Appendice épiploïque
Un appendice épiploïque ou appendice omental est un petit appendice situé le long du côlon, généralement fixé aux bandelettes du côlon[1]. Présents dans l'abdomen à hauteur d'une centaine, ils sont recouverts de péritoine viscéral, sont remplis de graisse et contiennent des vaisseaux issus de la vascularisation colique. Ils sont physiologiques mais on ne connaît pas leur rôle. Le nombre peut être élevé (jusque 100). On ne trouve pas d’appendice épiploïque proche du rectum. Un appendice épiploïque sain n’est pas visible spontanément. Ils mesurent entre un demi et cinq centimètres. Leur forme est pédiculée entre la séreuse colique du cæcum jusqu'à la jonction recto-sigmoïdienne, ce qui les expose à des torsions ou des thromboses[2].

Une appendagite[3], ou torsion de frange épiploïque, est une inflammation isolée d’un appendice épiploïque. Cela résulte de 3 mécanismes principaux : torsion du pédicule vasculaire, thrombose de la veine de drainage, et inflammation secondaire. Un exemple classique est l’appendagite secondaire à une diverticulite aiguë du colon gauche.
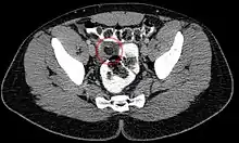
Diagnostic radiologique:
Le diagnostic est permis par la réalisation d'une tomodensitométrie. On retrouve au scanner une infiltration de la graisse épiploïque, de forme ovalaire formant une image dit en "navet" ou "signe de Hefny".
Complications
Les complications sont rares. Il s'agit d'une appendicite (la forme la plus commune étant l'appendicite épiploïque primitive[4] ou par calque de l'anglais, « appendagite épiploïque ») aussi décrite comme un infarctus épiploïque[5], quelquefois confondue avec l'infarctus segmentaire du grand épiploon[5] dont elle se distingue pourtant[4]. Causée par une torsion ou une ischémie, elle se manifeste par une douleur aigüe très localisée, le plus souvent sans autres signes, des nausées état toutefois rapportées dans 20 à 30 % des cas. Visible à l'échographie, son traitement recommandé est symptomatique, par antalgiques, avec une régression spontanée en moins d'une semaine, quelques cas persistants pouvant nécessiter une intervention chirurgicale[4].
Diagnostic différentiel
Références
- Ces appendices sont décrits comme synonyme des bandelettes du côlon dans le système de langage médical unifié (UMLS (en)) par l'ontologie Foundational Model of AnatomyCISMeF, « CISMeF - Appendices omentaux- Entité FMA », sur www.chu-rouen.fr (consulté le ), tandis que pour la nomenclature SNOMED CT (en), il s'agit d'une notion différenteCISMeF, « Appendices épiploïques- Notion SNOMED », sur www.chu-rouen.fr (consulté le )
- Siham Alaoui Rachidi, « Une cause rare et méconnue de douleur abdominale: l’appendagite épiploïque: à propos d’un cas », The Pan African Medical Journal, vol. 31, (ISSN 1937-8688, PMID 31011388, PMCID 6462156, DOI 10.11604/pamj.2018.31.87.14604, lire en ligne, consulté le )
- Elizabeth A. Chu et Evan Kaminer, « Epiploic appendagitis: A rare cause of acute abdomen », Radiology Case Reports, vol. 13, no 3, , p. 599–601 (ISSN 1930-0433, PMID 30073043, PMCID 6069682, DOI 10.1016/j.radcr.2018.02.022, lire en ligne, consulté le )
- A. Alves, M. Boudiaf et Y. Panis, « Les causes rares », sur edimark.fr, La lettre de l’hépato-gastroentérologue,
- C. Barbier, P. Denis, P.Régent et al., « Aspects radiologiques des infarctus d'appendicites épiploïques », Journal de radiologie, (lire en ligne)
- Portail de la médecine