Pneumopathie d'hypersensibilité
Les pneumopathies d’hypersensibilité ou PHS (également appelées alvéolites allergiques extrinsèques, AAE) sont des maladies pulmonaires dues à une inflammation des alvéoles du poumon provoquées par une hypersensibilité à l’inhalation de poussières organiques. Les patients sont généralement exposés à ces poussières au cours de leur activité professionnelle ou de leurs activités de loisir.
Il s'agit d’une hypersensibilité de type III et d’une hypersensibilité de type IV[1].
Causes
    
Les pneumopathies d’hypersensibilité (PHS) peuvent aussi être désignées sous de nombreux noms différents, en fonction de l’antigène responsable. Citons notamment :
- la maladie des éleveurs d'oiseaux, provoquée par une exposition aux plumes et aux déjections d'oiseaux d’élevage comme les pigeons, poules, dindons, oies) et également d'oiseaux sauvages et rapaces (hiboux). Les antigènes responsables seraient des protéines aviaires, encore indéterminées ;
- la maladie du poumon de fermier, provoquée par des moisissures (Lichtemia corymbifera, Eurotium amstelodami, Wallemia sebi) ou des actinomycètes thermophiles (Saccharopolyspora rectivirgula = Micropolyspora faeni). L'exposition provient généralement de foin moisi mais peut également provenir d’ailleurs ;
- la bagassose, provoquée par des actinomycètes thermophiles. L'exposition provient de la bagasse moisie (canne à sucre pressée) ;
- le poumon des ouvriers du malt, provoqué par Aspergillus clavatus et A. fumigatus. L'exposition provient de l'orge moisie ;
- la maladie des climatiseurs ou des humidificateurs, provoquée par les bactéries T. candidus, Bacillus subtilis, B. cereus, et Klebsiella oxytoca; le champignon Aureobasidium pullulans ; et les amibes Naegleria gruberi, Acanthamoeba polyhaga, et Acanthamoeba Castellani. L'exposition provient de brouillard d'eau stagnante ;
- la maladie des champignonnistes, provoquée par des actinomycètes thermophiles. L'exposition provient de compost de champignons ;
- La lycoperdose, provoquée par les champignons eux-mêmes, lycoperdons, spores de pholiotes, de pleurotes, de shiitake. L'exposition survient au cours de la manipulation des champignons ;
- le poumon de compost, provoqué par l’Aspergillus. L'exposition provient du compost, notamment dans l’horticulture et le maraîchage ;
- l'alvéolite des ouvriers de la tourbe provoquée par Monocillium sp. et citreonigrum Penicillium. Si l'exposition provient de moisissures de tourbe ;
- la subérose, provoquée par Penicillum frequentans. L'exposition provient de la poussière de liège moisie, notamment dans la fabrication de bouchons ;
- la fièvre d'été du Japon, provoquée par Trichosporon Cutaneum . L'exposition provient de bois humides et de tatamis ;
- la maladie des fromagers ou des laveurs de fromage, provoquée par Penicillum casei ou P. roqueforti. L'exposition provient des moisissures de fromages ;
- le poumon des minotiers, provoqué par les charançons qui peuvent contaminer le blé. L’antigène présumé responsable est le sitophilus granarius. L’exposition survient chez les grainetiers et les minotiers ;
- la maladie des écorceurs d’érable, provoquée par cryptostroma corticale, une moisissure située sous l’écorce d'érable ;
- la maladie des écorceurs de sequoia, provoquée par aureobasidium et graphium, des moisissures situées dans les poussières de bois de sequoia ;
- la maladie des scieurs de bois, provoquée par les moisissures des vieilles planches ou de la sciure pénicillium, micromycètes, etc. ;
- le poumon des mécaniciens, provoqué par des mycobactéries non–tuberculeuses (ou des pseudomonas ?). L'exposition provient de brouillards d’huile (fluides d’usinage) ;
- le poumon des bains japonais ou jacuzzis d’intérieur, provoqué par Mycobacterium avium. L'exposition provient de vapeurs d’eau de jacuzzis dans des salles de bain mal ventilées ;
- l'alvéolite des coquillages de mollusques, provoquée par des protéines d’animaux aquatiques. L'exposition provient de poussière de coquilles de mollusques ;
- l'alvéolite aux isocyanates, provoquée par les isocyanates, TDI, HDI, et MDI. L'exposition provient des peintures, des résines contenant des isocyanates et de la fabrication des mousses de polyuréthane ;
- l'alvéolite à l'EMA (méthacrylate d'éthyle) chez les manucures[2] : Exposition lors de la fabrication et de la pose de faux ongles ;
- l'alvéolite à l'anhydride trimellitique : l'exposition provient de l’industrie des matières plastiques, des résines et des peintures ;
- le poumon des vignerons, provoqué par la moisissure botrytis cinerea provenant du raisin ;
- l'alvéolite des trieurs de plumes, provoquée par les plumes de canard ;
- le poumon des fourreurs, provoqué par les poils de fourrure animale ;
- le poumon des sériciculteurs, rencontré dans la sériciculture (antigène inconnu) ;
- le poumon des cribleurs de pomme de terre, provoqué par des moisissures des actinomycètes thermophiles, des espèces Aspergillus, présentes sur les pommes de terre ;
- le poumon des ouvriers du paprika, provoqué par mucor solonifa présente dans les poussières de paprika ;
- la maladie des torréfacteurs de café, provoquée par les poussières de café vert (antigène inconnu) ;
- le poumon des planteurs de thé, provoqué par les poussières de thé (antigène inconnu) ;
- la maladie des ouvriers du tabac, provoquée par Aspergillus fumigatus. Se rencontre dans les manufactures de tabac ;
- le poumon des ouvriers de papeterie, provoqué par altenaria sp. contenues dans la pâte à papier ;
- la maladie des brosseurs de saucissons, provoquée par le penicillium. Se rencontre dans les fabriques de saucissons secs ou de salami ;
- l'alvéolite due à des moisissures domestiques : habitat malsain ;
- l'alvéolite des pêcheurs de perles, provoquées par les poussières d’huîtres perlières ;
- la stipatose, provoquée par stipa tenacissima ou actinomycètes thermophiles contenus dans la sparte (herbe de la famille des graminées) entrant dans la composition de fibres, ficelles, cordes, paniers, plâtre ; décrite en Espagne surtout chez les plâtriers ;
- l'alvéolite au pyrethrum, insecticide à usage professionnel ;
- la maladie des détergents, provoquée par le bacillus subtilis contenu dans les enzymes des lessives et des détergents ;
- l'alvéolite au soja, provoquée par les antigènes contenus dans l’écorce de soja (aliments pour animaux contenant du soja) ;
- l'alvéolite des marchands de légumes, provoquées par les moisissures contenues dans les chambres froides.
Parmi toutes ces maladies, la maladie du poumon de fermier et la maladie des éleveurs d'oiseaux sont les plus fréquentes. « Les études documentent 8-540 cas pour 100 000 personnes et par an pour les agriculteurs et 6 000 à 21 000 cas pour 100 000 personnes et par an pour les éleveurs de pigeons. Des taux d’incidence élevés sont documentés dans des foyers sporadiques. La prévalence varie selon la région, le climat, et les pratiques agricoles. La HPS touche 0,4 à 7 % de la population agricole. La prévalence parmi les amateurs d'oiseaux est estimée à 20-20 000 cas pour 100 000 personnes à risque[3]. »
Symptômes
    
