Artère subclavière
Les artères subclavières (appelées sous-clavières dans l'ancienne nomenclature française) sont des artères systémiques amenant du sang oxygéné vers les membres supérieurs.
On compte une artère subclavière droite et une subclavière gauche.
L’artère subclavière gauche
L’artère subclavière gauche est issue de l'aorte juste à la fin de la crosse de celle-ci. Cette artère se dirige vers le haut, le dehors ; puis elle forme un arc redescendant vers le bas et le dehors après être sortie de la cage thoracique. Elle donne naissance à l'artère axillaire gauche. Ses collatérales sont l'artère vertébrale, l'artère thoracique interne ou artère mammaire, l'artère thyroïdienne inférieure, l'artère cervicale ascendante, l'artère cervicale antérieure (ces trois dernières forment généralement un tronc commun), plusieurs artères intercostales.
L’artère subclavière droite
_(14764575614).jpg.webp)
L’artère subclavière droite est issue d'un tronc artériel brachiocéphalique commun avec l'artère carotide commune droite partant du segment ascendant de l'aorte. Ce tronc est oblique en haut et en dehors, passe au-dessus de la première côte pour donner naissance à l'artère subclavière droite proprement dite. Les collatérales sont les mêmes qu'à gauche.
Pathologie
Syndrome de Poland
Le syndrome de Poland, maladie congénitale rare, aurait pour origine un défaut d'irrigation de l'artère subclavière lors du développement embryonnaire[1].
Artère sous-clavière aberrante
L'artère sous-clavière aberrante, ou artera lusoria, est une rare variante anatomique de l'origine de l'artère sous-clavière droite. Cette anomalie vasculaire congénitale est l'anomalie la plus courante de l'arc aortique[2], survenant chez environ 1 % des individus[2]. Au lieu de naître de la division du tronc artériel brachio-céphalique, l'artère sous-clavière droite naît alors directement de la crosse aortique. Elle possède un trajet rétro-œsophagien pouvant être source de dysphagie.
La chirurgie est parfois utilisée pour traiter la condition[3].
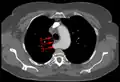
Artère sous-clavière aberrante au scanner axial. (1) trachée, (2) œsophage, (3) Artère sous-clavière aberrante.
Artère sous-clavière droite aberrante à l'angiographie.
Impression en forme de bande de l'œsophage causée par une artère sous-clavière aberrante. Au-dessous de (flèches) rétrécissement de l'œsophage par une tumeur qui provoque des problèmes de déglutition.
Artère sous-clavière aberrante observée lors d'une étude de déglutition: Impression de l'œsophage par derrière.
Notes et références
- Cet article est partiellement ou en totalité issu de l'article intitulé « Artère sous-clavière aberrante » (voir la liste des auteurs).
- « Orphanet : Syndrome de Poland », sur orpha.net (consulté le ).
- Rahim Mahmodlou, Nariman Sepehrvand et Sanaz Hatami, « Aberrant Right Subclavian Artery: A Life-threatening Anomaly that should be considered during Esophagectomy », Journal of Surgical Technique and Case Report, vol. 6, no 2, , p. 61–63 (PMID 25598945, PMCID 4290042, DOI 10.4103/2006-8808.147262)
- Kouchoukos NT, Masetti P, « Aberrant subclavian artery and Kommerell aneurysm: surgical treatment with a standard approach », The Journal of Thoracic and Cardiovascular Surgery, vol. 133, no 4, , p. 888–92 (PMID 17382621, DOI 10.1016/j.jtcvs.2006.12.005)
- Portail de la médecine
- Portail de l’anatomie