Œdème pulmonaire de haute altitude
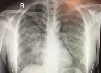
L'œdème pulmonaire de haute altitude (OPHA) est une forme mortelle d'œdème pulmonaire (accumulation de liquide dans les poumons) non cardiogénique qui se produit chez les personnes en bonne santé à des altitudes généralement supérieures à 2 500 mètres[1]. Cependant, des cas ont également été signalés entre 1 500 et 2 500 mètres chez des sujets plus vulnérables.

De façon classique, l'œdème pulmonaire de haute altitude se produit chez des personnes vivant normalement à basse altitude et qui se déplacent à une altitude supérieure à 2 500 mètres[2]. L'œdème pulmonaire de haute altitude de rentrée est une forme qui a été également décrite chez des personnes qui vivent normalement à haute altitude mais qui développent un œdème pulmonaire après leur retour d'un séjour à basse altitude[2].
De nombreux facteurs peuvent rendre une personne plus susceptible de développer un OPHA, y compris des facteurs génétiques, mais une compréhension détaillée fait défaut et fait actuellement l'objet d'investigations. L'OPHA reste la principale cause de décès liée à une exposition en haute altitude, avec un taux de mortalité élevé en l'absence de traitement d'urgence adéquat[2].
Signes et symptômes
    
| Haute altitude | 1 500 à 3 500 m | 
| Très haute altitude | 3 500 à 5 500 m | 
| Altitude extrême | 5 500 à 8 550 m | 
Les changements physiologiques et symptomatiques varient souvent en fonction de l'altitude[4].
Le consensus de Lake Louise pour l'œdème pulmonaire en haute altitude a défini des critères largement utilisés pour définir les symptômes de l'OPHA[5]. Après un récent gain d'altitude, la présence de :
- au moins deux symptômes parmi : 
- essoufflement au repos,
- toux,
- faiblesse ou diminution de la performance physique,
- oppression thoracique ou congestion ;
 
- au moins deux signes parmi : 
- craquements ou respiration sifflante (pendant la respiration) dans au moins un champ pulmonaire,
- coloration bleue de la peau (cyanose centrale),
- tachypnée (respiration rapide),
- tachycardie (fréquence cardiaque rapide),
- expectoration d'une mousse de couleur saumonée.
 
Facteurs de risque
    

De nombreux facteurs peuvent contribuer au développement de l'OPHA, notamment le sexe (masculin), des facteurs génétiques, le développement antérieur de l'OPHA, le taux de remontée, l'exposition au froid, l'altitude maximale, l'intensité de l'effort physique et certaines affections médicales sous-jacentes (hypertension)[6],[2]. Les anomalies anatomiques prédisposantes comprennent l'absence congénitale d'artère pulmonaire et les shunts intracardiaques de gauche à droite (par exemple, anomalies du septum auriculaire et ventriculaire), qui augmentent tous deux le flux sanguin pulmonaire[6],[2]. Les individus sensibles à l'OPHA sont également quatre fois plus susceptibles de présenter un foramen ovale patent (PFO) que ceux qui étaient résistants à l'OPHA[6]. Il n'y a actuellement aucune indication ou recommandation pour les personnes atteintes de FOP de poursuivre leur fermeture avant une exposition extrême en altitude[6].
Des études menées au niveau de la mer ont montré que la réponse circulatoire à l'hypoxie au repos et pendant l'exercice était exagérée chez les personnes OPHA[6]. Chez ces personnes, la pression artérielle pulmonaire (PAP) et la résistance vasculaire pulmonaire (PVR) se sont avérées anormalement élevées[6]. Les enregistrements microneurographiques chez ces individus ont mis en évidence un lien direct entre la hausse du PAP et la suractivation du système nerveux sympathique, ce qui pourrait expliquer la réponse exagérée à l'hypoxie chez ces personnes[6].
Diagnostic différentiel
    
| Altitude | SpO2 | PaO2 (mm Hg) | 
|---|---|---|
| 1 500 à 3 500 m | environ 90 % | 55-75 | 
| 3 500 à 5 500 m | 75-85 % | 40-60 | 
| 5 500 à 7 550 m | 58-75 % | 28-40 | 
La Wilderness Medical Society (WMS) recommande aux grimpeurs au-delà de 3 000 m[6],[2] :
- de ne pas augmenter l'altitude de sommeil de plus de 500 m par jour ;
- d'inclure une journée de repos tous les 3-4 jours (c'est-à-dire pas d'ascension supplémentaire)[7].
Épidémiologie
    
Les taux d'OPHA diffèrent selon l'altitude. En général, il y a une incidence d'environ 0,2 à 6 % à 4 500 m et environ 2 à 15 % à 5 500 m[2]. Il a été rapporté qu'environ un skieur sur 10 000 voyageant à une altitude modérée dans le Colorado développait un OPHA ; une étude a rapporté 150 cas sur une période de 39 mois dans une station du Colorado située à 2 928 m[6]. Environ un alpiniste sur 50 ayant gravi le Denali (6 190 m) a développé un œdème pulmonaire, et 6 % des alpinistes gravissant rapidement dans les Alpes (4 559 m)[6]. Chez les alpinistes ayant déjà développé un OPHA, le taux de récidive a atteint 60 %, avec une ascension de 4 559 m sur une période de 36 heures, bien que ce risque ait été considérablement réduit avec des taux de remontée plus faibles[6].
Recherche
    
Pour aider à comprendre les facteurs qui rendent certaines personnes sensibles à l'OPHA, la base de données internationale HAPE (OPHA) a été créée en 2004. La base de données est administrée par APEX, une organisation caritative de recherche médicale de haute altitude[8].
Voir aussi
    
- Mal aigu des montagnes
- Dangers des loisirs de plein air (en)
- Œdème cérébral de haute altitude (en)
- Flatulences de haute altitude
Références
    
- James M. Roach et Robert B. Schoene, Medical Aspects of Harsh Environments, vol. 2, Washington, DC, Borden Institute, , 789–814 p. (OCLC 64437370), « High-Altitude Pulmonary Edema »
- Scott A. Gallagher et Peter Hackett, « High altitude pulmonary edema », UpToDate, (consulté le )
- « Non-Physician Altitude Tutorial » [archive du ], International Society for Mountain Medicine (consulté le )
- « Why do low oxygen levels cause altitude sickness? », Altitude.org
- « The Lake Louise Consensus on the Definition of Altitude Illness », High Altitude Medicine Guide, Thomas E. Dietz (consulté le )
- Paul S. Auerbach, Wilderness Medicine, Elsevier, , 20-25 p. (ISBN 978-0-323-35942-9)
- Andrew M. Luks, Scott E. McIntosh, Colin K. Grissom et Paul S. Auerbach, « Wilderness Medical Society Practice Guidelines for the Prevention and Treatment of Acute Altitude Illness: 2014 Update », Wilderness & Environmental Medicine, vol. 25, no 24, , S4–S14 (PMID 25498261, DOI 10.1016/j.wem.2014.06.017)
- « International HAPE Database », Apex (Altitude Physiology EXpeditions) (consulté le )
- Portail de la médecine
- Portail de la montagne
- Portail de l’alpinisme et de l’escalade