Les pneumopathies par hypersensibilité (PHS) sont classées en formes aiguës, subaiguës et chroniques en fonction de la durée de la maladie.
Présentation de pneumopathie par hypersensibilité (PHS) aiguë
    
Dans les formes aiguës de PHS, les symptômes peuvent apparaître 4 à 6 heures suivant une forte exposition à l'antigène responsable. Les symptômes sont la fièvre, les frissons, une sensation de malaise, la toux, une sensation de constriction thoracique, la dyspnée et les céphalées. Des symptômes disparaissent au bout de 12 heures à plusieurs jours, après cessation de l'exposition[3].
La PHS aiguë se caractérise par la formation de granulomes non-caséeux et une infiltration interstitielle de cellules mononucléaires à distribution péribronchique avec une prédominance de cellules géantes[3].
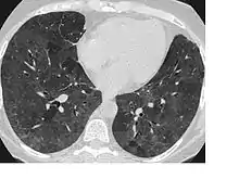
La radiographie pulmonaire, peut montrer une pneumopathie interstitielle diffuse d’aspect micronodulaire (parfois avec des opacités dépolies dans la partie inférieure et moyenne du poumon). Les résultats sont normaux chez environ 10 % des patients. Au scanner, on retrouve des opacités localisées ou diffuse. Les épreuves fonctionnelles respiratoires montre une réduction de la diffusion du monoxyde de carbone (DLCO). Beaucoup de patients ont une hypoxémie de repos, et tous les patients présentent une désaturation à l’exercice physique[3].
Présentation de PHS subaiguë
    
