Articulation gléno-humérale
L'articulation gléno-humérale (ou articulation scapulo-humérale) est l'articulation qui relie la scapula à l'humérus au niveau de l'épaule.
Structure
Type articulaire
L'articulation gléno-humérale est une énarthrose. C'est l'articulation la plus mobile du corps humain.
Surfaces articulaires
L'articulation gléno-humérale est constituée de deux surfaces articulaires :
- la tête humérale ;
- la cavité glénoïdale de la scapula ;
- bourrelet glénoïdien.
Tête humérale
La tête humérale est une saillie de l'extrémité supérieure de l'humérus. Elle a la forme d'un tiers de sphère d'environ 3 cm de rayon recouverte de cartilage. Elle est orientée en haut, en dedans et en arrière.
Cavité glénoïdale de la scapula
La cavité glénoïdale de la scapula est située à l'angle supéro-latéral de la scapula. Elle est reliée au reste de la scapula par le col de la scapula.
Elle a une forme de poire plus étroite en haut et à grand axe oblique en haut et en avant. Elle est légèrement concave dans sa partie inférieure. Elle regarde en dehors et en avant avec un angle d'environ 45°.
La cavité de la fosse glénoïde de l'omoplate est elle-même assez peu profonde, mais elle est rendue plus profonde par l'ajout du labrum glénoïdal de la scapula. Le labrum glénoïdal est un anneau de fibres cartilagineuses attaché à la circonférence de la cavité. Cet anneau est en continuité avec le tendon du muscle biceps brachial au-dessus.
Capsule articulaire
L'articulation de l'épaule a une capsule articulaire très lâche.
Elle entoure complètement l'articulation.
Elle s'insère en haut à la circonférence de la cavité glénoïdale de la scapula au-delà du labrum glénoïdal, et en bas au col anatomique de l'humérus.
Elle présente trois ouvertures :
- une en avant, sous l'apophyse coracoïde créant une communication entre l'articulation et une bourse synoviale sous le tendon du sous-scapulaire.
- une deuxième inconstante dans sa partie postérieure créant une communication entre l'articulation et une bourse synoviale sous le tendon du muscle infra-épineux.
- une troisième entre les tubercules de l'humérus, pour le passage du long tendon du muscle biceps brachial.
Ligaments
La capsule articulaire est renforcée par :
- les ligaments gléno-huméraux qui sont des épaississements de la capsule :
- le ligament gléno-huméral supérieur et le ligament gléno-huméral moyen entre le versant antéro-supérieur du labrum glénoïdal et le petit tubercule de l'humérus,
- le ligament gléno-huméral inférieur entre le versant antéro-inférieur du labrum glénoïdal et la partie adjacente du col de la scapula et se termine sur la face antéro-médial du col chirurgical de l'humérus,
- le ligament coraco-huméral entre le processus coracoïde et les deux tubercules de l'humérus[1],
- le ligament transverse huméral[1] entre les deux bords du sillon intertuberculaire de l'humérus,
- le ligament coraco-acromial[2] entre le bord latéral du processus coracoïdien et l’acromion (extrémité antérieure et face inférieure).
L'articulation est également renforcée par la coiffe des rotateurs formée par l'union des tendons des muscles subscapulaire, supra-épineux, infra-épineux et petit rond.
Bourses synoviales

L'articulation gléno-humérale est entourée de plusieurs bourses synoviales
- la bourse subacromio-deltoïdienne formée de la confluence de la bourse subdeltoïdienne, entre l'articulation et la face profonde du muscle deltoïde, et de la bourse subacromiale, entre l'articulation et la voûte acromiale,
- une bourse synoviale entre le processus coracoïde et la capsule articulaire,
- la bourse du muscle coraco-brachial entre le tendon du muscle coracobrachial et le muscle subscapulaire,
- la bourse bicipito-radiale qui entoure le tendon du chef long du muscle biceps brachial dans le sillon intertuberculaire de l'humérus.et qui communique avec la synoviale de l'articulation.
Au-dessus de l'acromion se trouve la bourse subcutanée acromiale non connectée à l'articulation.
