Angiographie
L’angiographie est une technique d'imagerie médicale portant sur les vaisseaux sanguins qui ne sont pas visibles sur des radiographies standards. Elle impose l'injection d'un produit de contraste lors d'une imagerie par rayons X. L'angiographie est un examen invasif.

Sa signification est « imagerie des vaisseaux ». On parle d’artériographie pour l'exploration des artères, de phlébographie pour celle des veines et de coronarographie pour celle des coronaires.
Usages
L'angiographie est un examen invasif, comportant des risques et il n'est réalisé qu'en dernier recours, lorsqu'un traitement médical n'est plus suffisant.
L'angiographie permet de réaliser des examens à visée soit diagnostique, soit interventionnelle[1].
- Les examens à visée diagnostique ont pour objectif d'identifier des pathologies vasculaires afin d'aider à un traitement ultérieur qu'il soit endo-vasculaire, chirurgical ou médicamenteux. C'est aussi une source d'informations utilisée avant une intervention chirurgicale afin de repérer précisément le trajet des vaisseaux. Au niveau artériel, elle recherche des anomalies telles que des rétrécissements (sténoses) ou d'autres obstacles à l'écoulement du sang. On peut explorer les artères rénales, pulmonaires, cérébrales, de la rétine, des membres… Au niveau veineux, elle fait partie du bilan de thrombose veineuse profonde (phlébite) et en détermine les conséquences.
- Les examens à visée interventionnelle ont pour objectif de minimiser voire de supprimer la pathologie identifiée, grâce à l'introduction d'instruments spécifiques par le point de ponction. Par exemple, une dilatation du vaisseau peut être pratiquée dans la partie rétrécie : on parle alors d'angioplastie. Le point de ponction lors d'une artériographie est, soit fémorale (artère fémorale, partie haute de la cuisse), soit radiale (artère radiale, bras). Le point de ponction lors d'une phlébographie est, par exemple, l'hallux pour les membres inférieurs.
Pathologies identifiables lors d'une angiographie
- sténose : rétrécissement voire oblitération d'une artère.
- shunt artério-veineux : malformation congénitale consistant en un court-circuit local des flux veineux et artériels.
- malformation artério-veineuse : réseau artériel constitué par une tumeur, malformation congénitale consistant en un réseau diffus d'artérioles.
- anévrisme : hernie artérielle pouvant conduire à un éclatement, et à une hémorragie locale, par exemple intra-crânienne ou aortique.
- embolie : présence intraluminale d'un corps faisant obstacle à la circulation sanguine, par exemple les embolies pulmonaires étaient autrefois diagnostiquées à l'aide d'une angiographie pulmonaire (méthode tombée en désuétude depuis l'avènement de l'angioscanner thoracique).
Interventions réalisables lors d'une angiographie
- dilatation d'une sténose : un ballon gonflable du diamètre exact du vaisseau est placé au niveau du rétrécissement puis gonflé; il est possible d'insérer autour de ce ballon un stent, sorte d'anneau cylindrique au maillage hélicoïdal qui restera en place après gonflage du ballon et maintiendra ouverte la lumière du vaisseau.
- comblement d'anévrisme : plusieurs coils, morceaux de métal de forme hélicoïdale et ultra-souples, sont amenés jusqu’à l'intérieur de la lésion et laissés en place. Leur intrication forme alors une barrière réduisant la pression sanguine à l'intérieur de l'anévrisme, et réduisant de fait les risques de dilatation ultérieure de l'anévrisme et donc de son saignement.
- embolisation de malformation artério-veineuse : (MAV) (de la colle à prise rapide va être amenée sur le lieu de la MAV, afin de combler les artérioles et de supprimer toute circulation ; lorsque ces artérioles alimentent une tumeur, l'objectif est de tuer la tumeur en l'asphyxiant / nécrose des tissus ; lorsque ces artérioles alimentent une MAV qui saigne, l'objectif est de stopper le saignement.
- d'autres interventions ont pour visée de corriger des malformations congénitales comme la veine de Galien (pédiatrie) ou de restituer une circulation au travers d'un foie cirrhotique (PTCA).
- chimio-embolisation : traitement palliatif des cancers du foie.
Risques
Toute intervention invasive comporte un risque. Les complications sont rares, surtout avec les moyens mis à disposition et avec l’expérience acquise avec le temps sur ce type d’examen. Du fait du lieu de l’angiographie cérébrale, les complications sont tout de suite beaucoup plus graves.
Elles peuvent être liées à l’angiographie par elle-même, en produisant un hématome au niveau du lieu de ponction sur l’artère ou en produisant une infection. Il y a des risques liés à la production des images radiographiques par l’exposition aux rayons X, due à une accumulation de radiographie. L’autre risque est d’avoir une réaction allergique au produit de contraste (allergie à l’iode).
- Infection due à l’introduction du cathéter.
- Réactions allergiques dues au produit de contraste (choc anaphylactique)
- D'hémorragie au site de ponction, pendant environ 24 heures.
Effets secondaires
- Nausées
- Vertiges lors de l’examen.