Les patients présentant une PHS subaiguë développent progressivement une toux, une dyspnée, une fatigue, une anorexie, une perte de poids et une pleurésie. Les symptômes sont semblables à ceux de la forme aiguë de la maladie, mais moins sévères et durent plus longtemps. Les radiographies pulmonaires, montrent des opacités micronodulaire ou réticulo-nodulaires prédominant le plus souvent dans les zones moyennes et inférieures du poumon[3]. Ces symptômes peuvent être présents chez les patients qui ont présenté des manifestations aiguës répétées.
La forme subaiguë, ou intermittente, se manifeste plus souvent par des granulomes bien limités, non caséeux, une bronchiolite avec ou sans pneumonie systématisée, et fibrose interstitielle[3].
Présentation chronique
    
Chez ces patients atteints de PHS chronique on trouve rarement des antécédents d'épisodes aigus. La maladie a un début insidieux avec de la toux, une dyspnée progressive, de la fatigue et une perte de poids, avec une réversibilité progressive mais complète. Il est recommandé d’éviter toute exposition ultérieure. L’hippocratisme digital est observé chez 50 % des patients. Une tachypnée, une détresse respiratoire, et plus des sifflements inspiratoires dans la partie inférieure du poumon sont souvent présents[3].
Sur les radiographies pulmonaires, on note l’apparition dune fibrose progressive avec une perte de capacité pulmonaire affectant en particulier les lobes supérieurs. Les opacités nodulaires ou en nappe ne sont pas présentes. Des aspects caractéristiques de l'emphysème sont trouvés sur de nombreuses radiographies et de nombreux scanners[3].
Les formes chroniques présentent des signes supplémentaires d'inflammation chronique interstitielle et de destruction alvéolaire (images en rayons de miel) associés une fibrose dense. Des dépôts linéaires de cholestérol ou des corps radiés sont présents à l'intérieur ou en dehors des granulomes[3].
En outre, de nombreux patients ont une hypoxémie de repos, et tous une désaturation à l’effort.
Diagnostic
    

Le diagnostic est basé sur la reconstitution de l’historique des symptômes après l'exposition à un allergène et l’examen clinique. Le médecin peut prescrire des tests sanguins, à la recherche de signes d’inflammation, une radiographie pulmonaire et des épreuves fonctionnelles respiratoires. Le malade présente un syndrome restrictif.
Le meilleur traitement consiste à éviter l'allergène responsable, car l'exposition chronique peut provoquer des lésions définitives. Les corticoïdes comme la prednisolone peuvent aider à contrôler les symptômes, mais peuvent produire des effets secondaires.
Législation
    
En France la plupart de ces maladies peuvent être prises en charge au titre de la maladie professionnelle. Voir Tableau no 66 bis.
Notes et références
    
- (en) Cet article est partiellement ou en totalité issu de l’article de Wikipédia en anglais intitulé « Hypersensitivity pneumonitis » (voir la liste des auteurs).
- (en) Mohr LC, « Hypersensitivity pneumonitis », Curr Opin Pulm Med, vol. 10, no 5, , p. 401–11 (PMID 15316440, DOI 10.1097/01.mcp.0000135675.95674.29, lire en ligne)
- Journal international de médecine (27 mai 2011)
- (en) Sharma, Sat. Hypersensitivity Pneumonitis. eMedicine, June 1, 2006.
Voir aussi
    
    Bibliographie
    
- (en) Oxford Handbook of Clinical Medicine
- (en) AS Fauci (dir.), E. Braunwald (dir.), DL Kasper (dir.), SL Hauser (dir.), DL Longo (dir.), JL Jameson (dir.), J Loscalzo (dir.), N Kline Joel et cGary W, Hunninghake, Hypersensitivity Pneumonitis and Pulmonary Infiltrates with Eosinophilia, Harrison's Principles of Internal Medicine17th Edition Chapitre 249
Liens externes
    
- Portail de la médecine