Muscles
L'articulation gléno-humérale est consolidée par un ensemble de dix muscles :
| Muscles | Origines | Terminaisons |
|---|---|---|
| Muscle grand pectoral | Clavicule, sternum, cartilage des six premières côtes et muscle oblique externe de l'abdomen. | Sillon intertuberculaire et le grand tubercule de l'humérus. |
| Muscle deltoïde | Tiers latéral de la clavicule. | Tubérosité deltoïdienne de l'humérus. |
| Chef long du muscle triceps brachial | Tubercule infraglénoïdal de la scapula. | Olécrâne |
| Muscle grand rond | Face postérieure de l'angle inférieur de la scapula. | Sillon intertuberculaire de l'humérus. |
| Muscle supra-épineux* | Fosse supra-épineuse de la scapula. | Partie supérieure du grand tubercule de l'humérus. |
| Muscle grand dorsal | Les processus épineux des vertèbres thoraciques 6 à 12 et des vertèbres lombaires, les 3 ou 4 dernières côtes et la crête iliaque. | Bord médial du sillon intertuberculaire de l'humérus. |
| Muscle grand pectoral | Face postérieure de la scapula. | Sillon intertuberculaire de l'humérus. |
| Muscle infra-épineux* | Fosse infra-épineuse de la scapula. | Grand tubercule de l'humérus. |
| Muscle petit rond* | Bord latéral de la face dorsale de la scapula. | Grand tubercule de l'humérus. |
| Muscle subscapulaire* | Fosse subscapulaire. | Petit tubercule de l'humérus. |
| Muscles contribuant à la coiffe des rotateurs | ||
Innervation
L'articulation gléno-humérale est innervée par des branches du plexus brachial : le nerf supra-scapulaire, le nerf axillaire et le nerf pectoral latéral.
Vascularisation
L'articulation gléno-humérale est vascularisée par les branches des artères circonflexes antérieure et postérieure de l'humérus, de l'artère supra-scapulaire et de l'artère circonflexe de la scapula.
Anatomie fonctionnelle
L'articulation gléno-humérale est l'articulation la plus mobile du corps. L'amplitude de ses mouvements est augmentée grâce à la mobilité de la scapula sur la cage thoracique.
Elle est mobile dans les trois axes :
.gif)

- Flexion / extension dans le plan sagittal et d'axe transversal, la flexion a une amplitude de 50° amplifiée à 160° avec la mobilisation de la scapula, l'extension a une amplitude de 25° ;
- Abduction / adduction dans le plan frontal et d'axe sagittal, l'abduction a une amplitude de 90° étendue à 160° avec la mobilisation de la scapula et à 180° avec l’inclinaison du rachis , l'adduction a une amplitude de 10° étendue à 30° avec une légère flexion/extension ;
- Rotation latérale / rotation médiale dans le plan horizontal et d'axe vertical, l'amplitude de la rotation latérale est de 35° et celle de la rotation médiale de 95°.
L'association de ces trois degrés de mobilité permet au membre supérieur de se déplacer dans un cône irrégulier dont le sommet est l'articulation gléno-humérale : le cône de circumduction.
Muscles moteurs
| Muscles | Actions (rôle principal en gras) |
|---|---|
| Muscle grand pectoral | Flexion / Rotation médiale |
| Muscle deltoïde | Flexion (fibres antérieures) / Extension (fibres postérieures) / Abduction (0° à 90°) / Rotation médiale (fibres antérieures) / Rotation latérale (fibres postérieures) |
| Muscle coraco-brachial | Flexion |
| Chef long du muscle triceps brachial | Extension |
| Muscle grand rond | Extension / Adduction / Rotation médiale |
| Muscle supra-épineux | Abduction (0° à 90°) |
| Muscle trapèze | Abduction (90° à 180°) |
| Muscle dentelé antérieur | Abduction (90° à 180°) |
| Muscle grand dorsal | Adduction / Extension / Rotation médiale |
| Muscle grand pectoral | Adduction |
| Muscle infra-épineux | Rotation latérale |
| Muscle petit rond | Rotation latérale |
| Muscle subscapulaire | Rotation médiale / Adduction |
Aspect clinique
Exploration de l'articulation gléno-humérale

L'arthrographie de l'articulation de l'épaule (avec ou sans tomodensitométrie ) est réalisée en injectant un produit de contraste sous et latéralement à l'apophyse coracoïde pour délimiter l'articulation de l'épaule. La poche axillaire de l'épaule peut être vue en rotation externe, tandis que la bourse sous-scapulaire (sous-coracoïde) peut être vue en rotation interne du bras. Le produit de contraste ne doit pas pénétrer dans la bourse sous-acromiale à moins que le tendon du supra-épineux ne soit complètement rompu[1].
