïde la prolifération des bourgeons charnus au cours de la cicatrisation, empêchant la colonisation de la zone par les cellules épithéliales et donc la fermeture de la plaie. Ceci est fréquent chez les équidés.

Description

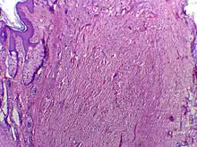
Micrographie de chéloïde. Les fibres épaisses de collagène sont caractéristiques de ce processus de cicatrisation aberrante. Coloration à l’hématoxyline et à l’éosine.

Le processus de cicatrisation est caractérisé par un équilibre entre la synthèse et l’hydrolyse du collagène. Pendant la phase de prolifération, le taux d’apport en collagène dépasse celui de sa lyse. Puis apport et lyse s’équilibrent au cours de la phase de maturation. À cette étape, le collagène structurel de la cicatrice formée est réorganisé par l’action conjointe de la lyse et de la synthèse, aboutissant à une cicatrice mature.

Dans le cas des cicatrices chéloïdes et hypertrophiques, le point d’équilibre, généralement atteint 3 à 4 semaines après la blessure, n’est jamais atteint. L’apport de collagène reste supérieur à sa lyse pour une période indéfinie, provoquant une boursouflure au niveau de la cicatrice[1].

La cicatrice chéloïdienne poursuivra indéfiniment sa croissance à la fois en épaississant, et en s’étendant. Au contraire, une cicatrice hypertrophique ne se développe pas au-delà des limites de la blessure originale. Elle se stabilise puis se résorbe spontanément 2 à 3 ans après la blessure.

L’étirement de la peau, pendant ou après la cicatrisation, favorise l’apparition de chéloïdes.

Localisation

Elle apparaît à la suite de lésions de la peau, par exemple une coupure, une brûlure, ou un acte chirurgical. Les infimes lésions provoquées par l’acné sont susceptibles de provoquer des chéloïdes, donnant l’impression qu’elles apparaissent spontanément.

Certaines parties du corps sont donc plus touchées, soit parce qu’elles présentent plus souvent des lésions (partie inférieure du visage), soit qu’elles sont plus sujettes à l’étirement de la peau (région du sternum, des épaules).

Populations touchées

Les chéloïdes peuvent toucher toutes les ethnies mais présentent une prévalence supérieure pour les peaux génétiquement pigmentées (noirs africains et asiatiques)[2].

Les chéloïdes touchent plus particulièrement les enfants, en particulier pendant la période de puberté et de post-adolescence.

Cependant, grâce aux nouvelles techniques chirurgicales et post-chirurgicales, ces cicatrices sont de plus en plus rares.

Histoire

L’histoire des chéloïdes est intimement liée à celle du folklore africain ; des descriptions précises de ces lésions sont mentionnées dans ses proverbes et dans sa médecine traditionnelle[3].

On trouve des premières références aux chéloïdes au Xe siècle dans les écrits des Yoruba, une tribu nigériane[Quoi ?][4].

La première description scientifique date de 1790 ; Retz[5] y supposant qu’il s’agissait d’une herniation des tissus gras sous-cutanés. En 1817, le médecin Jean-Louis Alibert lui donna la dénomination actuelle de chéloïde, du grec χηλη, « pince de crabe[6] » en raison de sa forme[7].

Traitement

L’efficacité mitigée des traitements sur les chéloïdes et cicatrices hypertrophiques explique la diversité des traitements aujourd’hui utilisés. La reprise chirurgicale employée seule est déconseillée car elle aggrave bien souvent la situation.

Liste partielle des traitements :

  • injections :
  • radiothérapie (avec reprise chirurgicale) :
  • dermocorticoïdes ;
  • cryothérapie[10];
  • compression continue :
    • clips d’oreilles,
    • vêtements compressifs médicaux,
    • vêtements de sport utilisés pour compresser :
      • sous-vêtements de sports,
      • bandeau de poignet,
      • bandeau protège-oreille,
      • coudière,
      • genouillère,
    • plaques de gel de silicone,
    • gel dermo-réparateur pour cicatrices,
    • thermalisme,
    • soins par l’orthodermie[Quoi ?]
  • Laser :
    • CO2[1],
    • colorant pulsé,
    • Erbium,
    • Nd YAG[1]


Voir aussi

Notes et références

  1. S. Bennaceur, « Chéloïdes », sur www.therapeutique-dermatologique.org, (consulté le )
  2. « La cicatrisation de la peau noire et mate », sur Laboratoire In'oya
  3. (en)Dubato-Brown DD. « Keloids: a review of the literature » Br Plast Surg. 1990
  4. (en)Oluwasanami JO., Keloids in the African., Clin Plast Surg, 1974
  5. Retz N., Des maladies de la peau et des celles de l’esprit, 3e Édition, Paris: Mequinon, 1790
  6. « Définition de chéloïde », sur www.cnrtl.fr (consulté le )
  7. Alibert JLM., Quelques recherches sur la chéloïde, Mem Soc Médicale d’Émulation, 1817
  8. Jean Édouard René Revuz, Traité EMC : cosmétologie et dermatologie esthétique, Elsevier Masson, 2009
  9. Bodokh I, Brun P. « Traitement des chéloïdes par infiltration de bléomycine » Ann Dermatol Venereol. 1996
  10. C. C. Zouboulis, U. Blume, P. Büttner et C. E. Orfanos, « Outcomes of cryosurgery in keloids and hypertrophic scars. A prospective consecutive trial of case series », Archives of Dermatology, vol. 129, no 9, , p. 1146–1151 (ISSN 0003-987X, PMID 8363398, lire en ligne, consulté le )
  • icône décorative Portail de la médecine
Cet article est issu de Wikipedia. Le texte est sous licence Creative Commons – Attribution – Partage à l’identique. Des conditions supplémentaires peuvent s’appliquer aux fichiers multimédias.