Carcinosarcome
Le carcinosarcome est une tumeur maligne associant des aspects carcinomateux et sarcomateux. Il est fréquemment de localisation utérine.

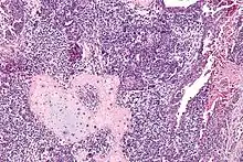
Carcinosarome utérin. HE, x250
_rhabdomyosarcomatous.jpg.webp)
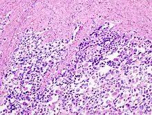
Invasion du myomètre par un carcinosarcome utérin avec différenciation rhabdomyosarcomateuse. HE, x400
- Portail de la médecine
Cet article est issu de Wikipedia. Le texte est sous licence Creative Commons – Attribution – Partage à l’identique. Des conditions supplémentaires peuvent s’appliquer aux fichiers multimédias.