Carcinome à cellules claires du rein
Le carcinome à cellules claires du rein est un type de carcinome à cellules rénales du rein. Il peut être lié à des anomalies de la région chromosomique 3p et du gène VHL de la maladie de von Hippel-Lindau. Un carcinome à cellules claires, notamment chez les jeunes de moins de 40 ans, doit amener à consulter un généticien pour mener les analyses nécessaires.
Historique
Il a d'abord été décrit par le médecin allemand Paul Grawitz (de)(1850-1932) en 1883, qui l'appelle « hypernéphrome » en lui attribuant une origine surrénalienne[1]. Au cours du XXe siècle, cette forme, la plus fréquente des cancers du rein, est souvent appelée « tumeur de Grawitz ». Son origine rénale est démontrée en 1960, et au XXIe siècle, après l'avènement des techniques de biologie moléculaire et de cytogénétique, les appellations « hypernéphrome » et « tumeurs de Grawitz » tombent en désuétude[1],[2].
Anatomie pathologique
Carcinome rénal à cellules claires de 8 cm de diamètre, du pôle inférieur d'un rein, montrant une prolongation au-delà de la surface corticale, mais sans infiltration du tissu adipeux périrénal.
Carcinome rénal à cellules claires; à la droite de l'image; le rein non tumoral est à la gauche de l'image.
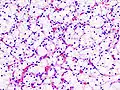
Carcinome rénal à cellules claires. Grade de Führman 1. HE, x400.
Notes et références
- « La tumeur de Grawitz, une erreur centenaire », sur edimark.fr, Correspondances en Onco-Urologie, avril-mai-juin 2012 (consulté le )
- « Tumeur du rein : données anatomo-cliniques et détection », /data/revues/02210363/00836-C2/773/, (lire en ligne, consulté le )
- Portail de la médecine