Angiome splénique à cellules littorales

Un angiome splénique à cellules littorales est une lésion vasculaire rare et généralement bénigne[n 1] qui se développe exclusivement à partir des cellules littorales des sinus de la pulpe rouge de la rate[1]. Décrit pour la première fois en 1991 par Falk et al.[2],[3], il survient indépendamment de l'âge ou du sexe du patient[4].

De diagnostic anatomopathologique, il se manifeste généralement par une splénomégalie isolée et d’étiologie inconnue. Bien qu'en général asymptomatique, des manifestations d’hypersplénisme sont rapportées[1],[4].

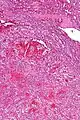
Les lésions vasculaires, réalisent des lacunes caverneuses anastomotiques au sein de la pulpe rouge. Ces lacunes sont bordées par des cellules endothéliformes ou des cellules plus volumineuses[4]. Les cellules néoplasiques expriment à la fois les propriétés épithéliales et histiocytaires basées sue celles de leur cellule d'origine, les cellules du littoral splénique[2].

À l’immunohistochimie, ces cellules sont positives aux marqueurs vasculaires et macrophagiques. Ces cellules sont reconnues par l’anticorps anti-CD31 et par l’anticorps anti-CD68[4].

Diagnostic

L'image tomodensitométrique présente souvent de multiples nodules de taille variable, « hypodenses spontanément et au temps portal avec homogénéisation à la phase tardive » ou, plus rarement, une lésion unique[1]. À l'IRM, les nodules sont atténués en pondérations T1 et T2, signe de la présence d’hémosidérine.

On peur prélever un échantillon de la tumeur via une aspiration à l'aiguille fine. Histologiquement, on observe de petits canaux vasculaires produisant des anastomoses et des espaces kystiques avec des projections papillaires[5].

Notes et références

Notes

  1. Les formes malignes, dites angiosarcomes à cellules littorales, sont très rares.

Références

  1. Rémi Dupres, Camille Lemarie-Delaunay, Enfant de 3ans sans antécédent présentant une anémie hémolytique avec thrombopénie de consommation, CIVD… et splénomégalie.
  2. S. Falk et al. Littoral cell angioma. A novel splenic vascular lesion demonstrating histiocytic differentiation, 1991.
  3. Jun Du et al., Littoral cell angioma of the spleen: report of three cases and literature review, 2015.
  4. A. Achour et al., Angiome splénique à cellules littorales, 2006.
  5. CM. Dascalescu, D. Wendum et NC. Gorin, « Littoral-cell angioma as a cause of splenomegaly. », N Engl J Med, vol. 345, no 10, , p. 772–3 (PMID 11547761, DOI 10.1056/NEJM200109063451016)

Lien externe


  • icône décorative Portail de la médecine
Cet article est issu de Wikipedia. Le texte est sous licence Creative Commons – Attribution – Partage à l’identique. Des conditions supplémentaires peuvent s’appliquer aux fichiers multimédias.