- Vomissements qui peuvent survenir juste après l’injection du liquide de contraste
- Démangeaison
- Bronchospasme (diminution de calibre des bronches, entraînant une difficulté à respirer)
Contre-indications
- Grossesse
- Prise d’anticoagulant (à réduire ou si possible supprimer)
- Allergie aux produits contenant de l’iode, mais également toute allergie (eczéma, asthme, etc.), nécessitant parfois un traitement antiallergique qui devra être suivi pendant les jours précédant l’examen
- Tension artérielle relativement basse
- Insuffisance rénale aiguë
L'examen
Généralités
Le principe est de rendre visibles (ou opaques) les vaisseaux artériels ou veineux aux rayons X, grâce à un produit de contraste ; de l'iode qui est radio-opaque et éliminé par les reins ou du dioxyde de carbone (CO2), absorbé par les tissus.
Un cathéter est introduit dans le vaisseau pour injecter le produit de contraste dans la « lumière » du vaisseau sanguin. Le produit se mélange au sang ; le système vasculaire devient alors visible sur les clichés radiologiques.
L'artériographie peut concerner n'importe quelle artère du corps ou le corps entier. Durant l'injection du produit iodé, des rayons X sont produits sous la table d'examen. Ils traversent le corps du patient et ceux qui ne sont pas arrêtés par le produit de contraste sont enregistrés par la caméra placée au-dessus du corps.
Un écran de contrôle permet la visualisation des artères. Un bras mobile peut être déplacé autour du corps pour obtenir des vues différentes de la même artère. Les images numériques sont mémorisées. En cas d'exploration cardiaque, on parlera de coronarographie ; lorsqu'il s'agit d'une exploration carotidienne et céphalée, on parlera de neuro-angiographie.
L'examen n'est pas douloureux, mais est invasif. Le moment le plus désagréable est la mise en place du cathéter. Une anesthésie locale par injection réduit cette sensation. L’introduction du liquide de contraste à travers le cathéter crée une légère sensation de chaleur, réaction normale et passagère.
Déroulement
Le radiologue, assisté d'un manipulateur radio, est généralement chargé de l'examen.
Une prise de sang peut être préalablement indiquée pour vérifier le taux de coagulation sanguine. Cet examen s’effectue à jeun (6 heures) (tabac, nourriture, boisson).
De son lit, le patient est amené sur la table d'examen. Des électrodes sont placées sur le thorax pour enregistrer l'activité du cœur durant toute la partie de l'examen. Le site de ponction de l'artère (normalement l'artère fémorale) va être désinfecté. On procède à une anesthésie locale de la peau et des tissus avoisinant l'artère. L'artère est directement ponctionnée après l'anesthésie et un cathéter est introduit dans l'artère. Ce cathéter va ensuite être positionné sur les zones d'intérêt ou introduit directement dans l'artère malade. Un produit de contraste iodé sera injecté par une pompe au travers du cathéter, directement dans l'artère choisie par le médecin. Ce produit va provoquer une sensation de chaleur de courte durée. Il sera demandé régulièrement d'arrêter de respirer quelques secondes afin d'obtenir des images immobiles et nettes.
Juste après l’examen, le radiologue pourra faire ses premiers commentaires. Néanmoins, le diagnostic final sera donné après une analyse postérieure du médecin qui fournira au patient un compte rendu d’analyse.
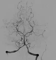
Angiographie cérébrale
Elle est l’application de la méthode de l’angiographie au niveau cérébral. Elle est utilisée en diagnostique et en interventionnelle. Les principales pathologies sont des dilatations des vaisseaux (anévrismes), le rétrécissement de vaisseaux (sténose) ou le blocage.
Elle est utilisée pour diagnostiquer des anomalies sur les vaisseaux sanguins du cerveau ou menant au cerveau (carotides). Ces différentes pathologies vasculaires peuvent être : un blocage (thrombose) ou un rétrécissement (sténose) d’un vaisseau, un anévrisme, une malformation artério-veineuse. On peut réaliser cet examen en préopératoire afin d’observer le système d’irrigation du cerveau. L’angiographie cérébrale permet également de diagnostiquer des pathologies non directement liées au système vasculaire mais ayant une influence sur celui-ci. Elle permet de visualiser des tumeurs, des œdèmes, des hernies, des vasospasmes, l’augmentation de la pression intracrânienne et l’hydrocéphalie.
L’apparition de nouvelles techniques d’imagerie non invasives a réduit l’importance de l’utilisation de l’angiographie cérébrale. On peut citer l’angioscanner, l’échographie doppler, l’angio-imagerie par résonance magnétique. Mais l’angiographie peut être recommandée après un examen précédent, afin d’apporter des informations complémentaires qui ne sont pas visibles par les nouvelles technologies. L’angiographie cérébrale reste l’examen le plus précis dans l’étude de la morphologie des vaisseaux sanguins, ainsi que pour fournir des données dynamiques sur la circulation.
Les risques propres à l’angiographie cérébrale sont neurologiques. Lors du passage du cathéter dans les artères cérébrales, il peut provoquer la migration d’une plaque d’artériosclérose et provoquer le blocage d’un vaisseau. Il peut se former un caillot au contact de la sonde pouvant migrer en provoquer une embolie.
Illustrations
Notes et références
- J. Ecoiffier et al., Précis de techniques spécialisées en radiodiagnostic : appareillage radiologique, angiographie, scanographie, Paris, Masson, , 784 p. (ISBN 978-2-225-63899-2)