L'IRM avec bobines de surface est également être utilisée[1].
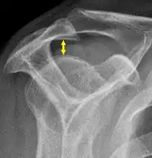
L'espace gléno-huméral normal est de 4 à 5 mm[3].
L'espace sous-acromial normal sur les radiographies de l'épaule est de 9 à 10 millimètres ; cet espace est significativement plus important chez les hommes, avec une légère diminution avec l'âge[4]. A l'âge moyen, un espace sous-acromial inférieur à 6 mm est pathologique et peut indiquer une rupture du tendon du muscle supra-épineux[4].
Luxation de l'articulation gléno-humérale
Les surfaces articulaires de l'articulation étant peu congruente, un traumatisme peut entraîner une luxation de celle-ci accompagnée parfois à une fracture de l'humérus et/ou de la cavité glénoïdale.
Phénomènes inflammatoires
Une inflammation des éléments associés à cette articulation peuvent entraîner des douleurs et des restrictions de mouvements de l'épaule.
La capsule peut devenir enflammée et raide, avec des adhérences entraînant une capsulite rétractile de l'épaule (ou épaule gelée).
Les bourses synoviales entourant l'articulation sont également sujettes à des inflammations. En particulier la bourse subacromio-deltoïdienne entraînant une bursite sous-deltoïdienne.
La coiffe des rotateurs peut être la source d'une tendinopathie.
Déchirure du labrum glénoïdal
Le labrum glénoïdal de la scapula peut se déchirer entraînant une lésion SLAP. La déchirure peut être occasionnée au cours d'activités sportives tel que le tennis ou d'autres sports de lancer. Ce type de blessure nécessite souvent une réparation chirurgicale[5].
Galerie
Schéma de l'articulation de l'épaule humaine, vue de face
Schéma de l'articulation de l'épaule humaine, vue arrière
L'articulation gléno-humérale et l'articulation acromio-claviculaire.
Image de dissection du ligament coraco-huméral de l'articulation gléno-humérale en vert
Image de dissection du cartilage de l'articulation gléno-humérale en vert
Notes et références
- Stephanie Ryan, Anatomy for diagnostic imaging, Third, (ISBN 9780702029714), « Chapter 7 », p. 258, 260
- Moore Clinically Oriented Anatomy, Lippincott Williams and Wilkins,
- « Glenohumeral joint space », radref.org, in turn citing: « Joint space in normal gleno-humeral radiographs », Acta Orthopaedica Scandinavica, vol. 54, no 2, , p. 274–276 (PMID 6846006, DOI 10.3109/17453678308996569)
- « The subacromial space in normal shoulder radiographs », Acta Orthopaedica Scandinavica, vol. 55, no 1, , p. 57–58 (PMID 6702430, DOI 10.3109/17453678408992312)
- « Shoulder Pain: Raising the level of diagnostic certainty about SLAP lesions », Clinical Updates for Medical Professionals, Mayo Clinic, (consulté le )
Liens externes
- Ressources relatives à la santé :
- Ressources relatives à la santé (pour bourse subacromiale) :
- « Articulation gléno-humérale », sur le dictionnaire de l’Académie nationale de médecine
- j2xba_k3A L'articulation gléno-humérale [vidéo] (Anatomie 3D Lyon - Université Claude-Bernard Lyon 1)
- Portail de l’anatomie
- Portail de la médecine