Angiolipome
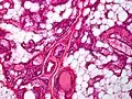
L’angiolipome est une tumeur bénigne des tissus mous associant du tissu adipeux et des vaisseaux capillaires.
Anatomie pathologique
    
    Histopathologie
    
Diagnostic différentiel
    
    
Notes et références
    
- Portail de la médecine
    Cet article est issu de Wikipedia. Le texte est sous licence Creative Commons – Attribution – Partage à l’identique. Des conditions supplémentaires peuvent s’appliquer aux fichiers multimédias.
.jpg.webp)
.jpg.webp)


